БИОФИЗИКА, 2022, том 67, № 5, с. 1009-1029
БИОФИЗИКА CЛОЖНЫX CИCТЕМ
УДК 611.1:616-09218:547.31: 612.824.1: 612.135: 616.8-091.81: 546.172.6-31
ТКАНЕИНЖЕНЕРНЫЕ КОНСТРУКЦИИ В БИОФИЗИКЕ, НЕВРОЛОГИИ
И ДРУГИХ ОБЛАСТЯХ, ОТРАСЛЯХ И РАЗДЕЛАХ МЕДИЦИНЫ
© 2022 г. В.П. Реутов*, #, Л.А. Давыдова**, ##, Е.Г. Сорокина***, ###
*Институт вышей нервной деятельности и нейрофизиологии РАН, ул. Бутлерова, 5а, Москва, 117485, Россия
#E-mail: valentinreutov@mail.ru
**Белорусский государственный медицинский университет, просп. Дзержинского, 83, Минск, 220116, Беларусь
##E-mail: la-davydova@yandex.by
***Национальный медицинский исследовательский центр здоровья детей Минздрава России, Ломоносовский просп.,
2, Москва, 119991, Россия
###E-mail: sorokelena@mail.ru
Поступила в редакцию 05.07.2022 г.
После доработки 05.07.2022 г.
Принята к публикации 15.07.2022 г.
Описан один из методов создания нового центра местной нейрогуморальной регуляции - метод
ганглиопексии, основанный на образовании новых нервных и сосудистых связей. Анализируются
перспективы развития этого метода. Обсуждаются также новые концепции о циклах оксида азота и
супероксидного анион-радикала. Анализируется их возможная роль в защите клеток и организма в
целом от оксидативного и нитрозативного стресса, развивающихся в тех случаях, когда (в 5-30%
случаев) наблюдается появление деструктивных изменений в перемещенном ганглии, приводящих
к сосудистым осложнениям и повышению риску летальности. Также анализируются механизмы,
способные защитить нервные клетки, предотвратить развитие в них деструктивных изменений и
снизить риск летальности.
Ключевые слова: ангиогенез, ганглиопексия, клеточные технологии, нитраты, нитриты, оксиды азота,
циклы оксида азота и супероксидного анион-радикала, принцип цикличности, голографический принцип.
DOI: 10.31857/S0006302922050209, EDN: JKPWNC
Цель тканевой инженерии - конструирование и
Идея никогда не рождается в толпе; она
выращивание вне организма человека живых,
зарождается обыкновенно в уме одного че-
функциональных тканей или органов для после-
ловека; если этот человек выделяется из
толпы и увлекает ее за собой, то он вскоре
дующей трансплантации пациенту с целью заме-
ны или стимуляции регенерации, поврежденных
находит других людей, которые имеют с
органа или ткани [16-20, 21]. Иными словами, на
ним родственность, и тогда составляется
месте дефекта должна быть восстановлена трех-
научная школа.
мерная структура ткани.
Георг Брандес (1842-1927)
Одной из актуальных задач современной био-
КРАТКАЯ ИСТОРИЯ ВОПРОСА
логии и медицины является восстановление
функции органа, нарушенной в результате разры-
Изготовление живых структур с желаемой топо-
ва его связей с центральной нервной системой
логией, структурой и функциональными свойства-
(ЦНС) вследствие заболевания, травмы или
ми. Изготовление живых структур с желаемой то-
трансплантации органа [1-10]. В настоящее вре-
пологией, структурой и функциональными свой-
мя метод tissue engineering - это процветающая об-
ствами требует междисциплинарных подходов и
ласть исследований в тканевой инженерии кожи,
усилий практиков в области физических/биофи-
печени, спинного мозга, сосудов и во многих дру-
зических, биологических и технических наук
гих областях регенеративной медицины от кар-
[22-27]. Известны исследования Института реге-
диологии и невропатологии до урологии [3-15].
неративной медицины в Северной Каролине
(США) и его директора
- профессора
Сокращение:ЦНС - центральная нервная система.
Дж.Э. Атала (рис. 1) [2, 16-19].
1009
1010
РЕУТОВ и др.
Рис. 1. Джон Энтони Атала (род. 1958, Перу). В настоя-
Рис. 2. Академик НАН Беларуси Давид Моисеевич
щее время проф. Дж. Э. Атала - директор Института ре-
Голуб (1901-2001). Аналогов исследований, которые
генеративной медицины, Wake Forest in North Carolina
проводил Д.М. Голуб, долгое время не было ни в нашей
(США), заведующий кафедрой урологии Медицинской
стране, ни за рубежом. Для школы Д.М. Голуба
школы, Wake Forest in North Carolina (США), профес-
характерен широкий комплекс эмбриологических,
сор отделения передовых клеточных технологий Ин-
анатомических, гистологических, гистохимических
ститута регенеративной медицины 1-го Московского
методов с применением методов люминесцентной и
Государственного медицинского университета им.
электронной микроскопии. В 1998 г. Международный
И.М. Сеченова. Один из пионеров регенеративной ме-
Биографический Центр (Кембридж, Великобритания)
дицины. В 2011 г. д-р Э. Атала был избран членом Ин-
включил Д.М. Голуба в число 2000 выдающихся ученых
ститута медицины Национальной академии наук и на-
XX столетия в связи с особым вкладом в области
зван «Врачом года» (номинация журнала «Scientific
анатомии и эмбриологии.
American») за его вклад в изучение регенерации клеток,
тканей и органов.
ли в медицинской практике внедрили и реализо-
вали достижения этого ученого [42, 43, 45, 48, 50,
Известны также биологические инженерные
52, 54-57].
подходы без применения каркасов, основанные
Достижения белорусских и российских ученых.
на 3D-печати [21, 23, 25-30]. Авторы ряда работ
Идеи нервизма, трофической функции нервной
описывают методы, в которых используют соби-
системы и развития нервно-дистрофического про-
рающиеся в структуры многоклеточные едини-
цесса как основы развития любого патологическо-
цы, основанные на принципах морфогенеза ран-
го процесса, были весьма популярны в годы твор-
него развития, такие как сортировка клеток и
ческой активности Д.М. Голуба. Этими идеями
слияние тканей, использование плюропотентных
были пронизаны труды известных физиологов -
стволовых клеток [31-36]. Нередко современные
И.М. Сеченова, И.П. Павлова, Л.А. Орбели,
методы требуют подготовки структур тканей и
А.Д. Сперанского. Достаточно вспомнить, что ос-
органов in vitro с последующей их имплантацией
новной труд А.Д. Сперанского «Элементы постро-
[37-40]. Однако по мере развития метода ткане-
ения теории медицины» восемь раз номинировал-
вой инженерии становится очевидным, что в ко-
ся на соискание Нобелевской премии еще при
нечном итоге наилучший подход состоит в том,
жизни ученого и при поддержке первого россий-
чтобы, основываясь на механизмах самосборки и
ского Нобелевского лауреата по физиологии и ме-
самоорганизации клеток и используя врожден-
дицине академика И.П. Павлова [58]. Ученики
ную способность тканей к регенерации внутри
А.Д. Сперанского
- Г.Н. Крыжановский и
самого организма, предложить естественные или
Я.И. Ажипа, создавшие труды, вошедшие в исто-
природные способы восстановления структуры и
рию физиологии XX века, - были преемниками и
функции тканей. Основоположником таких под-
продолжателями идей вышеназванных ученых-
ходов создания тканеинженерных конструкций и
классиков физиологии. Настоящая работа вклю-
метода ганглиопексии является белорусский уче-
чает, продолжает и развивает идеи указанных уче-
ный академик Давид Моисеевич Голуб (1901-
ных. Она написана учениками Д.М. Голуба (Л.А.Д)
2001) (рис. 2) [41-57]. Его ученики и последовате-
и Я.И. Ажипы (В.П.Р.) [54, 59-61].
БИОФИЗИКА том 67
№ 5
2022
ТКАНЕИНЖЕНЕРНЫЕ КОНСТРУКЦИИ В БИОФИЗИКЕ
1011
ВОССТАНОВЛЕНИЕ ФУНКЦИИ ОРГАНА,
Они образуют «многоступенчатую» афферентную
НАРУШЕННОЙ В РЕЗУЛЬТАТЕ РАЗРЫВА
иннервацию внутренних органов [42-56].
ЕГО СВЯЗЕЙ С ЦЕНТРАЛЬНОЙ
Идеи о реиннервации внутренних органов пу-
НЕРВНОЙ СИСТЕМОЙ
тем создания для них дополнительных источни-
ков иннервации привели к разработке новых ме-
Одной из актуальных задач современной ме-
тодических приемов в практике создания ткане-
дицины, как указывалось выше, является восста-
инженерных конструкций на базе органопексии,
новление функции органа, нарушенной в ре-
когда в качестве донора используется богатый
зультате разрыва его связей с центральной нерв-
нервами и сосудами орган (например, тонкая
ной системой вследствие заболевания, травмы
кишка, сальник). При подшивании их к денерви-
или трансплантации органа. В этом направлении
рованному органу они являются источником но-
с 60-х годов прошлого столетия проводились на-
вообразованных сосудов и нервов для органа ре-
учные исследования в лаборатории морфологии
ципиента. Этот метод был успешно внедрен в ме-
Института физиологии НАН Республики Бела-
дицинскую практику
[62,
63]. Например,
русь под руководством выдающегося белорусско-
известны многочисленные случаи, когда во время
го ученого - эмбриолога и нейроморфолога, ака-
автокатастрофы после серьезной травмы позво-
демика, доктора медицинских наук, профессора,
ночника (перелом поясничного отдела позвоноч-
лауреата Государственной премии СССР
ника) пациенты становятся инвалидами даже
Д.М. Голуба.
после успешной операции по восстановлению
позвоночника, потому что оказываются в состоя-
Эмбриогенез вегетативной (автономной)
нии недержания мочи. Это обусловлено тем об-
нервной системы и выявление закономерностей
дифференцировки тканей и органов в связи с их
стоятельством, что в результате повреждения
нервов при травме перестают работать сфинкте-
иннервацией в различные периоды развития ор-
ры мочевого пузыря. Применение метода органо-
ганизма человека и животных показал, что пред-
пексии с подшиванием тонкой кишки к стенке
позвоночные и органные вегетативные узлы фор-
денервированного мочевого пузыря эффективно
мируются в результате дисперсии (рассеивания)
молодых нервных клеток из основного вегетатив-
решало эту проблему: приводило к тому, что уже
через неделю огромное количество нервов про-
ного узла (ганглия) [41-57]. Микроганглии появ-
растали в стенку мочевого пузыря. Белорусские
ляются вблизи основного ганглия. Такие структу-
урологи академик Н.Е. Савченко и профессор
ры связаны с основным ганглием нервными во-
В.А. Мохорт разработали клинический вариант
локнами. Оказалось, что микроганглии можно
рассматривать как морфологическую основу для
операции восстановления функции мочевого пу-
зыря при его нейрогенных расстройствах. Этот
создания новых центров местной нервной регу-
метод был успешно внедрен в медицинскую
ляции внутренних органов путем транспланта-
практику и получил название илеовезикопексия
ции ганглиев с сохранением нервно-сосудистых
[62, 63]. Указанные операции (илеовезикопек-
компонентов. В исследованиях белорусских уче-
ных были отработаны методики пересадки веге-
сии) обеспечивали реиннервацию мочевого пу-
зыря подшитым участком тонкой (подвздошной)
тативных узлов в стенку различных органов
кишки. Благодаря применению этого метода у
(сердце, мочевой пузырь, предстательная железа
пациента уже через две недели, после восстанов-
и др.), а также в толщу поперечнополосатой
ления вегетативной иннервации начинали рабо-
мышцы. На основе данных литературы и, глав-
ным образом, данных опытов сотрудников лабо-
тать сфинктеры мочевого пузыря [62, 63].
ратории морфологии, стало очевидным, что наи-
В настоящее время достижения белорусских
более благоприятные результаты были получены
ученых успешно реализуются в Национальных
при пересадке вегетативного ганглия с сохране-
медицинских центрах здоровья детей [64-67].
нием нервно-сосудистой ножки для быстрого
Например, в детской урологии существует боль-
восстановления его межнейронных/межнейро-
шая распространенность нарушений уродинами-
нальных связей и кровоснабжения [42, 46, 54].
ки. По данным эпидемиологических исследова-
Наличие основных и окольных (дополнительных)
ний каждый пятый ребенок
5-7 лет имеет
связей между внутренними органами и ЦНС - это
расстройства мочеиспускания
[65-67]. Среди
еще и возможность создания новых нервных свя-
нефрологических и урологических больных ча-
зей внутренних органов в случае полной или ча-
стота данной патологии составляет 50-60%. Од-
стичной утраты их связей с ЦНС. Наличие пере-
ной из наиболее частых причин нарушения уро-
крестных связей обеспечивает двустороннюю ин-
динамики является гиперактивный мочевой пу-
нервацию внутренних органов, которые могут
зырь [64-66]. У детей он встречается значительно
сыграть компенсаторную роль. В процессе фор-
чаще, чем принято считать. Формирование дис-
мирования вегетативной нервной системы аффе-
функций мочевого пузыря обусловлено задерж-
рентные нервы встречаются на всем протяжении
кой созревания нервно-гуморальной регуляции
от спинномозговых узлов до внутренних органов.
акта мочеиспускания, сопровождаются гипокси-
БИОФИЗИКА том 67
№ 5
2022
1012
РЕУТОВ и др.
ей/ишемией и нарушением биоэнергетики гипе-
рактивного мочевого пузыря и систем его
нервного контроля и гуморальной регуляции.
Имеются многочисленные статьи, в которых рас-
сматриваются механизмы развития первичного и
вторичного ночного энуреза, который является
медицинским термином для обозначения состоя-
ния недержания мочи после своего первого дня
рождения. Ученые и врачи пришли к выводу: эну-
резы различного происхождения часто недооце-
нивают с точки зрения страданий детей и их
семей, тем не менее, существуют эффективные
варианты их лечения после постановки правиль-
ного и полного диагноза. При этом в сложных и
запущенных случаях применение достижения бе-
лорусских ученых является одним из наиболее
эффективных методов восстановления вегетатив-
ной иннервации мочевого пузыря. Нередко в те-
чение двух-трех недель после применение метода
органопексии с подшиванием тонкой кишки к
стенке денервированного мочевого пузыря начи-
нали активно работать его сфинктеры, а дети-па-
циенты и их родители забывали о заболевании ги-
перактивного мочевого пузыря [62-67]. Таким
образом, методы ганглиопексии - трансплантации
вегетативных ганглиев на нервно-сосудистой
ножке с целью создания новых центров местной
нервно-гуморальной регуляции нейрогенно по-
Рис. 3. Стадия дисперсии (стадия рассеивания) раз-
раженных внутренних органов, органопексии с
вития вегетативных узлов. 1 - Ресничный узел, 2 -
подшиванием тонкой кишки к стенке денервиро-
крыловиднонебный узел, 3 - ушной узел, 4 - под-
ванного мочевого пузыря и трункопексии, когда в
нижнечелюстной узел, 5 - добавочные микроган-
орган вживляют дистальный конец перерезанно-
глии, возникшие в результате выселения нейробла-
го нерва, стали революционными методами реа-
стов из основных узлов. Графическая реконструкция
билитации пациентов разного возраста. Автора-
(В.М. Дечко). Зародыш человека длиной 33 мм.
ми и разработчиками этих методов были белорус-
ские ученые.
нервные узелки, которые связаны с основным
Таким образом, изучение белорусскими уче-
ганглием пучками нервных волокон (рис. 3).
ными динамики эмбриогенеза нервной системы у
Быстрое восстановление кровоснабжения
зародышей человека позволило установить ряд
трансплантированного ганглия ведет к скорей-
важных закономерностей формирования симпа-
шему восстановлению сохранившихся нейронов.
тического ствола и вегетативных сплетений. Вы-
По мере восстановления интраорганной капил-
явлены основные этапы развития вегетативных
лярной сети и установления контактов между ре-
ганглиев. Основные этапы развития вегетатив-
цепторными и эфферентными нейронами проис-
ных ганглиев были описаны ранее [59]. Они со-
ходит восстановление сохранившихся нейронов
стоят из трех стадий: первая стадия - первичная
[42, 68].
сегментация (симпатический ствол представлен
узлами, которые соответствуют сегментам спин-
РОЛЬ СОСУДИСТОГО ФАКТОРА
ного мозга); вторая стадия - слияние первичных
В ТРАНСПЛАНТАЦИИ ОРГАНОВ
узлов в сплошной нервно-клеточный тяж, вдоль
которого перемещаются клеточные элементы в
Трансплантацией вегетативных ганглиев за-
восходящем и нисходящем направлениях, что
нимались многие исследователи для решения
приводит к формированию многосегментарных
разных задач. В литературе имеются материалы,
дефинитивных узлов. На третьей стадии развития
указывающие на важную роль сосудистого фак-
вегетативных ганглиев происходит обособление
тора при трансплантации органов. Большинство
дефинитивных узлов, а затем дисперсия (рассеи-
исследователей рассматривают дегенерацию ней-
вание) части молодых нейронов из основного
ронов пересаженного ганглия, в первую очередь,
ганглия. В результате этого вблизи основного
нарушением его кровоснабжения и возникнове-
ганглия возникают мелкие, дополнительные
нием состояния гипоксии/ишемии. Первые по-
БИОФИЗИКА том 67
№ 5
2022
ТКАНЕИНЖЕНЕРНЫЕ КОНСТРУКЦИИ В БИОФИЗИКЕ
1013
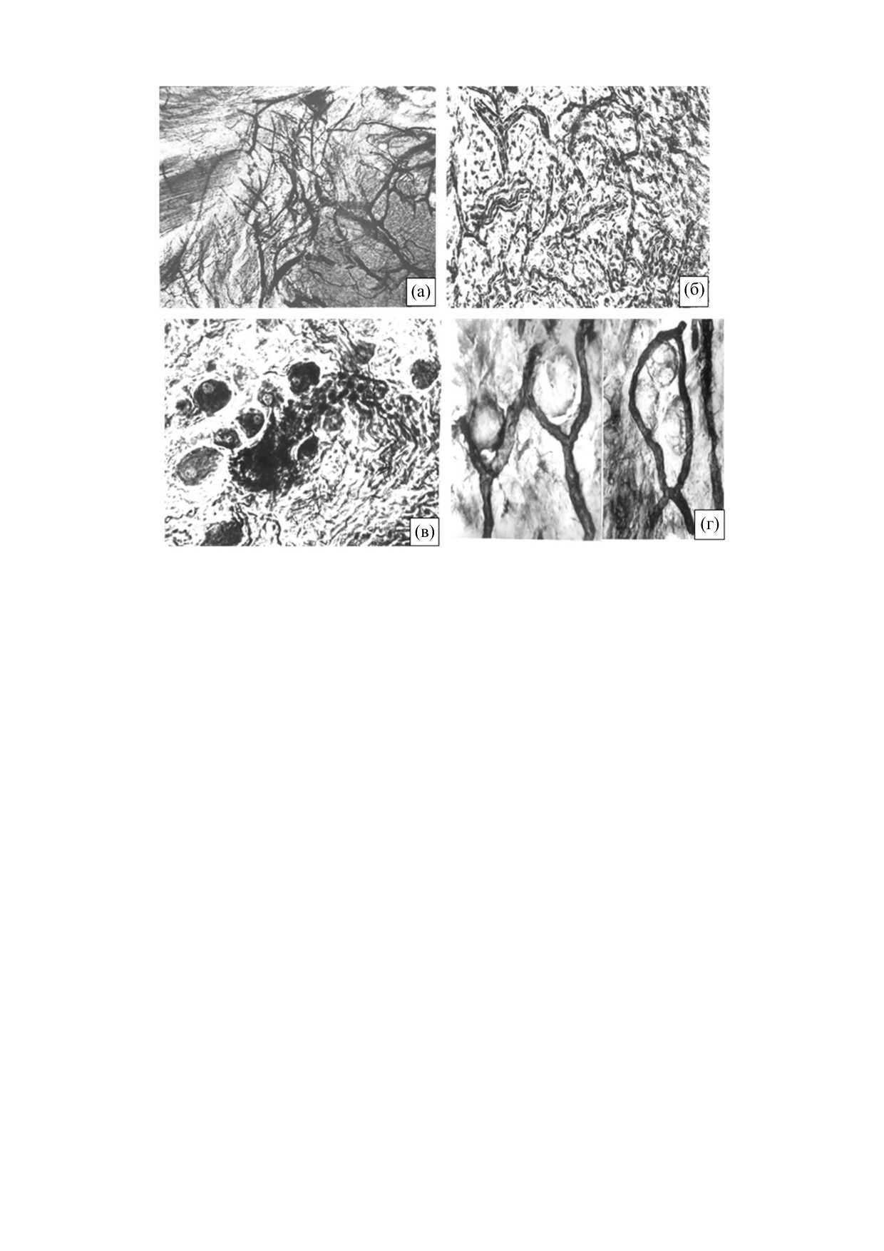
Рис. 4. Реакция нейронов и нервных волокон на трансплантацию ганглия. (а) - Нейроны каудального брыжеечного узла на
вторые сутки после операции в состоянии раздражения: смещение ядер на периферию, центральный, периферический и
тотальный хроматолиз. Окраска по Нисслю. (б) - Колба роста, направленная в сторону мышцы. Срок наблюдения 1 месяц,
импрегнация по Рассказовой. (в) - Перикапсулярное сплетение на эфферентном нейроне. Срок наблюдения 1 месяц. Им-
прегнация серебром по Рассказовой. (г) - Нейроны в состоянии перицеллюлярного отека. Срок наблюдения 7 суток, им-
прегнация по Рассказовой.
пытки пересадки нервных ганглиев относятся к
сятые сутки. Более устойчивыми оказывались
началу ХХ столетия [69-71]. Авторы проводили
отдельные чувствительные нейроны, располо-
свободную трансплантацию чувствительных и
женные по периферии узла. Успешной оказалась
симпатических ганглиев. Свободная пересадка
свободная трансплантация спинальных и симпа-
каудального брыжеечного узла в стенку мочевого
тических ганглиев в богато васкуляризированные
пузыря [42, 68] приводила к гибели почти всех
и иннервируемые ткани [42, 68]. Авторы, как пра-
нервных клеток. При пересадке того же узла в
вило, не находили серьезных деструктивных из-
стенку мочевого пузыря или в толщу поперечно-
менений в нейронах интрамуральных ганглиев
полосатой мышцы с частичным сохранением его
трансплантата. Ряд исследователей отмечали, что
кровоснабжения по артериям, сопровождающим
лучшее приживление нейронов происходит при
подчревные нервы, результат оказался наиболее
пересадке их в ткани, которые сами хорошо кро-
оптимальным. Естественно было предположить,
воснабжаются (мозг, мышца), а также в перед-
что нарушенное при пересадке кровоснабжение
нюю камеру глаза, жидкость которой является хо-
ганглия компенсируется за счет ретроградного
рошей питательной средой.
притока крови по артериям нервно-сосудистой
Часть нейронов подвергается ретроградной
ножки [68].
дегенерации вследствие повреждения аксонов:
В дальнейшем операции по пересадке нервных
набухание клеток, резкое смещение ядра на пери-
ганглиев были усовершенствованы. Одна из та-
ферию, развитие центрального хроматолиза.
ких реакций нейронов и нервных волокон на
Описанные изменения обратимы. Максимально
трансплантацию ганглия представлена на рис. 4.
они выражены первые две недели, затем посте-
Однако при первых операциях положительного
пенно уменьшаются и к моменту восстановления
эффекта вообще не получали, так как вследствие
аксона исчезают. На отдельных двигательных
анемии, нервные клетки погибали на шестые-де-
нейронах выявляются синаптические окончания,
БИОФИЗИКА том 67
№ 5
2022
1014
РЕУТОВ и др.
Рис. 5. Состояние нейронов трансплантированного ганглия (микрофотографии). (а) - Вещество Ниссля в нейронах
трансплантированного ганглия в виде крупных глыбок и мелких зерен, заполняющих всю цитоплазму. Срок наблюдения
пять с половиной месяцев. Окраска по Нисслю. (б) - Синаптические окончания на эфферентных нейронах каудального
брыжеечного узла. Срок наблюдения 4 месяца. Импрегнация серебром по Рассказовой. (в) - Рецепторные нейроны
пересаженного ганглия. Срок наблюдения 7 месяцев. Импрегнация серебром по Рассказовой. (г) - Многоклеточный
дендритический гломерул. Срок наблюдения 4 месяца. Импрегнация серебром по Рассказовой.
имеющие вид темноимпрегнированных гипер-
кие дендриты и длинный аксон. Клетки Догеля II
трофированных бляшек. Вместе с тем уже в этом
типа не имеют синапсов. Другими словами, пре-
сроке в узле наблюдаются признаки регенерации,
ганглионарные нейроны на них не оканчиваются.
которые проявляются избыточным ростом нерв-
Поэтому Догель называл их чувствительными
ных волокон и появлением колб роста (рис. 4б,в).
нейронами II типа. Эти клетки имеют разную
Часть клеток изменяется позже вследствие утра-
форму - овальную, грушевидную, вытянутую.
ты связи с преганглионарным волокном, подвер-
Выделяют также клетки Догеля III типа, которые
гаясь транснейрональной дегенерации (нейроны
представляют собой вставочные (ассоциативные)
сморщенные, атрофированные, теряют отростки,
элементы, соединяющие своими отростками не-
нарушаются ядерно-плазменные отношения, си-
сколько клеток I и II типа. Их дендриты корот-
наптические окончания деформированы). Эти
кие, но более длинные, чем у клеток I типа. Одна-
изменения прогрессируют и приводят к гибели
нейронов (рис. 4г).
ко они тоже не выходят за пределы данного ган-
глия, а образуют корзинчатые разветвления,
Через 2.5-4 месяца среди сохранившихся кле-
оплетающие тела других клеток данного ганглия.
ток много двигательных нейронов, между кото-
Аксон клетки Догеля III типа идет в другой ган-
рыми выделяются рецепторные клетки, которые
называют также клетками Догеля II типа (рис. 5).
глий и там вступает в синаптическую связь с клет-
К этим клеткам относят мультиполярные клетки
ками I типа. Как правило, количество повре-
с длинными дендритами. Клетками Догеля I типа
жденных нейронов заметно уменьшается к четы-
называют эффекторные клетки, имеющие корот-
рем месяцам после операции.
БИОФИЗИКА том 67
№ 5
2022
ТКАНЕИНЖЕНЕРНЫЕ КОНСТРУКЦИИ В БИОФИЗИКЕ
1015
Рис. 6. Новообразованные кровеносные сосуды (капилляры) пересаженного ганглия. (а) - Новообразованные капилляры.
Срок наблюдения 10 месяцев. Инъекция сосудов водным раствором туши. (б) - Новообразованные капилляры в
соединительной ткани вокруг пересаженного узла. Срок наблюдения 4 месяца. Импрегнация по Рассказовой. (в) -
Нейроны ганглия вокруг капилляра. Срок наблюдения пять с половиной месяцев. Импрегнация по Рассказовой. (г) -
Капиллярные петли, окружающие нейроны; характеризуются высокой активностью щелочной фосфатазы. Срок
наблюдения - 1 месяц. Метод Гомори.
Основное значение для сохранения нейронов
(51,9%), как и в интактном ганглии. Из мышцы,
каудального брыжеечного узла при транспланта-
на которую был трансплантирован узел, растет
ции, как указывалось выше, имеет восстановле-
большое количество сосудов. Вначале это только
ние его кровоснабжения. В норме в каудальном
капилляры диаметром от 1 до 3 мкм. К пяти меся-
брыжеечном узле основную массу (87%) состав-
цам появляются артериолы и венулы, а к семи-
ляют капилляры. Об их функциональной актив-
двенадцати месяцам - артерии и вены диаметром
ности свидетельствует высокая концентрация
45-48 мкм. Артерии, сопровождающие подчрев-
щелочной фосфатазы эндотелия сосудов и хоро-
ные нервы, значительно расширяются, достигая в
шая окрашенность капилляров (рис. 6). Интен-
диаметре 114-115 мкм.
сивность кровоснабжения на периферии узла
Наряду с новообразованными капиллярами
выше, чем в центре. В условиях пересадки на-
отмечаются многочисленные новообразованные
рушенное кровоснабжение ганглия быстро ком-
нервные волокна в соединительной ткани, окру-
пенсируется за счет расширения сосудов, со-
жающей трансплантированный узел (рис. 7а).
провождающих подчревные нервы (рис.
6а).
Первые нервные волокна наблюдаются уже через
Дополнительным источником кровоснабжения
семь суток после операции, они безмякотные,
трансплантированного ганглия являются много-
тонкие и извитые. Через год после транспланта-
численные капилляры, прорастающие из боль-
ции количество нервных волокон значительно
шой поясничной мышцы, по ходу которых на-
возрастает. Можно предположить, что одним из
блюдается скопление нервных клеток (рис. 6б,в).
источников новообразованных нервов являются
В каждой капиллярной петле ганглия содер-
регенерирующие ветви подчревных нервов. Они
жится от одного до одиннадцати нейронов. Одна-
образуют пучки, которые прорастают в мышцу,
ко чаще всего встречаются один-два нейрона
обеспечивая ее реиннервацию (рис. 7б).
БИОФИЗИКА том 67
№ 5
2022
1016
РЕУТОВ и др.
Сохранению и восстановлению двигательных
нейронов способствуют чувствительные клетки
Догеля II типа, которые своими многочисленны-
ми отростками охватывают большое количество
эфферентных нейронов, контактируя с ними
(рис. 7в). Возможно, такие контакты между ре-
цепторными и эфферентными нейронами играют
определенную роль в сохранении и восстановле-
нии моторных нейронов при их децентрали-
зации.
НАСТОЯЩЕЕ И БУДУЩЕЕ В РАЗВИТИИ
МЕТОДА ТКАНЕВОЙ ИНЖЕНЕРИИ
В РАЗЛИЧНЫХ ОБЛАСТЯХ
РЕГЕНЕРАТИВНОЙ МЕДИЦИНЫ
В данном подразделе мы хотели бы рассмот-
реть настоящее и будущее в развитии метода тка-
невой инженерии в различных областях регене-
ративной медицины. Во введении мы отмечали,
что метод tissue engineering - это один из наиболее
развивающихся методов, включающих различ-
ные подходы и приемы работы на самых разных
структурно-функциональных уровнях организа-
ции живой материи [1-21, 72]. Он используется в
тканевой инженерии кожи, сердца, сосудов, го-
ловного и спинного мозга. В настоящее время
трудно назвать хотя бы одну область регенератив-
ной медицины, где бы не использовали методы
тканевой инженерии. Кратко назовем лишь не-
которые области.
Метод тканевой инженерии в кардиологии [72-
82]. Кардиология - это один из наиболее обшир-
ных разделов медицины, занимающийся изуче-
нием сердечно-сосудистой системы человека.
Основными задачами кардиологии являются ис-
следования строения и развития сердца и сосу-
дов, их функций, а также заболеваний, включая
изучение причин их возникновения, механизмов
развития, клинических проявлений, вопросов
Рис. 7. Нервные волокна и рецепторные нейроны пере-
диагностики, а также разработку эффективных
саженного ганглия. (а) - Новообразованные нервные
методов их лечения и профилактики. Одним из
волокна в соединительной ткани, окружающей транс-
перспективных направлений в кардиологии яв-
плантированный узел. Срок наблюдения 4 месяца. Им-
ляется использование плюрипотентных стволо-
прегнация серебром по Рассказовой. (б) - Новообразо-
вых клеток для решения задач тканевой инжене-
ванные нервные волокна в сращении между трансплан-
рии в кардиологии.
тированным узлом и мышцей. Срок наблюдения
7 месяцев. Импрегнация серебром по Рассказовой.
Знания о биологии плюрипотентных стволо-
(в) - Рецепторная клетка Догеля II типа. Срок наблюде-
ния 7 месяцев. Импрегнация серебром по Рассказовой.
вых клеток продвинулись до такой степени, что
теперь ученые и медики могут генерировать боль-
шинство клеток человеческого тела в лаборато-
Метод тканевой инженерии в неврологии, невро-
рии. Кардиомиоциты, полученные из плюрипо-
патологии и психиатрии
[83-90]. Неврология
тентных стволовых клеток, могут быть использо-
представляет собой обширную группу медико-
ваны как при проведении операций, так и для
разработки новых лекарственных препаратов. В
биологических научных дисциплин, которая изу-
настоящее время плюрипотентные стволовые
чает нервную систему как в норме, так и в патоло-
клетки находятся в активной фазе клинических
гии. Согласно более развернутому определению
испытаний для лечения сердца [73-81].
неврология - это медико-биологическая наука,
БИОФИЗИКА том 67
№ 5
2022
ТКАНЕИНЖЕНЕРНЫЕ КОНСТРУКЦИИ В БИОФИЗИКЕ
1017
изучающая строение и функции нервной систе-
инграммы. Ученые продемонстрировали, что
мы в норме и патологии, закономерности ее фи-
микроглия регулирует забывание зависимым от
ло- и онтогенеза, и, разрабатывающая методы
комплемента и активности образом [84]. Это бы-
распознавания, лечения и предупреждения ее за-
ло доказано путем введения фактора ускорения
болеваний. Она включает анатомию, гистологию,
распада комплемента CD55. Комплементом на-
эмбриологию и сравнительную анатомию нерв-
зывается сложный комплекс белков, формирую-
ной системы. Невропатология занимается изуче-
щий каскадные системы, способные к быстрому,
нием причин заболеваний нервной системы
многократно усиленному ответу на действие пер-
(этиология) и механизмов развития болезней (па-
вичного сигнала или патогенного фактора. Мно-
тогенез). Основная функция психиатрии состоит
гократное усиление каскадных систем происхо-
в диагностике и лечении психических рас-
дит за счет того, что продукт одной реакции слу-
стройств. Она включает исследование различных
жит катализатором последующей реакции
нарушений адаптации, связанных с настроением,
(каскадный процесс). Кроме того, оказалось, что
поведением, познанием и восприятием. Оказа-
микроглия вовлечена как в процесс, связанный с
лось, что метод тканевой инженерии был успеш-
нейрогенезом, так и в процессы деградации па-
но адаптирован для решения ряда актуальных за-
мяти, не связанные с нейрогенезом [85-89]. Ли-
дач этого направления медико-биологических
тературные данные [85-89] позволяют считать,
наук. Рассмотрим лишь некоторые аспекты при-
что имеются основания, допускающие компле-
менения перспективного метода тканевой инже-
мент-зависимую элиминацию синапсов с участи-
нерии в неврологии, невропатологии и психиат-
ем микроглии. Не исключено, что этот механизм
рии.
можно рассматривать как один из механизмов,
участвующих в процессах забывания отдаленных
В последние десятилетия активно развиваются
воспоминаний
[85-89]. Нарушение функции
представления об «инграммах» и «инграммных
микроглии может вызывать синаптическую дис-
клетках», как субстратах для хранения памяти
функцию и избыточную потерю синапсов на ран-
[83-86]. Авторы ряда работ исследуют и анализи-
них стадиях заболевания, вызывая ряд последую-
руют новую роль микроглии в синаптической
щих патологий. Авторы работы [90] пришли к вы-
пластичности, познании и заболеваниях. Раз-
воду, что будущее исследований механизмов
ветвленная микроглия, традиционно считавшая-
обучения и памяти будет включать использова-
ся функционально покоящейся в нормальном
ние сложных молекулярных, клеточных, физио-
мозге, на самом деле очень динамична и пластич-
логических и поведенческих подходов, которые
на. Ослабление или потеря синапсов приводит к
забыванию связанных воспоминаний [86]. Новые
позволят установить причинно-следственную
связь между нейронами, микроглией, памятью и
методы тканевой инженерии в неврологии и пси-
другими функциями мозга. Результаты этих ис-
хиатрии способны проникнуть в «банк данных
памяти и воспоминаний» человека
[84-86].
следований могут быть использованы для лече-
Согласно современным представлениям инграм-
ния заболеваний, включая болезни Альцгеймера
ма - это полная, вплоть до мельчайших подроб-
и Паркинсона, а также другие нервно-психиче-
ностей, запись каждого ощущения, имевшегося в
ские расстройства. Болезнь Альцгеймера (извест-
момент полной или частичной бессознательно-
на также как сенильная деменция альцгеймеров-
сти, вызывающая в дальнейшем отключение от
ского типа) - это нейродегенеративное заболева-
рационального мышления или поведения (абер-
ние, впервые описанное в 1907 г. немецким
рацию) у человека. Инграммы составляют основу
психиатром А. Альцгеймером (1864-1915). Как
многих психосоматических и психических забо-
правило, эта болезнь обнаруживается у людей
леваний человека [85, 86]. Считается, что в подсо-
старше 65 лет. Однако существуют и ранние фор-
знании человека может одновременно находить-
мы болезни Альцгеймера. Общемировая заболе-
ся множество инграмм. Они могут активировать-
ваемость на начало и первое десятилетие XXI века
ся («всплывать») под влиянием ассоциативных
(2006 г.) оценивалась в 26.6 млн человек. Болезнь
образов или обстоятельств и вызывать болезнен-
Альцгеймера активно прогрессирует. Ученые и
ное состояние организма. Считается также, что
врачи предполагают, что к 2050 г. число больных
синапсы между «инграммными клетками» явля-
может вырасти до 100 млн человек. Болезнь Альц-
ются субстратами для хранения памяти, а ослаб-
геймера характеризуется синаптической дис-
ление или потеря этих синапсов приводит к за-
функцией, сопровождающейся микроскопиче-
быванию связанных воспоминаний [84-86]. Ис-
ски видимым накоплением внеклеточных пато-
следователи обнаружили, что поглощение
логических белковых отложений (β-амилоидных
синаптических компонентов микроглией в гип-
и тау-белковых отложений) и клеточной дистро-
покампе здоровых взрослых мышей приводит к
фией с вовлечением, как нейронов, так и глии
деградации памяти. Истощение микроглии или
[90]. На поздних стадиях болезни Альцгеймера
ингибирование микроглиального фагоцитоза
наблюдается выраженная потеря синапсов и ней-
предотвращало забывание и диссоциацию клеток
ронов в нескольких по-разному пораженных об-
БИОФИЗИКА том 67
№ 5
2022
1018
РЕУТОВ и др.
ластях мозга. Недавние исследования прогресси-
наблюдается развитие деструктивных изменений
рующей болезни Альцгеймера с использованием
в перемещенном ганглии, приводящих к сосуди-
посмертных образцов мозга продемонстрировали
стым осложнениям, повышающих риск леталь-
прямое участие микроглии в синаптических из-
ности. Причины этого явления до сих пор до кон-
менениях. Варианты гена аполипопротеина Е и
ца неизвестны, механизмы не ясны, и, практиче-
триггерных рецепторов, экспрессируемых на ми-
ски никто не знает, как можно предотвратить
елоидных клетках, определяют активность мик-
риск летального исхода после операций, связан-
роглии, а также метаболизма липидов в клетках
ных с трансплантацией вегетативных ганглиев с
ЦНС. Авторы рассматривают данные, которые
целью создания новых центров местной нервно-
могут помочь объяснить аномальный метаболизм
гуморальной регуляции пораженных внутренних
липидов, активацию микроглии и патофизиоло-
органов. В этой работе мы хотели бы обсудить ме-
гию синапсов, которые взаимосвязаны при бо-
ханизмы, которые способны защитить нервные
лезни Альцгеймера [90].
клетки и предотвратить развитие в них деструк-
тивных изменений.
Метод тканевой инженерии кровеносных сосу-
дов [91-93]. Сосудистый анастомоз - это соеди-
Эти механизмы исследовались и развивались
нение между двумя кровеносными сосудами, на-
независимо от белорусских коллег в совершенно
пример между артериями (артерио-артериальный
другом медико-биологическом контексте. Еще в
анастомоз), между венами (венозно-венозный
70-х годах XX века один из авторов этой работы
анастомоз) или между артерией и веной (артерио-
обратил внимание на циклические процессы с
венозный анастомоз). Французский сосудистый
участием активных форм азота и кислорода. Цик-
хирург А. Каррель (1873-1944) считается изобре-
лические изменения концентрации NO и O2 в
тателем сосудистых анастомозов методом ориги-
различных клетках тканей и в целом организме
нального сосудистого шва
«конец в конец»
давали основания предполагать, что эти актив-
(1905-1906). После этого изобретения восстанов-
-
ление и замена кровеносных сосудов стали клю-
ные соединения управляются циклами NO и O2
чом к лечению острых травм, а также хроническо-
и являются существенной частью регуляторных
го атеросклеротического заболевания. Известно,
механизмов клеток тканей живых организмов, за-
что артерии выполняют различные механические
щищающих клетки и организм в целом от разви-
и биологические функции, такие как проведение
тия оксидативного и нитрозативного стресса [94,
крови к тканям, взаимодействие с системой свер-
95]. Анализ данных литературы и результатов соб-
тывания крови и модулирование сопротивления
ственных исследований привели к формулировке
кровотоку. В ранних исследованиях по замене ар-
и обоснованию концепций цикла оксида азота и
терий использовались искусственные материалы.
супероксидного анион-радикала [96-108]. Резуль-
В последние десятилетия применяются полимер-
таты этих исследований, их обобщения были до-
ные ткани. Благодаря достижениям в инженерии
ложены в Стокгольме в Каролинском институте и
соединительных тканей, в том числе артерий, ре-
включены в работу, опубликованную в Nature
генеративная медицина достигла такого высоко-
Chemical Biology [109].
го уровня развития, что эти методы стали основой
Важную роль в обосновании концепции цик-
хирургического лечения сосудистых заболеваний
лов оксида азота и супероксидного анион-радикала
человека [91-93].
сыграли обнаруженные многочисленные нитри-
тредуктазные реакции с участием гемсодержащих
ПЕРСПЕКТИВЫ
белков - гемоглобина, миоглобина, цитохромок-
сидазы (cyt a + a3) и цитохрома P-450, которые в
Основная цель работы состояла не только в
условиях гипоксии/ишемии способны восста-
том, чтобы проанализировать перспективные ме-
тоды тканевой инженерии, которая в настоящее
навливать ионы NO2- в NO. Вместе с NO-синтаз-
время использует все современные методы физи-
ными реакциями они дополнили цепочку нитри-
ки и биофизики, неврологии и биологии, вклю-
тредуктазных реакций и привели к обоснованию
чая методы физиологии и медицины, описанные
концепции цикла оксида азота и супероксидного
зарубежными учеными. Особое внимание в этом
анион-радикала [96, 101-103]. В последние деся-
обзоре мы уделили исследованиям белорусских
тилетия ученые разных стран мира обнаружили
ученых, которые, опираясь на достижения рос-
множественные формы гемоглобинов, как в
сийских ученых, создали новое направление в хи-
клетках тканей млекопитающих, так и в клетках
рургии, трансплантологии/ трансплантации ор-
других организмов, прошедших стадии адапта-
ганов, неврологии и в других областях медицины.
ции к появлению кислорода в процессе эволюции
Однако при создании нового центра местной
жизни на нашей планете. Одним из таких глоби-
нейрогуморальной регуляции (метод ганглиопек-
нов является цитоглобин (нейроглобин) цен-
сии, основанный на образовании новых нервных
тральной и периферической нервной системы с
и сосудистых связей) нередко (в 5-30% случаев)
молекулярной массой 17 кДа, содержащий около
БИОФИЗИКА том 67
№ 5
2022
ТКАНЕИНЖЕНЕРНЫЕ КОНСТРУКЦИИ В БИОФИЗИКЕ
1019
Рис. 8. Циклы оксида азота (а) и супероксидного анион-радикала (б).
150 аминокислотных остатков, последователь-
леза включено в состав гемоглобина эритроци-
ность которых приблизительно на 20% совпадает
тов. Гемоглобин составляет примерно 98% массы
с таковой гемоглобина и миоглобина [110, 111].
всех белков эритроцита. За счет своей структуры
Он также присутствует в сетчатке, эндокринных
гемоглобин участвует в переносе O2 и в связыва-
тканях и в спинномозговой жидкости. Этот белок
нии NO. Кроме того, гемоглобин переносит CO2
получил второе название - нейроглобин. Впер-
от тканей к легким. Остальные 25-30% железа
вые нейроглобин был обнаружен в Германии в
хранятся в виде миоглобина, цитохромов, в том
2000 г., а результаты исследования были опубли-
числе цитохрома с, цитохромоксидазы (cyt a + a3),
кованы в журнале Nature [112]. В указанных рабо-
цитохрома P-450, нейроглобинов, гуанилатцик-
тах высказывается идея о защитной функции гем-
содержащих белков от оксидативного и нитроза-
лазы, каталазы, пероксидазы. Кроме того, Fe2+
тивного стресса (в результате связывания
входит в состав белков, не содержащих гемогруп-
избытка NO и O2-). Эти идеи мы высказывали
пы - железосерных белков и флавопротеинов,
содержащих железо. В связи с этим в настоящее
еще в 1970-1990 гг., анализируя нитритредуктаз-
время идеи о том, что одна из основных функций
ную активность гемсодержащих белков и роль
циклов оксида азота и супероксидного анион-ра-
всех Fe2+-содержащих белков и низкомолекуляр-
дикала в защите клеток от повреждающего воз-
ных соединений состоит не только в переносе
действия активных форм азота и кислорода
кислорода на большие расстояния, но и в связы-
(рис. 8). Почему эти циклы оказались столь важ-
вании и нейтрализации NO и O2, становятся все
ными для защиты клеток живых организмов от
более популярными [111-117]. Без этой функции
повреждений?
гемсодержащих белков жизнь в условиях наличия
Общее содержание железа (Fe2+) в организме
кислорода в атмосфере не могла бы развиваться, а
составляет примерно 3-4 г. Около 70% всего же- живые организмы не смогли бы адаптироваться к
БИОФИЗИКА том 67
№ 5
2022
1020
РЕУТОВ и др.
относительно новым условиям существования,
ферментативной) не допускают прямого взаимо-
возникших после появления кислорода на нашей
действия NO и O2- и образования диоксида азота
планете. Недаром классики биологии в своих
(NO2) и OH-радикалов, способных разрушать
обобщениях приходили к выводу, что «история
практически все компоненты клеток и субклеточ-
кислорода
- это история жизни на Земле»
ных структур. Именно эти циклы, в первую оче-
(Л. Траубе). Выдающийся отечественный биофи-
редь, обеспечивают нормальное протекание
зик Н.В. Тимофеев-Ресовский неоднократно го-
энергетических процессов, сопряженных с про-
ворил в своих выступлениях: «любое биологиче-
цессами дыхания; 3) нарушение указанных выше
ское исследование оказывается оправданным
циклов оксида азота и супероксидного анион-ра-
лишь в том случае, если оно имеет более близкий
дикала ведет к переходу от нормы к развитию раз-
или далекий, но обязательно эволюционный вы-
личных патологических процессов. Патологиче-
ход». Он был солидарен с обобщающими вывода-
ский процесс, развивающийся при пандемии
ми физиолога академика Л.А. Орбели:
«мы
COVID-19, не стал исключением [162-164]. Он
должны стремиться к тому, чтобы каждую функ-
оказался зависимым от оксидативного и нитроза-
цию …рассмотреть с точки зрения истории ее
тивного стресса, а вещества ивер(о)мектин (по-
формирования. Это есть вопрос об изучении эво-
лициклическое
соединение,
содержащее
люции функций. В одном случае мы просто про-
OH-группы), и ловушка NO - диэтилдитиокар-
слеживаем исторический путь развития тех или
бомат - оказались способными снизить смерт-
иных функциональных отношений, а во втором
ность от COVID-19 в сотни раз [162-164].
случае мы подходим к пониманию того, в чем за-
ключается эволюционный процесс, почему
Циклы оксида азота и супероксидного анион-
именно так протекал эволюционный процесс на
радикала (рис.
8), выполняющие защитную
основе тех функциональных превращений, кото-
функцию клеток и организма в целом, составили
рые возникали в живых организмах». На протя-
ядро концепции типового патологического про-
жении более 40 лет мы стремились установить
цесса и обобщающей концепции развития пато-
преемственную связь развиваемых нами концеп-
логических процессов [97-107]. Наши идеи о
ций с идеями классиков науки - Р. Вирхова,
нитритредуктазных реакциях гемсодержащих
А. Пуанкаре, Л.А. Орбели, А.Д. Сперанского.
белков, о которых мы писали еще в 70-80-х годах
Продолжая исследования и обобщение новых дан-
XX века [94], были поддержаны учеными США и
ных, полученных с коллективами современных
Европы [109, 113-116]. Что же предшествовало
ученых (Л.М. Чайлахяном, Н.В. Самосудовой,
развитию указанных выше концепций цикла ок-
Н.П. Ларионовой)
[118-131], Н.С. Косицыным
сида азота и супероксидного анион-радикала
[132], Л.М. Рошалем
[133-135,
141,
142],
(рис. 8)?
В.Г. Пинелисом [136-142], Б.И. Ходоровым [139],
В цикле оксида азота можно выделить NO-
В.М. Чертоком [144-146], В.Н. Гуриным [147] и
синтазную компоненту (L-аргинин → NO), осу-
В.Н. Швалевым [104, 145, 149-154], мы стреми-
ществляющую синтез NO в присутствии кисло-
лись связать их в единую логическую систему.
рода, и нитритредуктазную компоненту, актив-
Формулируя новые обобщения, мы видели, что
ность которой резко возрастает в отсутствие кис-
они легко встраиваются в существующую систему
лорода (гипоксия/ишемия). Ионы NO2-,
знаний, и дополняют идеи нервизма, развивае-
мые на протяжении последних 250 лет [155]. Это
образующиеся из L-аргинина, могут вновь при
позволило нам выйти на теорию типового пато-
участии нитритредуктазных систем, включаю-
логического процесса, активно развиваемую в по-
щих в себя гемоглобин, миоглобин и цитохромы
следние десятилетия [106]. Оказалось, что кон-
(cyt a + a3, cyt P-450), замыкать в цикл цепочку
цепции циклов оксида азота и супероксидного
(L-аргинин → NO → NO2-/NO3-). Кислород,
анион-радикала [95-106], принципы цикличности
связываясь с гемом, ингибирует нитритредуктаз-
и голографический принцип [101-103, 105], над ко-
ную активность этих белков. При гипоксии и
торыми мы работали на протяжении последних
функциональной нагрузке, когда гемсодержащие
десятилетий, хорошо дополняют теорию типово-
го патологического процесса [106, 156-161].
белки переходят в дезокси-форму, ионы NO2- на-
чинают активно восстанавливаться, акцептируя
Самым существенным моментом для совре-
электроны с этих гемсодержащих белков. В цикле
менной биологии и медицины мы считаем следу-
супероксидного анион-радикала происходят: 1) -
ющие выводы: 1) патология начинается с наруше-
восстановление О2 и образование супероксидно-
ния нормальных регуляторных циклов, которые
го анион-радикала; 2) и 3) - реакции дисмутации
поддерживают основные биохимические и фи-
супероксида, катализируемые супероксиддисму-
зиологические показатели в пределах нормы;
тазой;
4)
- разложение пероксида водорода
2) циклы оксида азота и супероксидного анион-ра-
(H2O2) на воду (H2O) и молекулярный кислород
дикала с их гемсодержащими белками и системами
антиоксидантной защиты (ферментативной и не-
(O2), осуществляемое ферментом каталазой; пе-
БИОФИЗИКА том 67
№ 5
2022
ТКАНЕИНЖЕНЕРНЫЕ КОНСТРУКЦИИ В БИОФИЗИКЕ
1021
роксид водорода (H2O2) также разлагается с обра-
ся выключенными, а NO и O2 начинают активно
зованием двух молекул ОH-радикала. Цикличе-
продуцировать NO2, OH-радикалы и анионы
ская регуляция активных форм азота и кислорода
пероксинитритов, которые после протонирова-
обеспечивает превращение этих активных, высо-
ния вновь превращаются в NO2 и ОН-радика-
кореакционных соединений в менее активные ве-
щества. При нарушении циклов оксида азота и
лы. Эти соединения могут участвовать в цепных
супероксидного анион-радикала появляются еще
свободно радикальных процессах и способны по-
более активные молекулы диоксида азота (NO2) и
вреждать практически все компоненты клеток.
Именно поэтому все патологические процессы,
пероксинитритов, вновь распадающихся на NO2
развивающиеся при гипоксии/ишемии, воспали-
и ОH-радикалы, которые повреждают основные
тельных процессах и развитии иммунных и ауто-
компоненты живых организмов.
иммунных заболеваний, связанные с образовани-
Анализ данных литературы о химических ре-
ем NO, O2, NO2 и ОН-радикалов, оказались за-
акциях взаимодействия NO с О2 и O2- позволил
висимыми от циклов оксида азота и
нам сделать следующие выводы.
супероксидного анион-радикала. Эта способ-
ность указанных циклов, содержащих систему
1. Скорость реакции убывания NO при взаи-
гемсодержащих белков и антиоксидантных си-
модействии с О2 относительно невелика и соот-
стем (ферментативных и неферментативных),
ветствует скорости реакции первого порядка (k =
обусловлена связыванием или переводом NO, O2
0.124 л·моль-1·с-1) [165].
в менее активное состояние.
2. С гемсодержащими белками NO может вза-
имодействовать, образуя нитрозильный ком-
Эти идеи, высказанные химику (по образова-
нию), вице-президенту АН СССР, академику АН
плекс с Fe2+ в активном центре. Константа ско-
СССР Ю.А. Овчинникову, и идеи о защитной ро-
рости взаимодействия, как правило, варьирует в
ли циклов оксида азота и супероксидного анион-
пределах 103-107 л·моль-1·с-1 в зависимости от
радикала (в самой простейшей форме) были под-
состояния железа (Fe2+ или Fe3+) и окружения
держаны для дальнейшего их воплощения в ре-
гема [166].
шение практических задач здравоохранения. Де-
ло в том, что на протяжении 18 лет в СССР (1962-
3. Одновременное повышение содержания ак-
1980 гг.) отмечалось снижение средней продолже-
тивных форм азота (NO и продуктов его превра-
ния жизни. Причины этого явления были неиз-
щения) и кислорода (O2-) приводит к тому, что
вестны. Поэтому на первом этапе преодолеть
они начинают взаимодействовать друг с другом в
снижение средней продолжительности жизни в
общих местах их образования со скоростью в
СССР стремились именно за счет увеличения ко-
100000 раз выше, чем с известными природными
личества врачей, больниц и поликлиник. За
антиоксидантами, входящими в состав живых ор-
69 лет в СССР (1922-1991 гг.) количество докто-
ганизмов. Скорость реакции NO с O2- настолько
ров в стране выросло более чем в 60 раз, с 10.9 тыс.
высокая, что она ограничена только скоростью
в 1921 г. до 667.3 тыс. в 1990 г. Перед Великой Оте-
чественной войной на 10000 человек населения
диффузии молекул друг к другу. Константы ско-
-
приходилось 7.4 врача, перед развалом СССР -
ростей реакций для взаимодействия NO и O2
45. В 70-х годах XX века, после того, как число
(6.7
± 0.9)·109 л·моль-1·с-1, что в
105 (или в
врачей на территории СССР (1/6 часть суши) ста-
100000) раз выше, чем с известными природными
ло превышать все мыслимые пределы (около 20-
фенольными антиоксидантами.
25% мировых показателей) (табл. 1), а проблема
сокращения средней продолжительности жизни
Согласно последним данным константы ско-
в СССР продолжала усугубляться, потребовались
рости взаимодействия 19 фенольных природных
принципиально новые идеи, воплощение кото-
антиоксидантов в реакциях с супероксидным
рых было отмечено как одно из наиболее ярких
анион-радикалом оказались сопоставимыми.
достижений Института высшей нервной деятель-
Они находятся в интервале (6.8-11.0)·104 л·моль-
ности и нейрофизиологии АН СССР/РАН [170].
1·с-1, что можно связать с небольшим влиянием
Суть этого достижения состояла в том, что сни-
структурных особенностей, в частности, с числом
жение нитратно-нитритного фона, нитритредук-
и положением гидроксильных групп, а также сте-
тазной активности ферментативных систем мле-
рическими эффектами заместителей [167-169].
копитающих, а вместе с ними и концентраций
Поэтому при одновременном появлении доста-
NO и NO2 в организме населения в СССР, приве-
точного количества для непосредственного взаи-
ло к остановке катастрофического снижения
модействия NO и O2 практически все антиокси-
средней продолжительности жизни населения
дантные системы живых организмов оказывают-
СССР (рис. 9). В дальнейшем это положило нача-
БИОФИЗИКА том 67
№ 5
2022
1022
РЕУТОВ и др.
Таблица 1. Количество врачей в СССР и других странах (обобщающий анализ по данным, представленным на
сайтах Интернета)
Численность врачей всех специальностей
Годы
На 10000 человек
Всего, тыс. человек
населения
СССР
577.7
24.6
РСФСР
328.3
25.8
Украинская ССР
114.0
24.8
Белорусская ССР
19.8
22.6
Узбекская ССР
19.5
17.9
Казахская ССР
23.4
18.9
Грузинская ССР
16.4
35.5.
Азербайджанская ССР
11.6
24.1
1966
Литовская ССР
7.0
23.1
Молдавская ССР
6.3
18.5
Латвийская ССР
7.5
32.6
Киргизская ССР
5.3
19.4
Таджикская ССР
4.1
15.4
Армянская ССР
6.3
28.1
Туркменская ССР
4.2
21.4
Эстонская ССР
4.0
30.7
Англия
1963
(79.1)
(14.7)
Индия
1961
83.3
1.9
Иран
1964
8.4
3.7
Италия
1961
81.2
16.3
Пакистан
1960
8.7
0.9
США
1964
360.3
18.6
Турция
1963
10.1
3.3
Федеративная Республика Германии
1965
110.4
19.3
Франция
1964
75.2
15.4
Япония
1964
139.6
14.3
лу роста данного показателя в период 1980-
высить урожайность сельскохозяйственных куль-
1990 гг. на 3-5 лет в разных регионах страны
тур - кормовой базы для мелкого, крупного рога-
(рис. 9). После решения этой проблемы стало
того скота и птиц - с целью догнать и обогнать
ясно, что решение Н.С. Хрущева в мае 1957 г. по-
США по производству мяса, масла и молока с по-
БИОФИЗИКА том 67
№ 5
2022
ТКАНЕИНЖЕНЕРНЫЕ КОНСТРУКЦИИ В БИОФИЗИКЕ
1023
Рис. 9. Продолжительность жизни в СССР/России, США, Франции, Швеции и Японии (1946-2002 гг.). Источник: Human
Mortality Database, http://c.avsim.su/i?u=http://www.demoscope.ru/weekly/2004/0169/img/t_graf01_1.gif.
мощью химизации сельского хозяйства (азотных
численности населения, а выполнение этого про-
удобрений), стало основной причиной снижения
екта оказалось самым дешевым проектом за все
средней продолжительности жизни в СССР. Эта
годы существования АН СССР/РАН (оплата сти-
причина в виде повышенного химического фона
пендии одному аспиранту - В.П. Реутову).
нитратов и нитритов в воде и пищевых продуктах,
а также окислов азота в воздухе воздействовала на
Указанные выше механизмы не потеряли сво-
здоровье, продолжительность жизни и демогра-
ей актуальности в настоящее время применитель-
фические показатели на протяжении по крайней
но практически ко всем патологическим процес-
мере 18 лет (с латентным периодом в 5 лет). После
сам, которые развиваются на фоне гипоксии/
выяснения причины снижения средней продол-
ишемии, воспалительных процессов, активации
жительности жизни в СССР (1983) о нитратах и
иммунных и аутоиммунных процессов [98, 99,
нитритах узнали практически все жители страны.
104, 109, 132-143, 149-154, 171-178]. Эти же меха-
Начиная с 1985 г. эту проблему стали активно ре-
низмы развиваются при решении задач тканеин-
шать в НИИ канцерогенеза АМН СССР/РАМН,
женерных конструкций, связанных с созданием
Онкологическом научном центре АМН
нового центра местной нейрогуморальной регу-
СССР/РАМН (ныне НМИЦ Онкологии им. Н.Н.
ляции, основанного на образовании новых нерв-
Блохина Минздрава России), а спустя 6 лет
ных и сосудистых связей [59]. Поэтому у нас есть
(1989-1992 гг.) - в Институте питания АМН
все реальные основания для того, чтобы показать,
СССР/РАН и других институтах РАН и РАМН.
что те 5-30% случаев при решении указанных вы-
ше задач тканеинженерных конструкций, когда
В конечном итоге высказанные идеи и обнару-
наблюдается развитие деструктивных изменений
женные одним из соавторов статьи механизмы
в перемещенном ганглии, приводящих к сосуди-
способствовали тому, что в тяжелые годы пере-
стым осложнениям и повышению летальности
стройки, низких цен на нефть, пустых прилавков
обусловлены общими обсуждаемыми нами меха-
в магазинах СССР, численность населения за
низмами. Хотя, как указывалось выше, до сих пор
10 лет (1980-1990) выросла на 24.1 млн человек(с
264.5 млн человек в 1980 г. до 288.6 млн человек в
причины этого явления не были известны, меха-
низмы не ясны, и практически никто не знал, как
1990 г). К началу 1991 г. численность населения
(по текущей оценке) возросла до 289.2 млн чело-
можно предотвратить риск летального исхода по-
век. Независимо от того, в каком бы качестве на-
сле операций, связанных с трансплантацией веге-
шу страну или наши страны не рассматривать -
тативных ганглиев с целью создания новых
СССР, одну или две страны из содружества стран
центров местной нервно-гуморальной регуляции
СНГ (Беларусь или Россию) - за последние 100
пораженных внутренних органов. Мы предпола-
лет (1922-2022) это был самый высокий прирост
гаем, что в результате объединения усилий бело-
БИОФИЗИКА том 67
№ 5
2022
1024
РЕУТОВ и др.
Рис. 10. Отчет по Отделению физиологии АН СССР (1963-1983 гг.) акад. АН СССР П.Г. Костюка, Э.Н. Светайло и
К.А. Ланге [170].
русских ученых и авторов этой статьи удастся ре-
собных изменить медико-биологические пер-
шить указанную выше актуальную задачу.
спективы науки в своей стране. О некоторых уче-
ных, оказывавших поддержку практически всем
В завершение нашего обзора хотелось бы от-
нашим исследованиям, мы написали в статьях и
метить тот незаметный, но существенный вклад
книгах [148, 171-180].
ученых, возглавлявших АН СССР/РАН, которые
смогли предвидеть долговременные последствия
некоторых открытий. Еще раз подчеркнем, что
ЗАКЛЮЧЕНИЕ
достижение Института высшей нервной деятель-
Отдавая должное перспективным методам
ности и нейрофизиологии АН СССР было под-
тканевой инженерии, развиваемым и описанным
держано вице-президентом АН СССР академи-
зарубежными учеными, особое внимание в этом
ком АН СССР Ю.А. Овчинниковым, а другим
обзоре мы уделили исследованиям белорусских
ученым
- академиком-секретарем Отделения
ученых, которые, опираясь на достижения рос-
физиологии АН СССР академиком АН СССР
сийских ученых, создали новое направление в
П.Г. Костюком - это достижение было отнесено
биофизике, неврологии и медицине. Именно они
к научным достижениям, имеющим наибольшее
стояли у истоков развития этого метода - метода
практическое значение для физиологии, медици-
создания нового центра местной нейрогумораль-
ны и народного хозяйства (рис. 10) [170]. Несо-
ной регуляции, основанного на образовании но-
мненно, что без поддержки директора ИВНД и
вых нервных и сосудистых связей.
НФ АН СССР/РАН академика РАН
П.В. Симонова эта работа также не могла бы раз-
Анализируя литературные данные и результа-
виваться и выполняться в те годы, когда о роли
ты собственных исследований, мы пришли к важ-
NO в реализации проблем памяти и обучения ни-
ному выводу. Он состоит в том, что при многих
кто еще не думал и не обсуждал ее в контексте
патологических процессах, протекающих на
нейрофизиологии не только в нашей стране, но и
фоне гипоксии/ишемии, воспалительных про-
в мире. Эти ученые заботились о результатах, спо-
цессов и активации иммунных/аутоиммунных
БИОФИЗИКА том 67
№ 5
2022
ТКАНЕИНЖЕНЕРНЫЕ КОНСТРУКЦИИ В БИОФИЗИКЕ
1025
процессов наблюдается химический или свобод-
занное выше единство обусловлено тем
норадикальный резонанс. В ходе этого свободно-
обстоятельством, что кроме атомарного принципа
радикального резонанса в течение короткого вре-
существования материи, который безоговорочно
принимается всеми учеными, действуют еще
мени повышенные концентрации NO и O2- вза-
принцип цикличности и голографический принцип
имодействуют друг с другом с очень высокими
[100-103]. Осознание этих принципов в XXI веке
скоростями и завершаются образованием вы-
позволит понять, почему «все процессы осу-
сокотоксичных и высокореакционных соедине-
ществляются циклически, и, каждый процесс
ний - NO2, OH-радикалов, пероксинитритов,
имеет свою цикличность» (Л.А. Орбели)? Почему
которые вновь превращаются в NO, NO2 и OH-
любая патология - это, прежде всего, дизрегуля-
радикалы, замыкая, тем самым, патогенетиче-
торная патология (Г.Н. Крыжановский)? Почему
ский цикл. Это такие реакции, которые способны
«не жизнь в ненормальных, условиях, не наруше-
к цепным свободнорадикальным процессам, разру-
ние как таковое вызывает болезнь, напротив, бо-
шающим практически все компоненты клеток и
лезнь начинается с недостаточности регулятор-
субклеточных структур. Однако если снизить
ного аппарата (Р. Вирхов). Почему о физиологии
концентрацию NO или O2- при помощи ингиби-
и патологии целого организма можно судить по
торов NO-синтаз, ловушек NO (например, ди-
целостности/интактности циклов оксида азота и
супероксидного анион-радикала? И, наконец,
этилдитиокарбамата - дисульфирама) и/или ин-
почему клеточная патология или патология клет-
гибиторов свободно радикальных процессов с
ки (по Р. Вирхову), в конечном счете, зависит от
участием NO или O2-, то можно влиять практи-
наличия или отсутствия оксидативного и нитро-
чески на все патологические процессы, протека-
зативного стресса? Этот свободно радикальный
ющие на фоне гипоксии/ишемии, воспалитель-
стресс зависит от нормальной работы указанных
ных процессов и активации иммунных/аутоим-
выше регуляторных циклов оксида азота и су-
мунных процессов. У нас есть все основания
пероксидного анион-радикала с их многочислен-
предполагать, что эти же процессы и механизмы
ными гемсодержащими белками, способными
развиваются при решении как задач, связанных с
связывать или нейтрализовать активные формы
геморрагическим, ишемическим инсультами
азота и кислорода. Благодаря этим реакциям в
[181-187], а также задач тканеинженерных кон-
условиях нормального функционирования цик-
струкций, которые включают создание нового
лов оксида азота и супероксидного анион-ради-
центра местной нейрогуморальной регуляции,
кала NO и O2- не могут взаимодействовать меж-
основанного на образовании новых нервных и
сосудистых связей [41-57]. Поэтому мы полага-
ду собой, минуя гемсодержащие белки указанных
выше циклов, которые, тем самым, не допускают
ем, что, используя ингибиторы NO-синтаз, ло-
образования высокореакционных молекул NO2 и
вушки NO (типа диэтилдитиокарбамата) и/или
ингибиторы свободно радикальных процессов с
OH-радикалов, способных разрушать практиче-
ски все компоненты клеток и субклеточных
участием NO или O2- можно снизить количество
структур. Учитывая константы скоростей реак-
летальных исходов в тех 5-30 % случаев, когда на-
ции взаимодействия NO и O2- между собой
блюдается развитие деструктивных изменений в
перемещенном ганглии.
((6.7 ± 0.9)·109 л·моль-1·с-1), с гемсодержащими
В завершение статьи мы хотели бы обратить
белками (103-107 л·моль-1·с-1) и этих же соеди-
внимание на механизмы, которые действуют с ре-
нений с фенольными антиоксидантами (6.8-
ализацией принципов голографии и цикличности
11.0)·104 л·моль-1·с-1) становится очевидной бо-
практически на всех структурно-функциональ-
лее важная роль гемсодержащих белков, входя-
ных уровнях живых систем. Именно это обстоя-
щих в циклы оксида азота и супероксидного ани-
тельство создает условия для существования
он-радикала, по сравнению с антиоксидантными
своеобразного общего знаменателя практически
системами.
для всех патологических процессов при наруше-
нии регуляторных циклических механизмов. Из-
О цикличности естествоиспытатели говорят
вестно, что всякое обобщение до известной сте-
приблизительно столько же, сколько и об атомах.
пени предполагает веру в единство и простоту
Впервые понятие атом было сформулировано в
природы (А. Пуанкаре). Что касается единства, то
V-IV веках до нашей эры древнегреческим уче-
ученые, как правило, не встречают каких-либо
ным Демокритом. Понятие голографии, принци-
затруднений. Вопрос заключается в том, каким
па голографии возникло значительно позже - в
образом природа является единой (А. Пуанкаре).
середине XX века, поскольку первая голограмма
На протяжении более 45 лет мы стремились рас-
была получена в 1947 г. Осознание триединства
крыть это единство. Анализируя многочислен-
принципа цикличности, голографического принципа
ные данные литературы и результаты наших экс-
и атомарного принципа строения живой и неживой
периментов, мы неоднократно писали, что ука-
материи может позволить подойти к созданию
БИОФИЗИКА том 67
№ 5
2022
1026
РЕУТОВ и др.
новой парадигмы биологии и медицины XXI ве-
15. S. N. Jayasinghe, Biomed Mater., 3 (3), 030201 (2008).
ка, в которой обобщающая концепция развития па-
16. A. Atala, Curr. Urol. Rep., 2 (1), 83 (2001).
тологических процессов станет составной частью
17. S. V. Murphy and A. Atala, Nat. Biotechnol., 32 (8),
элементов построения теории медицины. Об этих
773 (2014).
элементах построения теории медицины писал
18. M. N. Patel and A. Atala, Sci. World J., 11, 2567 (2011).
19. Z. Wang, S. J. Lee, H. J. Cheng, et al., Acta Biomater.,
академик АН СССР А.Д. Сперанский [188, 189].
70, 48 (2018).
Он рассматривал нервно-дистрофический процесс
20. H. Budharaju, A. Subramanian, and S. Sethuraman,
как основной элемент построения теории меди-
Biomater. Sci., 9 (6), 1974. (2021).
цины, а его основной труд на эту тему, как уже
21. S. Heid and A. R. Boccaccini, Acta Biomater., 113, 1,
было сказано выше, восемь раз номинировался
(2020).
на Нобелевскую премию по физиологии и меди-
22. A. Chakraborty, A. Roy, S. P. Ravi, and A. Paul, Bio-
цине при поддержке академика АН СССР
mater. Sci., 9 (19), 6337. (2021).
И.П. Павлова [189]. Если учесть все эти обстоя-
23. X. Cui, J. Li, Y. Hartanto, et al., Adv. Health. Mater., 9
тельства, все вышесказанное может позволить
(15), e1901648. (2020).
по-новому осознать значение изложенных выше
24. S. Piluso, G. A. Skvortsov, M. Altunbek, et al., Biofab-
идей и представлений о переходе от нормы к па-
rication, 13 (4), (2021).
тологии, включая представления об активной и
25. S. Kyle, Z. M. Jessop, A. Al-Sabah, and I. S. Whitaker,
пассивной составляющих нейронального воз-
Adv. Healthc. Mater., 6 (16) (2017).
буждения и его глиального сопровождения [190].
26. Y. Zhao, Y. Li., S. Mao, et al., Biofabrication, 7 (4),
045002. (2015).
27. A. Malekpour and X. Chen, J. Funct. Biomater., 13 (2),
КОНФЛИКТ ИНТЕРЕСОВ
40 (2022).
28. S. Strauß, B. Schroth, and J. Hubbuch, Front. Bioeng.
Авторы заявляют об отсутствии конфликта
Biotechnol., 10, 831350 (2022).
интересов.
29. Y. Gu, A. Forget, and V. P. Shastri, Adv. Sci. (Weinh),
9 (3), e2103469 (2022).
СОБЛЮДЕНИЕ ЭТИЧЕСКИХ СТАНДАРТОВ
30. J. Lin, A. R. Sun, J. Li, et al., Front. Bioeng. Biotech-
nol., 9, 764212 (2021).
Настоящая статья не содержит каких-либо ис-
31. Z. T. Olmsted and J. L. Paluh, Nat. Commun., 12 (1),
следований с участием людей или животных в ка-
3020 (2021).
честве объектов исследований.
32. S. Münst, P. Koch, J. Kesavan, et al., Methods, 133, 65
(2018).
33. F. Serrano, W. G. Bernard, A. Granata, et al., Stem
СПИСОК ЛИТЕРАТУРЫ
Cells Dev., 28 (2), 81 (2019).
1. F. Berthiaume, T. J. Maguire, and M. L. Yarmush, An-
34. P. Hofbauer, S. M Jahnel, N. Papai, et al., Cell, 184
nu Rev Chem Biomol Eng., 2, 403 (2011).
(12), 3299 (2021).
2. G. Orlando, K. J. Wood, R. J. Stratta, et al., Transplan-
35. M. Zhu and M. Zernicka-Goetz, Cell, 183 (6), 1467.
tation, 91(12), 1310 (2011).
(2020).
3. N. J. Turner, T. J. Keane, and S. F. Badylak, Birth De-
36. K. Klimczewska, A. Kasperczuk, and A. Suwińska,
fects Res. C Embryo Today, 99 (3), 149 (2013).
Curr. Top Dev. Biol., 128, 105 (2018).
4. C. T. Laurencin and Y. Khan, Sci. Transl. Med., 4, 160
37. K. Muguruma, A. Nishiyama, H. Kawakami, et al.,
(2012).
Cell Rep., 10 (4), 537 (2015).
5. M. D. Kwan and M. T. Longaker, Transplantation, 86
38. K. Muguruma, Methods Mol. Biol., 1597, 31 (2017).
(2), 206 (2008).
39. G. A. Higuera, G. Iaffaldano, M. Bedar., et al., Sci.
6. R. Langer and J. Vacanti, J. Pediatr. Surg., 51 (1), 8
Rep., 7 (1), 8863 (2017).
(2016).
40. C. J. Alexander and J. A. Hammer, Cerebellum, 18 (3),
7. G. Banfi and M. M. Corsi, J. Biol. Regul. Homeost.
406 (2019).
Agents, 25 (Suppl. 2), S1 (2011).
41. D. M. Golub, Arkh. Anat. Gistol. Embriol., 45, 3
8. J. L. Gilbert, J. Biomed. Mater. Res. A, 96 (2), 273
(1963).
(2011).
42. D. M. Golub, F. B. Kheĭnman, I. I. Novikov, et al.,
9. J. F. Stoltz, J. Magdalou, P. Netter, and N. de Isla, Bio-
Arkh. Anat. Gistol. Embriol., 76 (3), 5 (1979).
med. Mater. Eng., 19 (4-5), 269 (2009).
43. D. M. Golub and G. M. Bronovitskaia, Arkh. Anat.
10. K.B. Hellman and R.M Nerem, Tissue Eng., 13 (12),
Gistol. Embriol., 80 (5), 47 (1981).
2823 (2007).
44. D. M. Golub, Anat. Gistol. Embriol., 57 (10), 3 (1969).
11. K. Jakab, C. Norotte, F. Marga, et al., Biofabrication,
45. D. M. Golub, R. M. Loyko, and I. I. Novikov, Anat.
2 (2), 022001 (2010).
Anz., 145 (5), 474 (1979).
12. K. E Andersson and G. J. Christ, Mol. Interv., 7 (2), 79
46. D. M. Golub, Folia Morphol. (Praha), 30 (2), 195
(2007).
(1982).
13. D. J. Williams and I. M. Sebastine, IEE Proc. Nano-
47. D. M. Golub, Arkh. Anat. Gistol. Embriol., 38, 85
biotechnol., 152(6), 207 (2005).
(1960).
14. D. M. Olszewska-Słonina and T. A. Drewa, Wiad Lek.,
48. D. M. Golub, L. A. Lentiuk, I. I. Novikov, et al., Arkh
59 (7-8), 585 (2006).
Anat Gistol Embriol., 83 (12), 36 (1982).
БИОФИЗИКА том 67
№ 5
2022
ТКАНЕИНЖЕНЕРНЫЕ КОНСТРУКЦИИ В БИОФИЗИКЕ
1027
49. D. M. Golub, Verh. Anat. Ges., 63, 317 (1969).
81. L. Gao, Z. R. Gregorich, W. Zhu, et al., Circulation,
50. D. M. Golub, and P. I. Lobko, Arkh. Anat. Gistol. Em-
137 (16), 1712 (2018).
briol., 63 (10), 5 (1972).
82. N. Rogozinski, A. Yanez, R. Bhoi, et al., Science, 25
51. D. M. Golub, Arkh. Anat. Gistol. Embriol., 44, 34
(5), 104330 (2022).
(1963).
83. J. H. Choi, S. E. Sim, J. I. Kim, et al., Science, 360
52. D. M. Golub, L. A. Leontiuk, V. A. Mokhort, et al.,
(6387), 430 (2018).
Vestn. Akad. Med. Nauk SSSR, 12, 19 (1987).
84. C. Wang, H. Yue, Z. Hu, et al., Science. 367 (6478),
53. D. M. Golub, Arkh. Anat. Gistol. Embriol., 40, 62
688 (2020).
(1961).
85. G. P. Morris, I. A. Clark, R. Zinn, and B. Vissel, Neu-
54. D. M. Golub, L. A. Davydova, I. I. Novikov, and
robiol. Learn. Mem., 105, 40 (2013).
F. B. Kheínman, Arkh. Anat. Gistol. Embriol., 64 (5),
86. J. Cornell, S. Salinas, H. Y. Huang, and M. Zhou,
5 (1973).
Neural. Regen. Res., 17 (4), 705 (2022).
55. D. M. Golub and R. V. Danilenko, Arkh. Anat. Gistol.
87. G. Piccioni, D. Mango, A. Saidi, et al., Int. J. Mol.
Embriol., 89 (9), 28 (1985).
Sci., 22 (5), 2342 (2021).
56. D. M. Golub, V. M. Dechko, and S. A. Kozey, Devel-
88. A. Mishra, R. Bandopadhyay, P. K. Singh, et al., Me-
opment of the cranial nerves: Atlas, Ed. by D. M. Golub
tab. Brain Dis., 36 (7), 1591 (2021).
(Minsk, 1977).
89. P. J. Paasila, J. A. Aramideh, G. T. Sutherland, and
57. Д. М. Голуб, Докл. АН БССР, 11 (5), 464 (1967).
M. B. Graeber, Front. Neurosci., 15, 778822 (2022).
58. В. П. Реутов, Евразийское научное объединение,
90. L. E. Niklason and J. H. Lawson, Science, 370 (6513),
№ 12 (82), 166 (2021).
8662 (2020).
59. Л. А. Давыдова и В. П. Реутов, Евразийское науч-
91. D. G. Seifu, A. Purnama, K. Mequanint, and D. Man-
ное объединение, № 3-2 (37), 82 (2018).
tovani, Nat. Rev. Cardiol., 10 (7), 410 (2013).
60. В. П. Реутов и Л. А. Давыдова, Евразийское науч-
92. M. X. Li, L. Li, S. Y. Zhou, et al., RSC Adv., 11 (50),
ное объединение, № 3-3 (49), 155 (2019).
31783 (2021).
61. Ia. I. Azhipa, G. A. Filiashina, V. P. Reutov, and
93. V. P. Reutov, Ia. I. Azhipa, and L. P. Kaiushin, Bull.
I. N. Emel’ianenko, Izv. Akad. Nauk. SSSR. Biol. Ser.,
Eksp. Biol. Med., 86 (9), 299 (1978).
6, 819 (1982).
94. V. P. Reutov, Ya. I. Azhipa, and L. P. Kayushin, Proc.
62. N. E. Savchenko and V. A. Mokhort, Urol. Nefrol.
Acad. Sci. USSR. Ser. Biol., No 3, 408 (1983).
(Moscow), 38 (5), 38 (1973).
95. В. П. Реутов, Успехи биол. химии, 35 189, (1995).
63. N. E. Savchenko, Urol. Nefrol. (Moscow), 3 (3), 7
96. V.P. Reutov and E. G. Sorokina, Biochemistry (Mos-
(1985).
cow), 63 (7), 874 (1998).
64. B. Haid and S. Tekgül, Eur. Urol. Focus., 2-3, 198
97. В.П. Pеутов, Е. Г. Cоpокина, В. Е. Оxотин и
(2017).
Н.C. Коcицын, Цикличеcкие пpевpащения окcида
65. S. Ramsay, É. Lapointe, and S. Bolduc, Expert Opin.
азота в оpганизме млекопитающиx (М., 1997).
Pharmacother., 6, 1 (2022).
98. Е. Б. Меньщикова, Н. К. Зенков и В. П. Pеутов,
66. G. Jang, Y. J. Im, J. Suh, and K. Park, Investig. Clin.
Биоxимия, 65 (4), 485 (2000).
Urol., 61 (2), 207 (2020).
99. Н. К. Зенков, Е. Б. Меньщикова и В. П. Pеутов,
67. M. Shim, W. J. Bang, C. Y. Oh, et al., Investig. Clin.
Веcтн. PАМН, № 4, 30 (2000).
Urol., 62 (3), 331 (2021).
100. В. П. Pеутов и Е. Г. Cоpокина, Биоxимия, 63 (7),
68. Д. М. Голуб и Ф. Б. Хейнман, Докл. АН БССР, 11
1029 (1998).
(10), 938 (1967).
101. В. П. Pеутов, Биоxимия, 64 (5), 634 (1999).
69. G. Marinesco, Rev. Neurol., 15, 241 (1907).
102. В. П. Pеутов, Веcтн. PАМН, № 4, 35 (2000).
70. V. Nageotte, Rev. Neurolog.. 17, 933 (1907).
103. В. П. Pеутов, Биоxимия, 67 (3), 353 (2002).
71. S. R. Cajal, Nature, 125, 230 (1930).
104. В. П. Pеутов, Е. Г. Cоpокина и В. Н. Швалев,
72. E. Karbassi, A. Fenix, S. Marchiano, et al., Nat. Rev.
Уcпеxи физиол. наук, 43 (4), 73 (2012).
Cardiol., 17(6), 341 (2020).
105. V. P. Reutov, E. G. Sorokina, and O. I. Sukmansky,
73. H. G. Song, R. T. Rumma, C. K. Ozaki, et al., Cell,
Curr. Res. Biopolymers, 2, 112. DOI: 10.29011/
22(3), 340. (2018).
CRBP-112.000012
74. C. Chen, Y. Xi, and Y. Weng, Materials (Basel), 15 (6),
106. V. P. Reutov, N. V. Samosudova, and E. G. Sorokina,
2164 (2022).
Biophysics, 64 (2), 233 (2019).
75. S. Han, J. Sun, S. He, et al., Am. J. Transl. Res., 11 (6),
107. V. P. Reutov, Ia. I. Azhipa, and L. P. Kayushin, Izv. AN
3246 (2019).
SSSR, Ser. Biol., No 3, 408 (1983).
76. E. Querdel, M. Reinsch, L. Castro, et al., Circulation,
108. В. П. Реутов и Е. Г. Сорокина, Молекуляр. биоло-
143 (20), 1991 (2021).
гия, 32 (2), 377 (1998).
77. C. von Bibra, A. Shibamiya, B. Geertz, et al., J. Mol.
109. J. O. Lundberg, M. T. Gladwin, A. Ahluwalia, et al.,
Cell Cardiol., 166, 1 (2022).
Nat. Chem. Biol., 5 (12), 865 (2009).
78. K. Andrysiak, J. Stępniewski, and J. Dulak, Pflugers
110. T. Burmester, B. Weich, S. Reinhardt, and T. Hankeln,
Arch., 473 (7), 1061 (2021).
Nature, 407 (6803), 520 (2000).
79. F. Zhang and K. B. Pasumarthi, BioDrugs, 22 (6), 361
111. T. Burmester and T. Hankeln, J. Exp. Biol., 212
(2008).
(Pt 10), 1423 (2009).
80. F. Weinberger, K. Breckwoldt, S. Pecha, et al., Sci.
112. L. Moens and S. Dewilde, Nature, 407 (6803), 461
Transl. Med., 8 (363), 363148 (2016).
(2000).
БИОФИЗИКА том 67
№ 5
2022
1028
РЕУТОВ и др.
113. K. Cosby, K. S. Partovi, et al., Nat. Med., 9 (12), 1498
141. Е. Г. Cоpокина, Ж. Б. Cеменова, В. В. Алатыpцев
(2003).
и др., Аллеpгология и иммунология, 10 (2), 280
114. M. T. Gladwin and D. B. Kim-Shapiro, Blood, 112
(2009).
(7), 2636 (2008).
142. Е. Г. Cоpокина, Ж. Б. Cеменова, Н. А. Базаpная
115. S. Shiva, Z. Huang, R. Grubina, et al., Circ. Res., 100
и др., Жуpн. невpологии и пcиxиатpии им.
(5), 654 (2007).
C.C. Коpcакова, 108 (3), 67 (2008).
116. J. H. Crawford, T. S. Isbell, Z. Huang, et al., Blood,
143. E. G. Sorokina, V. P. Reutov, Ya. E. Senilova, et al.,
107 (2), 566 (2006).
Bull. Experim. Biol. Med., 143 (4), 442 (2007).
117. T. Dalsgaard, U. Simonsen, and A. Fago, Am. J.
144. В. П. Реутов и В. М. Черток, Тихоокеанский мед.
Physiol. Heart Circ. Physiol., 292 (6), H3072 (2007).
журн., № 2, 10 (2016).
118. Н. В. Cамоcудова, В. П. Pеутов и Н. П. Лаpионова,
145. В. П. Реутов, В. М. Черток и В. Н. Швалев,
Цитология, 42 (1), 72 (2000).
Евразийское научное объединение, № 1 (18), 36
(2016).
119. Н. В. Cамоcудова, В. П. Pеутов, Н. П. Лаpионова и
Л. М. Чайлаxян, Докл. PАН, 378 (3), 417 (2001).
146. В. М. Черток, В.П. Реутов и В. Е. Охотин, Тихо-
120. Н. В. Cамоcудова, В. П. Pеутов, Н. П. Лаpионова и
океанский мед. журн., № 2, 7 (2012).
Л. М. Чайлаxян, Цитология, 47 (3), 214 (2005).
147. В. П. Реутов, В. Е. Охотин, А. В. Шуклин и др.,
Успехи физиол. наук, 38 (4), 39 (2007).
121. Н. В. Cамоcудова, В. П. Pеутов и Н. П. Лаpионова,
Моpфология, 129 (2), 84 (2006).
148. Л. В. Розенштраух и В. П. Реутов, Успехи физиол.
122. Н. В. Cамоcудова, В. П. Pеутов, Н. П. Лаpионова и
наук, 41 (4), 93 (2010).
Л. М. Чайлаxян, Моpфология, 131 (2), 53 (2007).
149. В. Н. Швалев, В. П. Реутов, А. Н. Рогоза и др., Ти-
123. Н. В. Cамоcудова, В. П. Pеутов и Н. П. Лаpионова,
хоокеанский мед. журн., № 1 (55), 10 (2014).
Бюл. экcпеpим. биологии и медицины 146 (7), 13
150. В. Н. Швалёв, А. Н. Рогоза, В. П. Реутов и др., Ка-
(2008).
занский мед. журн., 95 (2) 175 (2014).
124. Н. В. Cамоcудова, В. П. Pеутов и Н. П. Лаpионова,
151. В. Н. Швалев, В. П. Реутов, А. Н. Рогоза и др.,
Бюл. экcпеpим. биологии и медицины 150 (8), 212
Морфологич. ведомости, № 3, 6 (2012).
(2010).
152. В. Н. Швалев, В. П. Реутов, А. Н. Рогоза и др.,
125. Н. В. Cамоcудова, В. П. Pеутов и Н. П. Лаpионова,
Морфологич. ведомости, № 1, 6 (2014).
Моpфология, 140 (4), 13 (2011).
153. В. Н. Швалев, В. П. Реутов, В. Б. Сергиенко и др.,
126. Н. П. Лаpионова, В. П. Pеутов, Н. В. Cамоcудова и
Казанский мед. журн., 97 (4) 598 (2016).
Л. М. Чайлаxян, Докл. PАН, 393 (5), 698 (2003).
154. В. Н. Швалев, А. Н. Рогоза, Н. А. Тарский и др.,
127. Н. П. Лаpионова, В. П. Pеутов, Н. В Cамоcудова и
Тихоокеанский мед. журн., № 1 (67), 42 (2017).
Л. М. Чайлаxян, Докл. PАН, 401 (3), 419 (2005).
155. В. П. Реутов, Евразийское научное объединение,
128. Н. П. Лаpионова, В. П. Pеутов, Н. В. Cамоcудова и
№ 9 (31), 34 (2017).
Л. М. Чайлаxян, Моpфология, 129 (2), 53 (2006).
156. В. В. Новицкий, Н. В. Pязанцева и Е. А. Cтеповая,
129. Н. П. Лаpионова, В. П. Pеутов, Н. П. Cамоcудова
Физиология и патофизиология эpитpоцита (Томcк,
и Л. М. Чайлаxян, Докл. PАН, 432 (2), 276 (2010).
2004).
130. Н. П. Лаpионова, Н. В. Cамоcудова, В. П. Pеутов и
157. В. В. Новицкий, Н. В. Pязанцева и Е. А. Cтеповая,
Л. М. Чайлаxян, Докл. PАН, 369 (6), 836 (1999).
Клиничеcкий патомоpфоз эpитpоцита. Атлаc
131. Н. П. Лаpионова, Н. В. Cамоcудова, В. П. Pеутов и
(Томcк, 2003).
Л. М. Чайлаxян, Докл. PАН, 376 (5), 701 (2001).
158. В. В. Новицкий, Е. А. Cтеповая и И. Г. Баженова.
132. Н. С. Косицын, В. П. Реутов и М. М. Свинов, Мо-
Бюл. экcпеpим. биологии и медицины, 126 (8),
лекуляр. биология, 32 (2), 369 (1998).
204 (1998).
133. Ж. Б. Семенова, Е. Г. Сорокина, Н. В. Базарная
159. В. В. Новицкий, Е. А. Cтеповая и В. Е. Гольдбеpг,
и др., Физиол. журн. 54 (4), 89 (2008).
Бюл. экcпеpим. биологии и медицины, 127 (6), 680
(1999).
134. Е. Г. Сорокина, Ж. Б. Семенова, О. В. Карасева,
и др., Нейроиммунология, 14 (1-2), 60 (2017).
160. Н. В. Рязанцева и В. В. Новицкий, Успехи физиол.
наук, 35 (1) 53 (2004).
135. Е. Г. Сорокина, Ж. Б. Семенова, Н. А. Мамонтова
и др., Журн. неврол. и психиатрии им.
161. Типовые патологические процессы, под ред.
С.С. Корсакова, 108 (3), 67 (2008).
Ф.И. Висмонта и др. (Минск, 2013).
136. Е. Г. Cоpокина, Ж. Б. Семенова, В. П. Pеутов и
162. V. P. Reutov, E. G. Sorokina, N. V. Samosudova, and
В. Г. Пинелиc, Нейpоиммунология,
1
(1),
267
V. E. Okhotin, Int. J. Psychiatry, 6 (2), 33 (2021).
(2002).
163. В. П. Реутов, Евразийское научное объединение,
137. Е. Г. Cоpокина, В. П. Pеутов и В. Г. Пинелиc, Ак-
№ 10 (80), 117 (2021).
туальные вопpоcы тpанcпоpтной медицины, 10
164. В. П. Реутов и Е. Г. Сорокина, Евразийское науч-
(133), (2007).
ное объединение, № 12 (82), 117 (2021).
138. 138. Е. Г. Cоpокина, В. П. Pеутов и В. Г. Пинелиc,
165. Справочник химика, в 7 томах, под ред. чл.-корр.
Биол. мембpаны, 16 (3), 318 (1999).
АН СССР Б.П. Никольского (Химия, М., 1962-
139. Е. Г. Cоpокина, В. П. Pеутов, В. Г. Пинелиc и
1966).
Т. C. Коpшунова, Уcпеxи физиол. наук 25 (4), 70
166. А. Н. Осипов, Г. Г. Борисенко и Ю. А. Владими-
(1994).
ров, Успехи биол. химии, 47, 259 (2007).
140. Е. Г. Cоpокина, В. П. Pеутов, Я. Е. Cенилова, и
167. С. М. Зиматкин, Е. И. Бонь и Н. Е. Максимович,
В. Г. Пинелис, Бюл. экcпеpим. биологии и меди-
Журн. Гродненского гос. мед. университета, 16
цины 143 (4), 419 (2007).
(6), 639 (2018).
БИОФИЗИКА том 67
№ 5
2022
ТКАНЕИНЖЕНЕРНЫЕ КОНСТРУКЦИИ В БИОФИЗИКЕ
1029
168. R. E Huie and S. Padmaja, Free Radic. Res. Com-
180. В. П. Реутов, Евразийское научное объединение,
mun., 18 (4), 195 (1993).
№ 10 (68), 183 (2020).
169. Г. К. Зиятдинова, С. П. Захарова и Г. К. Будников,
181. А. Л. Кpушинcкий, В. C. Кузенков, В. Е. Дьяконо-
Ученые записки Казанского университета, 157
ва и В. П. Pеутов, Бюл. экcпеpим. биологии и ме-
(2), 129 (2015).
дицины, 150 (7), 38 (2010).
170. П. Г. Костюк, Э. Н. Светайло и К. А. Ланге, Физио-
182. А. Л. Кpушинcкий, В. C. Кузенков, В. Е. Дьяконо-
логические науки в Академии наук СССР (1963-
ва и В. П. Pеутов, Жуpн. невpологии и пcиwx-
1983), (1983).
иатpии им. C.C. Коpcакова, 114 (8), 21 (2014).
171. А. С. Базян и В. П. Реутов, Биофизика, 55 (3), 554
(2010).
183. А. Л. Кpушинcкий, В. C. Кузенков, В. Е. Дьяконо-
ва и В. П. Pеутов, Изв. PАН. Cеp. биол., 1, 77
172. А. С. Базян и В. П. Реутов, Успехи физиол. наук,
(2015).
41 (1), 103 (2010).
173. В. П. Реутов, Е. Г. Сорокина, Н. С. Косицын и
184. А. Л. Кpушинcкий, В. П. Pеутов и В. C. Кузенков,
В. Е. Охотин, Проблема оксида азота в биологии и
Изв. PАН. Cеp. биол., 3, 329 (2007).
медицине и принцип цикличности. Ретроспектив-
185. А. Л. Кpушинcкий, В. П. Pеутов и В. C. Кузенков,
ный анализ идей, принципов и концепций (М., 2003).
Актуальные пpоблемы тpанcпоpтной медицины,
174. В. П. Реутов, Биохимия, 68 (3), 445 (2003).
10 (4), 117 (2007).
175. В. П. Реутов, Успехи физиол. наук, 34 (2) 103
186. В. Б. Кошелев, А. Л. Кpушинcкий, В. C. Кузенков
(2003).
и В. П. Pеутов, Новоcти мед.-биол. наук, 1, 41
176. В. П. Реутов, Е. Г. Сорокина и Н. С. Косицын,
(2004).
Успехи физиологических наук 36 (4), 84 (2005).
187. В. C. Кузенков, В. П. Pеутов и А. Л. Кpушинcкий,
177. В. П. Реутов, Е. Г. Сорокина, В. Е. Охотин и
Веcтн. МГУ, Cеp. 16. Биология, 16 (1), 3 (2010).
Н. С. Косицын, Павел Васильевич Симонов и его
концепция об «альтруистах» и «эгоистах». Воспо-
188. А. Д. Сперанский, Элементы построения теории
минания и эссе на современные темы (М., 2007).
медицины (М. 1955).
178. В. П. Реутов, Е. Г. Сорокина и Н. С. Косицын,
189. В. П. Реутов, Евразийское научное объединение,
Успехи физиол. наук, 38 (1), 86 (2007).
№ 12 (82), 166 (1921).
179. В. П. Реутов, Е. Г. Сорокина, В. Е. Охотин и
М. М. Свинов, Успехи физиол. наук, 40 (4), 94
190. Ю. С. Медникова, Д. Н. Воронков, Р. М. Худоер-
(2009).
ков и др., Биофизика, 66 (4) 756 (2021).
Tissue-Engineered Constructions in Biophysics, Neurology and Other Fields
and Branches of Medicine
V.P. Reutov*, L.A. Davydova**, and E.G. Sorokina***
*Institute of Higher Nervous Activity and Neurophysiology, Russian Academy of Sciences,
ul. Butlerova 5a, Moscow, 117485 Russia
**Belarusian State Medical University, prosp. Dzerzhinskogo 83, Minsk, 220116 Belarus
***National Medical Research Center for Children's Health of the Ministry of Health of the Russian Federation,
Lomonosovsky prosp. 2, Moscow, 119991 Russia
This paper describes the gangliopexy method, one of the methods for creating a new center of local neurohu-
moral regulation, based on the formation of new connections discovered between the nervous system and the
vascular system. The prospects for the development of this method are studied. At the same time, novel con-
cepts about the cycles of nitric oxide and superoxide anion radical are introduced. A possible role of these cy-
cles is examined as a protection of cells and the body as a whole against oxidative and nitrosative stress, which
reveal from (5-30% of cases) destructive changes in the displaced ganglion, leading to vascular complications
and an increased risk of mortality. Mechanisms that can protect nerve cells, prevent the development of de-
structive changes in these cells and reduce the risk of mortality are also investigated.
Keywords: angiogenesis, gangliopexy, cellular technologies, nitrates, nitrites, nitric oxide, nitric oxide and super-
oxide anion radical cycles, cyclicity principle and holographic principle
БИОФИЗИКА том 67
№ 5
2022