Биотехнология, 2023, T. 39, № 2, стр. 53-62
Поведение хирургических нитей на основе сополимера гликолида и лактида в условиях in vivo и in vitro
О. А. Легонькова 1, *, Т. И. Винокурова 1, А. С. Оганнисян 1, В. В. Стаффорд 1, 2, А. А. Завитаева 1, И. Н. Сенчихин 3
1 ФГБУ “Национальный медицинский исследовательский центр хирургии
им. А.В. Вишневского” Минздрава России
117997 Москва, Россия
2 “Федеральный научный центр – Всероссийский исследовательский институт экспериментальной ветеринарии имени К.И. Скрябина и Я.Р. Коваленко Российской академии наук”
109428 Москва, Россия
3 ФГБУН “Институт физической химии и электрохимии
им. А.Н. Фрумкина Российской академии наук”
119071 Москва, Россия
* E-mail: oalegonkovapb@mail.ru
Поступила в редакцию 15.06.2023
После доработки 21.06.2023
Принята к публикации 25.06.2023
Аннотация
Приведены результаты сравнительных исследований по оценке свойств хирургических нитей на основе сополимера гликолида и лактида в эксперименте in vivo и in vitro с использованием методов дифференциальной сканирующей калориметрии, ИК-Фурье спектроскопии, гравиметрии, деформационно-прочностного анализа и гистологических исследований. Показано, что изменения в поведении хирургических нитей, приводящие к ухудшению их физико-механических свойств в условиях in vivo, связаны с аморфизацией структуры сополимера в объеме материала нити с последующим “вымыванием” низкомолекулярных веществ, а в условиях in vitro – с перестройкой надмолекулярной структуры и возникновением более жестких еe сегментов, а также с поверхностным гидролизом. Результаты проведенных исследований по оценке прочностных свойств хирургических нитей подтвердили возможность замены малодоступных и дорогостоящих испытаний in vivo на лабораторных животных испытаниями in vitro в модельной среде. Выявленная в экспериментах in vivo морфологическая картина реакции биологических тканей на нити, связанная с местным хроническим воспалением и реакцией тканей на инородное тело, свидетельствует об актуальности экспериментов in vivo при разработке новых видов хирургических шовных материалов, с точки зрения оценки их биосовместимости с тканями организма
Биоразлагаемые полимеры широко применяются для производства хирургических шовных материалов (хирургических нитей). Основными преимуществами использования таких материалов являются прогнозируемые сроки рассасывания (определяются посредством построения профиля потери прочности после наложения швов) и способность продуктов их гидролитического разложения (простого и ферментативного) выводиться из организма естественным метаболическим путем [1‒4].
В настоящее время Российский рынок рассасывающихся хирургических нитей стал расширяться за счет появления новых разработок, вследствие чего возрастает необходимость тщательного контроля качества поставляемых изделий, которое зависит не только от целого спектра физических, механических и термических свойств полимерных материалов, на основе которых изготавливаются нити, но и от технологических режимов производства самих нитей.
Эксплуатационные свойства рассасывающихся хирургических нитей могут быть оценены in vivo и in vitro. Прочность in vivo анализируют путем имплантации экспериментальным животным (свиньям, кроликам, крысам), а анализ in vitro включает экспозицию нити в физиологическом буферном растворе с рН 7,4 при температуре 37°C. Считается, что испытания in vitro, насколько это возможно, должны сопровождаться испытаниями in vivo [5]. Работы по оценке поведения рассасывающихся шовных материалов в условиях in vivo и в сравнительной оценке in vitro и in vivo проводятся, хотя и немногочиcленные [6‒10].
Среди рассасывающихся хирургических нитей одними из наиболее широко используемых являются нити из сополимера гликолида и лактида в массовом соотношении 90 : 10, которые относятся к шовным материалам среднего срока сохранения прочности, обеспечивая поддержание ушитой раны в сопоставленном состоянии до еe заживления в течение 2‒4 недель [5, 11, 12].
Цель данной работы состояла в сравнительном исследовании основных, с точки зрения качества и безопасности, характеристик хирургических нитей (физико-механических свойств) в эксперименте на лабораторных животных (in vivo) и модельной среде (in vitro) двух производителей, оценки реакции биологических тканей на шовный материал из сополимера гликолида и лактида (в соотношении 90 : 10).
УСЛОВИЯ ЭКСПЕРИМЕНТА
В качестве объектов исследования использованы плетеные синтетические рассасывающиеся материалы хирургические шовные на основе сополимера гликолида и лактида в соотношении 90 : 10 (далее ‒ ПГЛ), метрического размера 3.5 двух производителей: ПГЛ-А и ПГЛ-Б.
Исследование in vivo проводили на белых крысах самцах линии “Вистар” (Wistar) массой 250‒400 г. Все манипуляции осуществляли в соответствии с правилами гуманного обращения с лабораторными животными [11‒14]. Крыс содержали в стандартных условиях вивария с открытым доступом к пище и воде. Лабораторные животные были разделены на экспериментальные группы таким образом, чтобы на каждую временную точку исследования приходилось не менее 10 образцов нитей, которые имплантировали подкожно в спину животных. Вывод животных из эксперимента и иссечение образцов нитей ПГЛ осуществляли в течение 40 сут.
Для проведения гистологических исследований образцы помещали в 10%-ный забуференный формалин (ООО “Labico”, Россия), выполняли парафиновую заливку и окрашивание гематоксилином (ООО “МиниМед”, Россия) и эозином (ООО “Кемикал Лайн”, Россия). Толщина срезов составляла 6 мкм. Оценку гистологической картины выполняли с помощью светового микроскопа Axio A1.0 (Carl Zeiss, Германия), при увеличении ×100, ×630.
Изменение свойств шовных материалов in vitro изучали после экспозиции в фосфатном буферном растворе рН 7.4 при температуре 37°C [15]. Для обеспечения постоянного рН буферные растворы регулярно обновляли (1 раз в неделю) и контролировали с помощью рН-метра. Нити, помещенные в буферный раствор, выдерживали в термостате BINDER тип BD 53 (Binder GmbН, Германия) в те же сроки, что и в эксперименте in vivo.
После извлечения из буфера образцы нитей ПГЛ-А и ПГЛ-Б промывали дистиллированной водой, взвешивали для определения массы во влажном состоянии на электронных аналитических весах SARTORIUS модель R 200D (Sartorius Göttingen Gmbh, Германия) с точностью до 0.0001 г, затем образцы высушивали суховоздушным способом до постоянной массы.
После экспозиции нитей in vitro и in vivo выполняли следующие исследования:
‒ определение прочностных свойств по изменению отношения разрывной нагрузки в динамике к исходной осуществляли на разрывной испытательной машине EZTest модификации EZ-LX-0.5 (Shimadzu, Япония). Расстояние между захватами разрывной машины составляло 25 мм, скорость перемещения подвижного зажима 50 мм/мин;
‒ изменения теплофизических свойств оценивали методом дифференциальной сканирующей калориметрии (ДСК). Термограммы ДСК были получены с помощью прибора DSC 214 Polyma (NETZSCH, Германия) в атмосфере азота. Для каждого образца проводили два сканирования в динамическом режиме при скорости повышения температуры w+ =10 К/мин в интервале температур от 0°С до 240°С.
Для расчета степени кристалличности использовали формулу 1:
(1)
${\text{Степень\;кристалличности}} = \frac{{\Delta Н}}{{\Delta {{Н}_{{100\% ~}}}}} \times 100~\% $ΔH100% ‒ энтальпия расплава 100%-но кристаллического образца, составляющая 181.44 Дж/г [9];
‒ исследования структурных изменений в динамике проводили методом ИК спектроскопии нарушенного полного внутреннего отражения (НПВО-спектроскопии) в области волновых чисел 7800–350 см–1 на ИК-Фурье спектрометре IR Spirit (Shimadzu). Интерпретацию спектров выполняли в соответствии с литературными данными [16, 17] в области волновых чисел, приведенных в табл. 1.
Таблица 1.
Типы и диапазоны поглощения использованных колебаний для описания спектров сополимера гликолида и лактида Table 1. Types and absorption ranges of vibrations used to describe the spectra of a copolymer of glycolide and lactide
| № | Типы колебаний | Волновое число, ν, см–1 |
|---|---|---|
| 1 | Валентные колебания ОН группы (водородные связи) | 3600–3200 |
| 2 | Валентные колебания связи –С=О | 1750‒1730 |
| 3 | Область сопряженных двойных связей | 1654 |
| 4 | Валентные колебания –COO–, карбоксилат | 1610‒1550 |
| 5 | Деформационные колебания –СН2–СО- | 1458‒1400 |
| 7 | Валентные колебания –С–О–С– | 1185‒1090 |
| 8 | Маятниковое колебание СН3– | 962‒948 |
Расчеты спектров проводили по отношению D'/D972, где D' – оптическая плотность при определенной длине волны, D972 – оптическая плотность внутреннего стандарта, за который была принята полоса поглощения, характерная для маятниковых колебаний метильной группы –СН3– (972 см–1), не подвергающейся химическим превращениям [18];
‒ исследование изменений физической структуры образцов проводили с помощью электронного сканирующего микроскопа (СЭМ) с полевым катодом QUANTA 650 FEG (FEI, Thermo Fisher Scientific, США) в режиме высокого вакуума при ускоряющем напряжении 2 кВ.
РЕЗУЛЬТАТЫ И ОБСУЖДЕНИЕ
Результаты определения прочностных характеристик шовных материалов в зависимости от времени экспозиции in vivo и in vitro приведены на рис. 1, где t ‒ время экспозиции in vivo или in vitro; Рисх ‒ разрывная нагрузка исходной нити; Рt ‒ разрывная нагрузка нити после экспозиции in vivo или in vitro.
Рис. 1.
Профиль потери прочности образцов шовных материалов ПГЛ-А и ПГЛ-Б метрического размера 3.5 в эксперименте на лабораторных животных (in vivo) и в модельной среде (in vitro). Fig. 1. Strength loss profile of suture materials’ samples out of PGL-A and PGL-B with metric size 3.5 in the experiment on laboratory animals (in vivo) and in model environment (in vitro).

Как следует из рис. 1, кривые снижения прочности нитей ПГЛ-Б in vivo и in vitro совпадают полностью, у нитей ПГЛ-А ‒ в пределах доверительных интервалов, поэтому для нитей каждого из производителей были построены обобщенные графики изменения прочностных характеристик in vivo и in vitro (рис. 2), описываемые полиномом 2-й степени и уравнениями регрессии (1) и (2):
Рис. 2.
Кривые регрессии объединенных значений прочности in vivo и in vitro нитей ПГЛ-А и ПГЛ-Б. Fig. 2. Regression curves of strengths combined meanings, got in vivo and in vitro experiment for PGL-A and PGL-B suture materials.

Коэффициент детерминации R2 составляет 0.981‒0.999, что свидетельствует о высокой согласованности распределения фактических значений с описывающими их кривыми регрессии.
Таким образом, полученные результаты исследований позволяют однозначно утверждать, что определение прочностных свойств синтетических рассасывающихся хирургических нитей in vivo может быть заменено испытаниями in vitro (в модельной среде).
В результате проведенных испытаний было выявлено заметное различие в величинах сохранения прочности хирургических нитей двух производителей, а именно: нити ПГЛ-А сохраняют к 14 суткам около 70%, к 21 суткам – около 45% исходной прочности, а полная потеря прочности прогнозируется к 28–30 суткам, в то время как нити ПГЛ-Б к 14 суткам сохраняют всего 30% прочности и полностью разрушаются к 19–20 суткам.
Принято считать, что к рассасывающимся нитям среднего срока сохранения прочности относятся нити, обеспечивающие к 14 суткам 65‒70% исходной прочности и 45‒50% ‒ к 21 суткам [4, 17]. В то время как обе хирургические нити позиционируются разработчиками как шовные материалы среднего срока сохранения прочности, отнести к этой категории шовных материалов можно только нити ПГЛ-А.
Учитывая одинаковый сырьевой состав нитей двух производителей, аномальное снижение прочностных характеристик нитей ПГЛ-Б, возможно, связано с нарушением технологических режимов производства. В связи с этим, проведение исследований по изменению теплофизических характеристик для данных образцов ПГЛ-Б было нецелесообразно, а для образцов ПГЛ-А данные приведены в табл. 2.
Таблица 2.
Теплофизические характеристики шовных материалов ПГЛ-А Table 2. Thermophysical characteristics of PGL-A suture materials
| Сроки экспози-ции, сут |
Тст, °С | Ткр, °С | Энтальпия кристаллизации, Дж/г |
Тпл, °С | Энтальпия плавления, Дж/г | Степень кристалличности, % | ||||||
|---|---|---|---|---|---|---|---|---|---|---|---|---|
| in vivo | in vitro | in vivo | in vitro | in vivo | in vitro | in vivo | in vitro | in vivo | in vitro | in vivo | in vitro | |
| Исходный | 42 ± 2 | 97 ± 3 | 21 ± 1 | 196 ± 2 | 65 ± 1 | 35.5 | ||||||
| 7 | 38 ± 2 | 43 ± 2 | 112 ± 2 | 112 ± 3 | 49 ± 3 | 20 ± 2 | 197 ± 3 | 198 ± 2 | 63 ± 3 | 58 ± 2 | 34.8 | 31.3 |
| 11 | 37 ± 2 | 42 ± 2 | 112 ± 3 | 110 ± 4 | 34 ± 2 | 14 ± 1 | 194 ± 2 | 200 ± 4 | 55 ± 2 | 51 ± 1 | 30.2 | 28.2 |
| 28 | 32 ± 1 | 33 ± 2 | 117 ± 3 | 121 ± 2 | 13 ± 2 | 64 ± 3 | 186 ± 3 | 189 ± 3 | 33 ± 1 | 68 ± 3 | 18.2 | 37.5 |
Согласно табл. 2, закономерности изменений теплофизических характеристик в процессе экспозиции как in vivo, так и in vitro несколько различаются. Снижение температуры стеклования при исследованиях in vivo, небольшое повышение температуры кристаллизации при снижении температуры плавления, энтальпии кристаллизации и плавления, свидетельствует о том, что процессы, обусловленные реализацией внутренних напряжений, возникших при ориентационном упрочнении в технологии изготовления нитей, приводят к аморфизации сополимера в объеме и наличию рекристаллизованных структур. Процесс аморфизации подтверждается также гистологически по изменению окраски элементарных нитей.
При исследованиях in vitro, напротив, было выявлено увеличение энтальпии кристаллизации, расплава и степени кристалличности, что может свидетельствовать о некоторой перестройке надмолекулярной структуры полимера и возникновении более жестких еe сегментов. Кроме того, процесс деструкции сополимера, по-видимому, протекает по разным механизмам в условиях in vivo и in vitro, и некоторые различия в скоростях снижения прочности являются тому подтверждением.
Несмотря на различия в физико-механических свойствах хирургических нитей двух производителей методом ИК-Фурье-спектроскопии были исследованы образцы и ПГЛ-А и ПГЛ-Б. Результаты представлены в табл. 3 и 4.
Таблица 3.
Расчеты отношения оптической плотности при определенных длинах волн и полосе поглощения внутреннего стандарта, рассчитанных для образцов ПГЛ-А в зависимости от времени экспозиции in vivo и in vitro Table 3. Calculations of the ratio of optical density at certain wavelengths and the absorption band of the internal standard, calculated for PGL-A samples, depending on the exposure time in vivo and in vitro
| Длина волны. нм | Функциональная группа | D'/D972 | ||||||||
|---|---|---|---|---|---|---|---|---|---|---|
| исходный образец | 7 сутки | 14 сутки | 18 сутки | 28 сутки | ||||||
| in vivo | in vitro | in vivo | in vitro | in vivo | in vitro | in vivo | in vitro | |||
| 1185‒1090 | Валентные колебания –С–О–С– | 3.9 ± 0.2 | 3.4 ± 0.1 | 4.3 ± 0.2 | 3.2 ± 0.2 | 3.3 ± 0.1 | 2.6 ± 0.1 | 2.0 ± 0.1 | – | 3.2 ± 0.2 |
| 1440‒1400 | –СН2–CO– | 3.4 ± 0.3 | 4.5 ± 0.4 | 3.5 ± 0.3 | 2.5 ± 0.2 | 3.1 ± 0.2 | 2.7 ± 0.2 | 2.1 ± 0.3 | 2.0 ± 0.3 | 3.0 ± 0.2 |
| 1610‒1550 | –COO карбоксилат | – | – | – | 0.5 ± 0.1 | – | 1.5 ± 0.2 | 2.4 ± 0.1 | 4.9 ± 0.4 | – |
| 1654 | Область сопряженных двойных связей | – | – | – | 0.9 ± 0.1 | – | 3.3 ± 0.3 | 4.0 ± 0.4 | 7.6 ± 0.4 | – |
| 1750‒1730 | –С=О | 4.8 ± 0.2 | 6.4 ± 0.4 | 6.6 ± 0.3 | 3.8 ± 0.2 | 5.9 ± 0.2 | 2.9 ± 0.1 | 2.0 ± 0.1 | 1.5 ± 0.1 | 5.2 ± 0.3 |
| 3600‒3200 | – ОН | – | 0.3 ± 0.1 | – | 0.3 ± 0.1 | – | 1.1 ± 0.3 | 1.6 ± 0.2 | 3.2 ± 0.5 | – |
Таблица 4.
Расчеты отношения оптической плотности при определенных длинах волн и полосе поглощения внутреннего стандарта, рассчитанных для образцов ПГЛ-Б в зависимости от времени экспозиции in vivo и in vitro Table 4. Calculations of the ratio of optical density at certain wavelengths and the absorption band of the internal standard, calculated for PGL-B samples, depending on the exposure time in vivo and in vitro
| Длина волны. нм | Функциональная группа | D'/D972 | ||||||||
|---|---|---|---|---|---|---|---|---|---|---|
| исходный образец | 7 сутки | 14 сутки | 18 сутки | 28 сутки | ||||||
| in vivo | in vitro | in vivo | in vitro | in vivo | in vitro | in vivo | in vitro | |||
| 1185‒1090 | Валентные колебания –С–О–С– | 7.6 ± 0.3 | 2.5 ± 0.1 | 3.1 ± 0.2 | 2.8 ± 0.2 | 3.0 ± 0.3 | 2.1 ± 0.1 | 2.4 ± 0.3 | – | 3.6 ± 0.2 |
| 1400‒1440 | –СН2–CO– | 0.6 ± 0.1 | 2.3 ± 0.3 | 2.8 ± 0.3 | 2.8 ± 0.2 | 2.6 ± 0.1 | 2.0 ± 0.1 | 2.7 ± 0.3 | 5.4 ± 0.3 | 2.1 ± 0.1 |
| 1610‒1550 | –COO карбоксилат | – | – | – | 0.6 ± 0.1 | – | 0.7 ± 0.1 | – | 17.0 ± 0.7 | – |
| 1654 | Область сопряженных двойных связей | – | – | – | 1.2 ± 0.1 | – | 0.8 ± 0.1 | – | 28.0 ± 0.9 | – |
| 1730‒1750 | –С=О | 11.4 ± 0.6 | 3.1 ± 0.2 | 4.4 ± 0.2 | 1.5 ± 0.1 | 4.0 ± 0.2 | 2.6 ± 0.2 | 4.2 ± 0.3 | – | 3.3 ± 0.3 |
| 3600‒3200 | – ОН | – | – | – | 0.4 ± 0.1 | – | 0.3 ± 0.1 | – | 7.5 ± 0.6 | – |
Анализ спектров позволил заключить, что в процессе экспозиции in vivo через 14 дней возникают полосы поглощения полиенов (области сопряженных двойных связей), наблюдается некоторое увеличение содержания –ОН-групп и карбоксилат-анионов, тогда как при экспозиции in vitro такие закономерности не отмечаются. Мы предполагаем, что продукты биодеструкции проходят через стадию расщепления С=О связей (схема I ), что согласуется с выводами авторов [19] об образовании ангидридов гликолевой кислоты, в качестве одного из возможных промежуточных продуктов биодеструкции.
Схема I . Внутримолекулярное превращение кетогруппы эфирной связи при биодеструкции сополимера гликолида с лактидом. Scheme I . Intramolecular transformation of the keto group of the ester bond during the biodegradation of the copolymer of glycolide with lactide.
Закономерности изменения поверхностной структуры образцов ПГЛ-А и ПГЛ-Б идентичны при испытаниях после экспозиции in vivo, что подтверждает факт “вымывания” низкомолекулярных соединений с поверхности нитей при биодеструкции. Этот процесс начинается примерно через две недели экспозиции образцов in vivo, в этот же период наблюдаются морфологические изменения, обнаруживаемые на гистологических срезах. Оценивать изменение массы образцов в испытаниях in vivo не целесообразно из-за прорастания нитей соединительной тканью, о чем свидетельствуют результаты микроскопического исследования (рис. 3). При этом отмечается начало снижения массы образцов в эксперименте in vitro (рис. 4)
Рис. 3.
Электронная микрофотография шовного материала ПГЛ-А через 28 сут. экспозиции in vivo, увеличение: 500×. a ‒ нить в соединительнотканной капсуле; b ‒ элементарные нити, окруженные соединительной тканью. Fig. 3. Electron micrograph of PGL-A suture material after 28 days of exposure in vivo, magnification: 500×. a ‒ thread in the connective tissue capsule; b ‒ filaments surrounded by connective tissue.

Рис. 4.
Изменение массы образцов нитей ПГЛ-А и ПГЛ-Б в зависимости от времени экспозиции in vitro. Fig. 4. Change in mass of PGL-A and PGL-B samples of suture materials depending on the exposure time in vitro

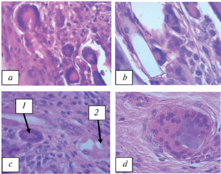
В результате гистологических исследований было выявлено, что в процессе экспозиции in vivo к 7 суткам вокруг хирургических нитей ПГЛ-А и ПГЛ-Б образуется соединительнотканная капсула и наблюдается незначительная инфильтрация лимфоцитами между элементарными нитями, а также скопление гигантских клеток Пирогова-Лангханса (рис. 5a). На 25 сутки экспозиции (рис. 5b) обнаружена живая (1) и разрушающаяся (2) клетка Пирогова-Лангханса. Видно, что в последней структуре образовались вакуоли, на периферии заметно слабоокрашенное базофильное вещество. В соединительнотканном футляре (рис. 5c) показан процесс фагоцитоза частицы нити гигантской многоядерной клеткой.
Рис. 5.
Гистологические срезы образцов биологических тканей после имплантации ПГЛ нитей. Окраска: гематоксилин и эозин, ×630. a ‒ 7 сутки экспозиции in vivo. Гигантские клетки Пирогова-Лангханса в капсуле вокруг нити; b ‒ 14 сутки экспозиции in vivo. Продольный срез элементарных нитей, гигантские клетки Пирогова-Лангханса в капсуле вокруг нити; c ‒ 25 сутки экспозиции in vivo. Соединительнотканная капсула: 1 ‒ активная гигантская клетка Пирогова-Лангханса; 2 ‒ гигантская клетка Пирогова-Лангханса в стадии разрушения, содержит частицу элементарной нити; d ‒ 40 сутки экспозиции in vivo. Клетка Пирогова-Лангханса с частицей нити. Fig. 5. Histological sections of biological tissue samples after implantation of PGL threads. Staining: hematoxylin and eosin, ×630. a ‒ 7 days of exposure in vivo. Giant Pirogov-Langhans cells in a capsule around the thread; b ‒ 14 days of exposure in vivo. Longitudinal section of elementary filaments, giant Pirogov-Langhans cells in a capsule around the filament, c ‒ 25 days of exposure in vivo. Connective tissue capsule: 1 ‒ Pirogov-Langhans active giant cell; 2 ‒ Pirogov-Langhans giant cell in the stage of destruction, contains a particle of elementary filament; d ‒ 40 days of exposure in vivo. Pirogov-Langhans cell with a thread particle.

В соединительной ткани вокруг плетеной нити и единично между элементарными нитями преимущественно присутствуют глыбки гемосидерина, выражен концентрический рост волокон соединительной ткани, образуются гранулeмы, происходит активный процесс гибели гигантских многоядерных клеток.
Таким образом, на всем протяжении эксперимента происходит процесс, характеризующийся как местное хроническое воспаление, которое мы связываем с реакцией тканей на инородное тело и “вымыванием” низкомолекулярных веществ с поверхности нитей, в результате чего образуются гигантские клетки Пирогова–Лангханса. Подобная клеточная реакция должна способствовать фагоцитозу частиц нити (который слабо выражен в первых контрольных точках отбора материала). При неспособности поглотить эти частицы, гигантские клетки Пирогова–Лангханса образуют большой конгломерат, что приводит к образованию гранулeм. Кроме этого, был выявлен концентрический рост волокон соединительной ткани. Наблюдаемый процесс возможен и как исход хронического воспаления в виде образования соединительнотканных узелков на месте гибели гигантских клеток.
Выявленные различия в характере изменения прочностных характеристик хирургических нитей одного химического состава у двух производителей позволяют сделать вывод о необходимости проведения на стадии производства как входного, так и периодического контроля сроков сохранения прочности нитей методом in vitro.
При этом процесс изменения физико-механических свойств хирургических нитей среднего срока рассасывания на основе сополимера гликолида с лактидом in vivo связан с аморфизацией структуры полимера в объеме материала нити с последующим “вымыванием” низкомолекулярных веществ за счет внутримолекулярного превращения кетогруппы эфирной связи. Процесс деградации in vitro связан с образованием жестких сегментов надмолекулярной структуры и гидролизом в объеме образца.
Результаты проведенных исследований по оценке прочностных свойств хирургических нитей на основе сополимера гликолида и лактида в условиях in vivo и in vitro (в модельной среде) подтвердили возможность замены малодоступных и дорогостоящих испытаний in vivo (на лабораторных животных) испытаниями in vitro в соответствии с ГОСТ 59675-2021 (в модельной среде ‒ фосфатный буферный раствор с рН 7.4 при температуре 37°С).
В то же время испытания в условиях in vivo остаются актуальными при разработке и постановке новых видов хирургических шовных материалов на производство, прежде всего, с точки зрения оценки их биосовместимости с тканями организма, а также с точки зрения определения функциональных характеристик и оценки биологических изменений клеточного пула, связанных с рисками образования промежуточных продуктов биодеструкции после применения того или иного химического состава медицинских изделий.
Список литературы
Schönberger M., Hoffstetter M. Emerging Trends. Emerging Trends in Medical Plastic Manuf. Eng., 2016, 235–268. https://doi.org/10.1016/b978-0-323-37023-3.00006-3
Singh A. Biodegradable, Biotechnology and Biopolymers. [Электронный ресурс]. URL: https://www.pharmatutor.org/articles/biodegradable-biotechnology-and-biopolymers-bbb (дата обращения 23.01.2023).
Гомзяк В.И., Демина В.А., Разуваева Е.В, Седуш Н.Г., Чвалун С.Н. Биоразлагаемые полимерные материалы для медицины: от имплантата к органу. Тонкие химические технологии. 2017, 12 (5), 5–20.
Pillai C.K.S., Sharma C.P. Review paper: absorbable polymeric surgical sutures: chemistry, production, properties, biodegradability, and performance. J. Biomater. Appl., 2010, 25 (4), 291–366. https://doi.org/10.1177/08853282103848
Taylor S.M., Shelaby S.W. Sutures. In Biomaterials Science. Edition 3 Ed. by Ratner B.D, 2013, 1020–2021. https://doi.org/10.1016/b978-0-08-087780-8.00087-5
Freudenberg S., Rewerk S., Kaess M., Weiss C. Biodegradation of Absorbable Sutures in Body Fluids and pH Buffers. Eur. Surg. Res., 2004, 36, 376–385. https://doi.org/10.1159/000081648
Wang L., Li J., Shi Z. Degradation and clinical application of absorbable suture materials. Chin. J. Tissue Eng. Res., 2015, 19(16), 2619. https://doi.org/10.3969/ j.issn.2095-4344.2015.16.030
Cartmill B.T., Parham D.M., Strike P.W., Griffiths L. How Do Absorbable Sutures Absorb. A Prospective Double-Blind Randomized Clinical Study of Tissue Reaction to Polyglactin 910 Sutures in Human Skin. Orbit, 2014, 33(6), 437–443. https://doi.org/10.3109/01676830.2014.950285
Singh A., Guedes R.M. Investigating Mechanical Properties of PGLA Fibres as a Function of Degradation Time. Procedia Struct., 2020, 28, 2218–2227. https://doi.org/10.1016/j.prostr.2020.11.050
Antoniac I.V., Antoniac A., Gheorghita D., Gradinaru S. In Vitro Study on Biodegradation of Absorbable Suture Materials Used for Surgical Applications. Mater. Plast., 2021, 58(2), 130–139.https://doi.org/10.3109/01676830.2014.95028510.3109/01676830.2014.950285https://doi.org/10.37358/Mat.Plast.1964
Правила проведения работ с экспериментальными животными. Приказ № 724 от 13.11.1984 г. Министерства высшего и среднего специального образования СССР.
Guide for the Care and Use of Laboratory Animals. Eight Edition. – Washington: The National Academies Press, 2011, 220.
Директива Европейского парламента и Совета Европейского Союза 2010/63/ЕС о защите животных, использующихся для научных целей от 22 сентября 2010 г. Rus–LASA, 2012.
ГОСТ 32215–2014 Руководство по содержанию и уходу за лабораторными животными. Правила оборудования помещений и организации процедур.
ГОСТ Р 59675–2021 Материалы хирургические имплантируемые синтетические рассасывающиеся. Метод деградации in vitro.
Наканиси К. Инфракрасные спектры и строение органических соединений. M.: Изд-во МИР, 1965, 216.
Keles H., Naylor A., Clegg F., Sammon C. Studying the release of hGH from gamma-irradiated PLGA microparticles using ATR-FTIR imaging. Vib. Spectrosc., 2014, 71, 76–84. https://doi.org/10.1016/j.vibspec.2014.01.012
Казарин Л.А. Методические разработки к спецпрактикуму “Метод инфракрасной спектроскопии и его применение в химии высокомолекулярных соединений”, Москва, МГУ, 1978, 45.
Sabino M.A., Gonzakes S., Marquez L., Feijoo J. Study of the hydrolytic degradation of polydioxanone PPDX. Polym. Degrad. Stab., 2000, 69(2), 209–216.https://doi.org/10.1016/S0141-3910
Дополнительные материалы отсутствуют.



