АСТРОНОМИЧЕСКИЙ ЖУРНАЛ, 2019, том 96, № 9, с. 776-784
УДК 523.9-337
“ЛОЖНЫЕ” СИГМОИДЫ В СОЛНЕЧНОЙ КОРОНЕ
© 2019 г. Б. П. Филиппов*
Институт земного магнетизма, ионосферы и распространения радиоволн им. Н.В. Пушкова РАН,
Москва, Россия
Поступила в редакцию 06.03.2019 г.; после доработки 26.04.2019 г.; принята к публикации 29.04.2019 г.
Сигмоидальные структуры солнечной короны, то есть структуры, имеющие вид латинской буквы S или
ее зеркального отображения, как правило, рассматриваются как свидетельства скрученности силовых
линий магнитного поля и присутствия электрических токов в короне. Однако такие образования могут
существовать и в потенциальном поле. S-образная форма солнечных волокон, например, опреде-
ляется распределением фотосферных магнитных полей, которое не зависит от корональных токов.
Сигмоидальные силовые линии появляются в достаточно сложномпотенциальном поле в окрестностях
нулевых особых точек. Причем такие линии могут демонстрировать сдвиг, тоже часто принимаемый
за проявление непотенциальности поля. Таким образом, следует относиться с осторожностью к
некоторым свидетельствам непотенциальности магнитного поля в короне и исключать иные причины
появления “подозрительных” структур.
DOI: 10.1134/S0004629919090020
1. ВВЕДЕНИЕ
также для направления вихревой закрученности
суперполутени солнечных пятен и тонкой струк-
Отдельная изолированная активная область на
туры волокон. Волоконца (фибриллы) суперполу-
Солнце обычно демонстрирует в крайнем ультра-
тени образуют циклонический вихрь, закрученный
фиолетовом и мягком рентгеновском излучении
против часовой стрелки, в северном полушарии и
систему ярких петель, очень похожую на силовые
по часовой стрелке в южном [12, 13], а зубчики
линии диполя. Когда фотосферные магнитные по-
волокон отклоняются от оси по часовой стрелке
ля перемешаны сильнее, корональные структуры
в северном полушарии и против часовой стрелки
становятся сложнее. На рентгеновских изображе-
в южном [14, 15]. Поскольку обе характеристики
ниях короны, полученных спутником “Yohkoh” [1],
связаны со спиральностью магнитного поля [16],
были найдены короткоживущие (транзиентные) S-
можно ожидать, что и сигмовидные формы долж-
образные и зеркально отображенные образования,
ны отражать закрученность магнитного поля. В
названные “сигмоидами” [2-4]. Эти уярчения до-
работе [2] было высказано предположение, что
вольно быстро эволюционировали или в аркады
транзиентные сигмоиды в мягком рентгене демон-
петель, или в диффузные облака. Довольно ча-
стрируют винтовую (kink) неустойчивость магнит-
сто они были связаны с корональными выбросами
ных жгутов. Однако изгиб оси жгута при развитии
вещества. Наблюдались также и долгоживущие
такой неустойчивости имеет такое же направле-
сигмоидальные структуры, существовавшие в те-
ние вращения, что и закрученность силовых ли-
чение дней и недель [5]. В активных областях, в
нии внутри жгута [17]. В проекции на солнечную
которых наблюдаются сигмоиды, чаще происходят
поверхность выгнутая вверх винтовая петля имеет
эруптивные явления [6], а возмущения межпла-
вид S-образной (обратной S) структуры для левого
нетного магнитного поля, регистрируемые после
(правого) винта [18, 19]. Доминирование правовин-
эрупции сигмоидов, часто отражают их магнитную
товой (левовинтовой) закрученности магнитного
структуру до эрупции. В сигмоидальных активных
поля в южном (северном) полушарии противоречит
областях встречаются и волокна, имеющие вид
преимущественно S-образной (обратной S) форме
прямых или обратных S [7-10].
наблюдаемых здесь сигмоидов.
S-образные сигмоиды чаще встречаются в юж-
Для разрешения противоречия было предло-
ном полушарии, а обратные S образные — в се-
жено считать транзиентные сигмоиды не проек-
верном, хотя исключения не так уж редки [2, 6,
цией самих магнитных жгутов с винтовой осью,
11]. Северо-южная избирательность характерна
а проекцией токовых слоев, образующихся под
жгутами [18, 20-22]. Эти слои изгибаются в про-
*E-mail: bfilip@izmiran.ru
тивоположную сторону, в соответствии с наблюде-
776
“ЛОЖНЫЕ” СИГМОИДЫ В СОЛНЕЧНОЙ КОРОНЕ
777
ниями. Кроме того, если винтовая петля выгнута
Так эта область выглядела бы, если бы находи-
вниз, то она сама соответствует правилу северо-
лась в центре солнечного диска. За нормальный
южной предпочтительности [18]. Когда винтовая
к поверхности компонент поля, необходимый для
неустойчивость в таком случае достигает насыще-
решения краевой задачи, принимается проекция
ния, может возникнуть долгоживущая магнитная
продольного (вдоль луча зрения) поля на нормаль.
структура, в которой может накапливаться плотная
Подробности методики расчетов описаны в рабо-
плазма, образующая волокно.
тах [29, 30].
Сигмоидальная форма корональных образова-
Линии раздела северной и южной полярностей
ний считается индикатором корональных электри-
фотосферного продольного поля (ЛРП) находи-
ческих токов, хотя уже в одной из первых работ,
лись усреднением по гауссовому закону на мас-
посвященных их исследованию [23], отмечалась
штабе, достаточном для подавления вклада мелко-
возможность существования S-образных силовых
масштабных полей и шумов магнитограммы. Такое
линий в потенциальных полях. В данной работе мы
сглаживание дает в результате форму ЛРП, очень
покажем, что некоторые структуры в короне, име-
близкую к форме ЛРП потенциального поля на
ющие сигмоидный вид, наблюдаются в условиях,
некоторой высоте, того же порядка величины, что
предполагающих близость поля к потенциальному.
и масштаб сглаживания [31, 32].
Форма этих структур определяется распределени-
ем источников магнитного поля в фотосфере.
3. СИГМОИДАЛЬНЫЕ ВОЛОКНА
Солнечные волокна следуют более или менее
2. ИСПОЛЬЗУЕМЫЕ ДАННЫЕ И МЕТОДЫ
строго ЛРП фотосферного продольного поля, на-
зываемым также нейтральными линиями [33-36].
Для изучения геометрических свойств воло-
Многие волокна выглядят как прямые отрезки,
кон использовались изображения полного диска
так как они расположены в крупномасштабном
Солнца в линии Hα, полученные на обсервато-
магнитном поле. Оси других волокон искривлены и
рии Биг Бэр (Big Bear Solar Observatory) из ар-
даже замыкаются в кольца, поскольку они окайм-
хива http://www.bbso.njit.edu/. Форма корональ-
ляют сравнительно небольшие участки с полярно-
ных петель анализировалась по изображениям в
стью противоположной полярности окружающей
крайнем ультрафиолетовом диапазоне, получае-
крупномасштабной области. Иногда ось волокна
мым комплексом телескопов Atmospheric Imaging
имеет вид латинской буквы S или ее зеркального
Assembly (AIA; [24]) на борту аппарата Solar
отображения. Они могут рассматриваться как сиг-
Dynamics Observatory (SDO). Магнитное поле в
моиды, но их форма не является проявлением элек-
короне рассчитывалось в потенциальном прибли-
трического тока, а определяется распределением
жении по измерениям продольного компонента по-
фотосферного поля, которое может быть близко
ля в фотосфере инструментами Michelson Doppler
к потенциальному. Вообще-то вещество волокон
Imager (MDI; [25]) на борту Solar and Heliospheric
поддерживается высоко в короне взаимодействием
Observatory (SOHO) и Helioseismic and Magnetic
электрического тока с окружающим магнитным по-
Imager (HMI; [26, 27]) на борту SDO.
лем, но этот ток не обязательно определяет форму
Поскольку нас интересует поле в относительно
оси волокна.
небольших областях, из магнитограммы полного
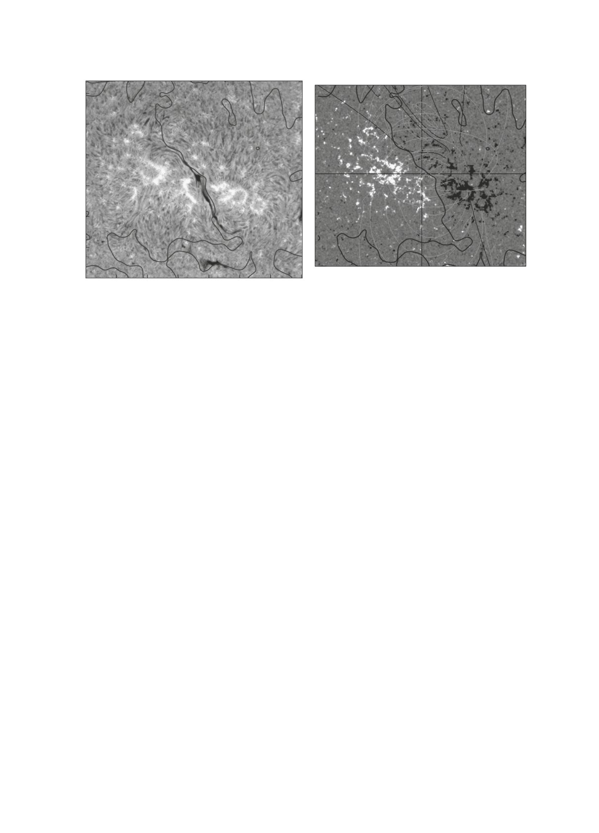
На рис. 1а показано волокно в линии Hα, на-
диска вырезалась прямоугольная площадка, зна-
блюдавшееся 13 июня 2013 г. Его ось имеет вид
чения поля из которой затем преобразовывались в
обратной S. Однако эта форма обусловлена не
массив, используемый как граничное условие для
непотенциальностью поля в короне, а отражает из-
решения краевой задачи. При этом мы пренебрега-
гибы ЛРП в фотосфере. Черные сплошные линии
ем вкладом участков фотосферы за пределами вы-
на рис. 1 демонстрируют ЛРП с гауссовым сгла-
бранной площадки. Это оправданно, если размеры
живанием на масштабе 50′′. На рис. 1б приведена
области намного больше, чем высота, до которой
магнитограмма этой же области с теми же ЛРП
ведутся расчеты, или если основные источники по-
и силовыми линиями потенциального поля, пока-
ля (активные области) находятся в пределах выре-
занными тонкими серыми линиями. Конечно, среди
занной площадки. В областях, заметно удаленных
них нет такой, которая совпадала бы с изогнутой
от центра диска, отдельные пиксели магнитограм-
осью волокна или с направлением коротких нитей,
мы соответствуют участкам с различной площадью
составляющих его внутреннюю тонкую структуру.
из-за проектирования сферической поверхности
Принято считать, что эти нити отражают структуру
фотосферы на картинную плоскость. Чтобы вос-
магнитного жгута, служащего магнитным карка-
пользоваться методикой интегрирования, предло-
сом волокна [37-41]. Плотное вещество волокна
женной в работе [28], данные преобразовывались
скапливается в нижних частях винтовых силовых
в массив с одинаковыми квадратными ячейками.
трубок жгута. Все силовые линии потенциального
АСТРОНОМИЧЕСКИЙ ЖУРНАЛ том 96
№9
2019
778
ФИЛИППОВ
y, угл. с.
600
(а)
(б)
400
200
0
200
400
600
x, угл. с.
Рис. 1. Hα-фильтрограмма 13 июня 2013 г. в 16 : 23 UT с наложенными фотосферными ЛРП (черные сплошные
линии), сглаженными гауссовым фильтром 50′′ (а). Магнитограмма SDO/HMI для того же момента времени с теми
же ЛРП и силовыми линиями потенциального поля (светло-серые линии) (б). Элементы положительной (южной)
полярностипоказаны светлыми тонами, а отрицательной(северной) полярности— темными. (Big Bear Solar Observatory
и Консорциум SDO/HMI).
поля выпуклы и не смогли бы удерживать это
(рис. 3). Это, как уже упоминалось, следствие
вещество длительное время. С этой точки зрения
избирательной спиральности полушарий: положи-
каждое волокно демонстрирует непотенциальность
тельная спиральность доминирует в южном полу-
поля в короне, но эта непотенциальность не связа-
шарии, а отрицательная — в северном. Волокна,
на с формой оси волокна. Эта форма контролиру-
приближающиеся к пятнам, имеют спиральность
ется фотосферным полем, мало отличающимся от
того же знака [42, 43]. Спиральность волокон мо-
потенциального.
жет быть определена по их внутренней структуре:
Хотя данное волокно с обратной S-образной
направлению нитей и выступающих зубчиков [37-
формой расположено в северном полушарии и вро-
41]. То есть можно полагать, что часть электриче-
де бы следует правилу избирательной спирально-
ского тока, текущего через солнечное пятно, прохо-
сти полушарий [2, 11], такое совпадение, скорее
дит через связанный с ним магнитный жгут (рис. 3).
всего, случайно. На рис. 2 показано длинное во-
Некоторые оценки свидетельствуют, что ток через
локно с синусоидальной осью. Отдельные секции
пятно того же порядка, что и ток через связанное с
этого волокна можно рассматривать как прямые
ним волокно [44].
и обратные S-образные структуры. Однако ось
На рис. 4 приведены примеры волокон, один из
волокна всего лишь следует ЛРП.
концов которых подходит к пятнам со спирально
Концы волокон должны покидать ЛРП и уко-
закрученной суперполутенью в северном и юж-
реняться в областях различной полярности, по-
ном полушарии. Суперполутень закручена против
скольку внутри жгутов имеется сильное осевое
часовой стрелки в пятне северного полушария, а
магнитное поле, которое должно быть связано с
связанное с ним волокно имеет зубчики, указыва-
фотосферой. Таким образом, даже если участок
ющие на отрицательную спиральность (рис. 4а).
ЛРП, на котором “сидит” волокно, совершенно
Обе характеристики противоположны в пятне и
прямой, концы волокна отклоняются от ЛРП в
волокне южного полушария (рис. 4б). Сигмоидаль-
разные стороны, создавая слегка сигмоидальную
ные волокна при этом следуют правилу северо-
форму. Волокна активных областей нередко од-
южной избирательности: обратная S в северном
ним из концов подходят к ближайшим окрестно-
полушарии и прямая S — в южном. Однако вряд ли
стям солнечных пятен. Некоторые пятна имеют
сигмоидный вид волокон определяется их спираль-
суперполутень с фибриллами, закручивающимися
ностью. Как видно на рис. 4, изгибы волокон просто
в вихрь по часовой стрелке в южном полушарии
следуют изгибам ЛРП, которые не имеют никакого
и против часовой стрелки в северном полушарии
отношения к спиральности магнитного поля.
АСТРОНОМИЧЕСКИЙ ЖУРНАЛ том 96
№9
2019
“ЛОЖНЫЕ” СИГМОИДЫ В СОЛНЕЧНОЙ КОРОНЕ
779
y, угл. с.
1000
500
0
500
1000
x, угл. с.
Рис. 2. Hα-фильтрограмма 14 сентября 2013 г. в 16 : 51 UT с наложенными фотосферными ЛРП (черные сплошные
линии), сглаженными гауссовым фильтром 50′′ (Big Bear Solar Observatory и Консорциум SDO/HMI).
4. СИГМОИДАЛЬНЫЕ КОРОНАЛЬНЫЕ
(рис. 6). При этом проекции этих силовых линий не
ПЕТЛИ
перпендикулярны ЛРП, то есть они демонстрируют
сдвиг (shear) в потенциальном поле.
Широко распространено убеждение, что S-
На изображениях Солнца в мягком рентгене и
образная в проекции на солнечный диск форма
крайнем ультрафиолете бывают видны на диске
корональных петель однозначно указывает на
непотенциальность магнитного поля в короне.
корональные петли, концы которых изгибаются в
противоположные стороны, демонстрируя сигмо-
Но S-образные линии можно обнаружить как в
плоском потенциальном поле, так и в проекциях
идные структуры. Какие-то из них, несомненно,
связаны с магнитными жгутами и порождаемыми
силовых линий трехмерного поля на плоскость. На
ими структурами, что подтверждается расчетами
такую возможность указывали авторы работы [23].
нелинейного бессилового магнитного поля в короне
На рис. 5 показаны силовые линии двумерного
по фотосферным векторным магнитограммам [45-
поля четырех точечных источников (“зарядов”).
48]. Другие могут возникнуть и в потенциальном
Они находятся в углах квадрата со сторонами
поле. На рис. 7а показан пример сигмоидных ко-
единичной длины. Заряды равных и противопо-
ложных знаков находятся на концах диагоналей,
рональных петель на изображении SDO/AIA в
причем одна пара зарядов (диполь) больше другой
канале 171
A. Сопоставление с магнитограммой
в полтора раза. В этой конфигурации имеется две
SDO/HMI (рис. 7б, в) указывает на наличие в
нулевых точки, и силовые линии, соединяющие
фотосфере четырех достаточно компактных маг-
более крупные заряды, имеют форму обратных S
нитных образований, образующих квадрупольную
благодаря сильному изгибу вблизи нулевых точек.
конфигурацию. В отличие от рис. 4 и 5, диаметраль-
Такие же структуры могут существовать и в
но противоположные источники здесь одного зна-
трехмерном потенциальном поле. Если четыре
ка. Имеется только одна нулевая точка (по крайней
заряда располагаются ниже поверхности z = 0,
мере, в двух измерениях, в горизонтальном поле)
представляющей фотосферу, то все “корональные”
в центральной части. Соответствующая седловая
силовые линии выпуклы, но в проекции на поверх-
структура хорошо обрисовывается корональными
ность некоторые из них имеют сигмоидный вид
петлями (рис. 7а) и силовыми линиями потенциаль-
АСТРОНОМИЧЕСКИЙ ЖУРНАЛ том 96
№9
2019
780
ФИЛИППОВ
Северная полусфера
Солнечное пятно
Магнитный жгут
Солнечное пятно
ЛРП
Экватор
ЛРП
Солнечное пятно
Магнитный жгут
Солнечное пятно
Южная полусфера
Рис. 3. Схематическое представлениесолнечных пятен со спиральнозакрученными суперполутенямии связанных с ними
магнитных жгутов.
y, угл. с.
y, угл. с.
(а)
(б)
300
300
200
200
100
100
0
100
200
300
400
500
0
100
200
300
400
500
x, угл. с.
x, угл. с.
Рис. 4. Hα-фильтрограммы 16 июня 1998 г. в 18 : 38 UT (а) и 14 июля 2015 г. (б) с наложенными фотосферными
ЛРП (черные сплошные линии), сглаженными гауссовым фильтром 50′′ (Big Bear Solar Observatory и Консорциумы
SOHO/MDI и SDO/HMI).
АСТРОНОМИЧЕСКИЙ ЖУРНАЛ том 96
№9
2019
“ЛОЖНЫЕ” СИГМОИДЫ В СОЛНЕЧНОЙ КОРОНЕ
781
y
2
-1.5
1
1
0
-1
1.5
-1
-2
−2
-1
0
1
2
x
Рис. 5. Силовые линии двумерного (плоского) потенциального поля с сигмоидальными линиями.
y
(а)
(б)
1
5
-1
z
1.0
0
0.5
ЛРП
0
ЛРП
1.0
-1.0
0.5
−0.5
0
−1
1
−5
0
−0.5
0.5
−1.0
y
−1
1
x
1.0
−1
0
1
−5
x
5
Рис. 6. Вид сверху (а) и сбоку (б) силовых линий трехмерного поля четырех зарядов с сигмоидальными линиями в
проекции. Пара зарядов величиной ±1 находятся на глубине 0.3 под поверхностью z = 0, и пара зарядов ±5 — на
глубине 1. Сигмоидальные линии и ЛРП показаны более жирными линиями.
ного магнитного поля (рис. 7в). Все силовые линии
5. ЗАКЛЮЧЕНИЕ
выпуклы, как видно на рис. 7г, но в проекции на
Сигмоидные структуры, наблюдаемые в солнеч-
диск некоторые из них, указанные белой стрелкой,
ной короне, обычно расцениваются как призна-
сильно изгибаются вблизи седловой точки и приоб-
ки присутствия электрического тока в скрученных
ретают вид обратной S.
магнитных полях. Во многих случаях сигмоиды со-
АСТРОНОМИЧЕСКИЙ ЖУРНАЛ том 96
№9
2019
782
ФИЛИППОВ
y, угл. с.
y, угл. с.
800
800
(а)
(б)
600
600
400
400
200
200
0
200
400
600
800
0
200
400
600
800
x, угл. с.
x, угл. с.
y, угл. с.
800
(в)
(г)
600
400
200
0
200
400
600
800
x, угл. с.
Рис. 7. Вид корональных петель на фильтрограмме,полученнойSDO/AIA 24 октября 2015 г. в 08 : 26 UT в канале 171A,
с сигмоидной структурой (а). (б) То же изображение, совмещенное с магнитограммой SDO/HMI. (в) Магнитограмма
SDO/HMI с проекциями силовых линий потенциального поля. (г) Вид силовых линий сбоку. Белая стрелка указывает на
сигмоидные корональные петли и соответствующие силовые линии. (Консорциумы SDO/AIA и SDO/HMI.)
провождаются другими признаками скрученности
вдоль ЛРП основаниями петель), форма оси воло-
поля, и наличие токов подтверждается экстраполя-
кон определяется формой ЛРП и, следовательно,
цией в корону фотосферных векторных магнитных
распределением фотосферных полей, не зависящих
полей. Однако сигмоидные структуры могут появ-
от корональных токов.
ляться не только благодаря корональным токам,
Нами представлены примеры сигмоидальных
но и из-за особого распределения фотосферных
волокон, форма которых даже следует правилу по-
полей. Солнечные волокна с сигмоидной и даже си-
лусферной избирательности знака спиральности,
нусоидальной формой их оси наблюдаются не ред-
то есть S-образная форма — в южном полушарии
ко. Тогда как вещество волокон поддерживается
и обратная S — в северном. Однако сопоставление
непотенциальным полем (полем магнитных жгутов
с фотосферными магнитными полями показывает,
или аркад со сдвигом, т.е. аркад со сдвинутыми
что волокна строго следуют ЛРП, так что влияние
АСТРОНОМИЧЕСКИЙ ЖУРНАЛ том 96
№9
2019
“ЛОЖНЫЕ” СИГМОИДЫ В СОЛНЕЧНОЙ КОРОНЕ
783
фотосферных полей определяет форму оси волокна
4.
R. C. Canfield, H. S. Hudson, and A. A. Pevtsov,
скорее, чем возможное влияние внутреннего тока
IEEE Trans. Plasma Sci. 28, 1786 (2000).
магнитного жгута. Длинные волокна вообще неред-
5.
A. A. Pevtsov, Solar Phys. 207, 111 (2002).
6.
A. A. Pevtsov, in Multi-Wavelength Observations
ко имеют синусоидальную форму, и их различные
of Coronal Structure and Dynamics, edited by
сегменты могут рассматриваться как элементы с
P. C. H. Martens and D. P. Cauffman, COSPAR Coll.
формой прямого или обратного S.
Ser. 13 (Dordrecht: Pergamon, 2002), p. 125.
Силовые линии простого симметричного потен-
7.
D. M. Rust and A. Kumar, Solar Phys. 155, 69
циального поля (например, диполя) имеют посто-
(1994).
янный знак кривизны на протяжении всей длины. В
8.
A. A. Pevtsov, R. C. Canfield, and H. Zirin,Astrophys.
более сложных полях кривизна может менять знак,
J. 473, 533 (1996).
и силовая линия может выглядеть как прямая или
9.
B. W. Lites and B. C. Low, Solar Phys. 174, 91 (1997).
обратная буква S. Очень большой изгиб силовые
10.
S. E. Gibson, L. Fletcher, G. Del Zanna, C. D. Pike,
линии претерпевают в окрестностях нулевых точек.
et al., Astrophys. J. 574, 1021 (2002).
Пара нулевых точек создает ярко выраженную S-
11.
A. A. Pevtsov, R. C. Canfield, and S. M. Latushko,
образную форму силовых линий. Это показано на
Astrophys. J. Lett. 549, L261 (2001).
12.
R. S. Richardson, Astrophys. J. 93, 24 (1941).
простых дву- и трехмерных моделях. В проекции
13.
Y. J. Ding, Q. F. Hong, and H. Z. Wang, Solar Phys.
на горизонтальную поверхность силовые линии в
107, 221 (1987).
квадрупольной конфигурации не только демон-
14.
S. F. Martin, R. Billimoria, and P. W. Tracadas, in
стрируют сигмоидальные структуры, но и откло-
Solar Surface Magnetism, edited by R. J. Rutten
няются от перпендикулярного к ЛРП направле-
and C. J. Schrijver (Dordrecht: Kluwer Academic
ния, обнаруживая сдвиг. Аркады со сдвигом тоже
Publ., 1994), p. 303.
рассматриваются как проявления корональных то-
15.
J. B. Zirker, S. F. Martin, K. Harvey, and
ков. Некоторые сигмоидальные корональные пет-
V. Gaizauskas, Solar Phys. 175, 27 (1997).
ли, в течение длительного времени наблюдаемые на
16.
D. M. Rust, Geophys. Res. Lett. 21, 241 (1994).
изображениях в крайнем ультрафиолетовом диапа-
17.
M. G. Linton, G. H. Fisher, R. B. Dahlburg, and
зоне, хорошо соответствуют форме потенциальных
Y. Fan, Astrophys. J. 522, 1190 (1999).
силовых линий, рассчитанных по фотосферным
18.
B. Kliem, V. S. Titov, and T. T ¨or ¨ok, Astron. Astrophys.
данным.
413, L23 (2004).
Мы не затрагиваем в данной работе транзи-
19.
S. E. Gibson, Y. Fan, T. T ¨or ¨ok, and B. Kliem, Space
ентные сигмоиды. Они связаны с кратковремен-
Sci. Rev. 124, 131 (2006).
20.
L. M. Green, B. Kliem, T. T ¨or ¨ok, L. van Driel-
ными явлениями (вспышки, эрупции) и очевид-
Gesztelyi, and G. D. R. Attrill, Solar Phys. 246, 365
но должны быть тесно связаны с корональными
(2007).
токами, производящими эти явления. Мы хотим
21.
Y. Fan, and S. E. Gibson, Astrophys. J. Lett. 589,
только подчеркнуть, что наблюдаемые сигмоидаль-
L105 (2003).
ные образования не обязательно свидетельствуют
22.
Y. Fan, and S. E. Gibson, Astrophys. J. 609, 1123
о присутствии электрических токов в короне. Вни-
(2004).
мательный анализ магнитных полей необходим для
23.
A. A. Pevtsov, R. C. Canfield, and A. N. McClymont,
исключения иных возможностей появления таких
Astrophys. J. 481, 973 (1997).
структур.
24.
J. R. Lemen, A. M. Title, D. J. Akin, P. F. Boerner, et
al., Solar Phys. 275, 17 (2012).
25.
P. H. Scherrer, R. S. Bogart, R. Bush, J. T. Hoeksema,
БЛАГОДАРНОСТИ
A. G. Kosovichev, et al., Solar Phys. 162, 129 (1995).
26.
P. H. Scherrer, J. Schou, R. I. Bush,
Автор благодарен сотрудникам Солнечной об-
A. G. Kosovichev, et al., Solar Phys. 275,
207
серватории Биг Бэр и научным группам проекта
(2012).
SDO за возможность доступа к материалам на-
27.
J. Schou, P. H. Scherrer, R. I. Bush, R. Wachter, et
блюдений. Работа выполнена при частичной фи-
al., Solar Phys. 275, 229 (2012).
нансовой поддержке в рамках проекта Минобрна-
28.
О. Г. Ден, О. Е. Ден, Е. А. Корницкая, М. М. Моло-
уки КП 19-270.
денский, Солнечные данные, №. 1, 97 (1979).
29.
Б. П. Филиппов, О. Г. Ден, Письма в Астрон. журн.
26, 384 (2000).
СПИСОК ЛИТЕРАТУРЫ
30.
B. Filippov, Astrophys. J. 773, 10 (2013).
1. S. Tsuneta, L. Acton, M. Bruner, J. Lemen, et al.,
31.
C. J. Durrant, Solar Phys. 211, 83 (2002).
Solar Phys. 136, 37 (1991).
32.
S. S. Ipson, V. V. Zharkova, S. Zharkov,
2. D. M. Rust and A. Kumar, Astrophys. J. Lett. 464,
A. K. Benkhalil, J. Aboudarham, and N. Fuller,
L199 (1996).
Solar Phys. 228, 399 (2005).
3. R. C. Canfield, H. S. Hudson, and D. E. McKenzie,
33.
H. W. Babcockand H. D. Babcock,Astrophys. J. 121,
Geophys. Res. Lett. 26, 627 (1999).
349 (1955).
АСТРОНОМИЧЕСКИЙ ЖУРНАЛ том 96
№9
2019
784
ФИЛИППОВ
34. R. F. Howard and J. W. Harvey, Astrophys. J. 139,
edited by K. S. Balasubramaniam and G. W. Simon,
1328 (1964).
ASP Conf. Ser. 68 (San Francisco: Astronomical
35. S. F. Smith and H. E. Ramsey, Solar Phys.2, 158
Society of the Pacific, 1994), p. 337.
(1967).
43. S. F. Martin, in New Perspectives on Solar
36. P. S. McIntosh, Rev. Geophys. Space Phys. 10, 837
Prominences, edited by D. F. Webb, B. Schmieder,
(1972).
and D. M. Rust, IAU Colloq. 167, ASP Conf. Ser. 150
37. J. Chae, Astrophys. J. Lett. 540, L115 (2000).
(San Francisco: Astronomical Society of the Pacific,
38. Y. Lin, O. R. Engvold, and J. E. Wiik, Solar Phys. 216,
1998), p. 419.
109 (2003).
44. Г. Н. Куликова, М. М. Молоденский, Л. И. Стар-
39. Y.
Lin,
J.
E.
Wiik,
O. Engvold,
кова, Б. П. Филиппов, Солнечные данные, №. 10,
L. Rouppe van der Voort, and Z. A. Frank, Solar
С. 60 (1986).
Phys. 227, 283 (2005).
40. S. F. Martin, Y. Lin, and O. Engvold, Solar Phys. 250,
45. A. Savcheva, A. A. van Ballegooijen, and
31 (2008).
E. E. DeLuca, Astrophys. J. 744, 78 (2012).
41. Y. Lin, S. F. Martin, and O. Engvold, in
46. A. Savcheva, E. Pariat, A. van Ballegooijen,
Subsurface and Atmospheric Influences on
G. Aulanier, and E. DeLuca, Astrophys. J. 750,
Solar Activity, edited by R. Howe, R. W. Komm,
15 (2012).
K. S. Balasubramaniam, and G. J. D. Petrie, ASP
47. C. Jiang, S. T. Wu, X. Feng, and Q. Hu, Astrophys. J.
Conf. Ser. 383 (San Francisco: Astronomical Society
780, 55 (2014).
of the Pacific, 2008), p. 235.
48. P. Vemareddy and P. Dem ´oulin, Astrophys. J. 857, 90
42. D. M. Rust and S. F, Martin, in Solar active region
evolution: comparing models with observations.
(2018).
АСТРОНОМИЧЕСКИЙ ЖУРНАЛ том 96
№9
2019