Биотехнология, 2023, T. 39, № 5, стр. 33-43
Новый комплексный ферментный препарат экзо-инулиназы и пектинлиазы для использования в технологии переработки топинамбура
А. М. Рожкова 1, *, Ю. А. Денисенко 1, Е. С. Милова 2, И. Н. Зоров 1, 2, О. А. Синицына 2, Е. В. Ярошенко 3, А. П. Синицын 1, 2
1 Федеральный исследовательский центр “Фундаментальные основы биотехнологии”
Российской академии наук
119071 Москва, Россия
2 Химический факультет, Московский государственный университет
имени М.В. Ломоносова
119991 Москва, Россия
3 ООО “ИстАгроДон”
399850 Данков, Липецкая область, Россия
* E-mail: amrojkova@yahoo.com
Поступила в редакцию 21.09.2023
После доработки 15.10.2023
Принята к публикации 30.10.2023
Аннотация
Фруктозо-глюкозные сиропы (ФГС) широко применяются в пищевой промышленности в качестве подсластителей. Использование для их получения инулосодержащего сырья, к которому относится топинамбур, приводит к увеличению доли фруктозы в конечном продукте до 80–85%, что позволяет отнести ФГС к натуральным сахарозаменителям. Современное производство ФГС в РФ основано на применение фермента экзо-инулиназы (КФ 3.2.1.80), гидролизующего β-2,1-гликозидные связи молекулы инулина с получением фруктозы и глюкозы. На практике ферментный препарат на основе этого фермента добавляют в ферментаторы к экстрагированному диффузионному соку топинамбура (ДСТ) перед стадией микрофильтрации. Однако помимо основного полисахарида – инулина (75–80%), ДСТ содержит пектин (до 5%), что создает дополнительную нагрузку на микрофильтрационную установку в связи с вязкостью ферментолизатов топинамбура. На основе грибного штамма Penicillium verruculosum InuPel-10 был получен комплексный ферментный препарат (ФП) экзо-инулиназы/пектинлиазы, обеспечивающий снижение вязкости экстрактов топинамбура на 17–20%, при этом выход восстанавливающих сахаров в ходе гидролиза при помощи ФП экзо-инулиназы/пектинлиазы увеличился на 10%. Использование комплексного ФП InuPel-10 в производстве ФГС позволит сократить расходы на ФП на 10–16% за счет снижения операционных расходов, связанных с более полной загруженностью технологической линии получения этого ФП в отличие от производства индивидуальных ферментов и их дальнейшего смешивания в необходимой пропорции.
Фруктозо-глюкозные сиропы (ФГС) используются в пищевой промышленности в качестве подсластителей с середины семидесятых годов прошлого века и пользуются устойчивым спросом на мировом рынке [1].
Топинамбур (Heliánthus tuberósus) – доступная сельскохозяйственная культура, которую выращивают в России в основном в Брянской, Костромской, Волгоградской, Липецкой, Нижегородской, Московской, Рязанской, Омской, Саратовской, Тульской, Тверской, Ярославской, Ульяновской областях, республике Чувашия, Ставропольском и Краснодарском краях [2]. Топинамбур достаточно устойчив к различным климатическим условиям и обладает высокой урожайностью.
Инулин – запасной полисахарид топинамбура, представляющий собой линейную молекулу, состоящую из остатков фруктозы, соединенных β-2,1-гликозидными связями. Инулин содержится в клубнях топинамбура в количестве до 37% (табл. 1) [3]. Это делает топинамбур перспективной культурой в качестве источника этого полисахарида для производства ФГС методом ферментативного гидролиза [4–6].
Таблица 1.
Полисахаридный состав клубней топинамбура по СВ, % Table 1. Polysaccharide composition of Jerusalem artichoke tubers, %
| Наименование компонента | Массовая доля, % | |
|---|---|---|
| раннеспелый сорт | позднеспелый сорт | |
| Белки | 11.3 | 10.5 |
| Зола | 8.6 | 8.8 |
| Инулин | 35.0 | 37.1 |
| Моносахариды | 26.3 | 23.6 |
| Пектины | 3.7 | 4.5 |
| Гемицеллюлозы | 4.0 | 4.2 |
| Целлюлозы | 11.1 | 11.2 |
Экзо-инулиназы (КФ 3.2.1.80) последовательно отщепляют концевые остатки фруктозы в молекуле инулина. Природным продуцентом экзо-инулиназы является мицелиальный гриб Aspergillus awamori, однако он обладает низкой продуктивностью, поэтому ген inu1 A. awamori, кодирующий этот фермент, был ранее клонирован и экспрессирован в системе гриба Penicillium verruculosum [7]. В результате был получен рекомбинантный штамм P. verruculosum INU13, секретирующий экзо-инулиназу A. awamori с активностью 2500–3000 ед/мл по отношению к инулину топинамбура [8]. На основе штамма P. verruculosum INU13 был получен ферментный препарат (ФП) “Топилаза К”, успешно применяющийся при производстве ФГС на заводе “ИстАгро Дон” (г. Данков, Липецкая обл., РФ).
В состав клубней топинамбура входит также пектин (табл. 1), являющийся гелеобразователем и затрудняющий фильтрацию диффузионного сока топинамбура (ДСТ) после ферментативного гидролиза под действием экзо-инулиназы. Пектинлиаза (КФ 4.2.2.10) – гликозилгидролаза, расщепляющая по механизму β-элиминирования α-1,4-гликозидную связь между остатками галактуроновой кислоты с образованием Δ-4,5-ненасыщенного продукта [9]. Из-за того, что в процессе деструкции пектина не образуется метанол, пектинлиазу, в отличие от других пектолитических ферментов, используют в пищевой промышленности для осветления фруктовых и ягодных соков, а также при изготовлении виноматериалов. Ранее, нами был получен ФП пектинлиазы P. canescens в системе экспрессии гриба P. verruculosum [10], который успешно применялся при осветлении яблочного сока [11], гидролизе свекловичного жома и яблочных выжимок [12–14], а также при получении виноматериала из плодово-ягодного сырья [15, 16].
Целью данной работы являлось получение комплексного ФП, обладающего одновременно экзо-инулиназной и пектинлиазной активностями для увеличения выхода ФГС и снижения вязкости диффузионного сока топинамбура на стадии ферментолиза.
УСЛОВИЯ ЭКСПЕРИМЕНТА
Штаммы и среды
Для получения рекомбинантных штаммов серии P. verruculosum InuPel был использован реципиентный штамм мицелиального гриба P. verruculosum 537, дефектный по гену нитратредуктазы (ΔniaD) [17].
Состав питательной среды для скрининга грибных штаммов в качалочных колбах (СС, г/л): КН2PO4 – 10; К2НPO4 – 1; (NH4)2SO4 – 5; MgSO4 ⋅ 7H2O – 0.3; СaCl2 ⋅ 2H2O – 0.3; дрожжевой экстракт – 10; целлюлоза (МКЦ 112) – 40; пшеничные отруби – 10.
Состав среды для культивирования грибных штаммов в ферментерах (СФ, г/л): КН2PO4 – 14; (NH4)2SO4 – 10; MgSO4 ⋅ 7H2O – 0.6; СaCl2 ⋅ 2H2O – 0.6; кукурузный экстракт – 30; целлюлоза (МКЦ 112) – 40; пшеничные отруби – 10, глюкоза моногидрат – 44, мочевина – 2.5, пеногаситель (лапрол) – 16 капель.
Для приготовления буферных растворов и ферментационных сред использовали реактивы марок х.ч., ч.д.а. и о.с.ч. производства “Хеликон” и “Реахим” (Россия), а также Pharmacia (Швеция) и Sigma-Aldrich (США).
Трансформация P. verruculosum 537 и отбор рекомбинантных штаммов серии P. verruculosum InuPel
Трансформацию реципиентного штамма P. verruculosum 537, ауксотрофного по гену niaD, проводили по CaCl2-ПЭГ модифицированной методике [18]. Для этого плазмиду pPel, несущую ген pela P. canescens [10], плазмиду pInu1-G338A, несущую мутированный ген inu1 A. awamori [19] и плазмиду pSTA10, ген niaD A. nidulans [18] смешивали в соотношении 3 : 3 : 1 мкг ДНК с протопластами штамма P. verruculosum 537 в количестве 3 × 106 протопластов. Трансформанты серий P. verruculosum InuPel отбирали на селективных агаризованных средах с 10 мМ нитрата натрия.
Скрининг трансформантов проводили в колбах Эрленмейра со 100 мл среды СС. В качестве контроля использовали реципиентный штамм P. verruculosum 537. Отбор трансформантов проводили по критерию увеличения инулиназной и пектинлиазной активностей в культуральной жидкости (КЖ) грибных штаммов через 144 ч культивирования в сравнении с контролем.
Получение ФП осуществляли с использованием 3 л ферментеров КФ-108 фирмы ООО “Проинтех” (Россия) на среде СФ. Культивирование проводили в течение 144 ч при 32°С и рН 4.5 с дробной подпиткой глюкозой (каждые 12 ч, начиная с 48 ч), с тремя добавками МКЦ и одной добавкой минеральных солей. После завершения процесса КЖ центрифугировали при 3300 g в течение 1 ч на центрифуге Avanti J-26 (Вeckman Coulter, США) для удаления биомассы и нерастворимых компонентов питательной среды. Получение сухих ФП осуществляли путeм высушивания супернатанта, полученного после центрифугирования КЖ, с помощью распылительной сушилки Buchi Mini Spray Dryer B-290 (Buchi, Швейцария). Подачу супернатанта в распылительную головку сушилки проводили с помощью перистальтического насоса со скоростью 10 мл/мин. Процесс высушивания происходил при выставленном значении ротаметра 40 ед., входящей температуре 135°С, выходящей температуре 60°С и степени аспирации 70% [20].
Идентификация ферментов и денситометрический анализ
Идентификацию ферментов проводили путем обработки трипсином вырезанных образцов геля, соответствующих по массе целевым ферментам после проведения электрофореза, с последующим картированием полученных пептидов методом МАЛДИ масс-спектрометрии [21], используя масс-спектрометр UltrafleXtreme (Bruker Daltonik GmbH, ФРГ). Анализ полученных данных осуществляли с помощью онлайн-сервиса FindPept (https://web.expasy.org/findpept/).
Для количественной оценки содержания ферментов в ФП использовали денситометрический метод. С помощью программного обеспечения GelAnalyzer10 были проанализированы интенсивность и ширина каждой из полос в геле после проведения белкового электрофореза в соответствии с руководством пользователя.
Определение активности ферментов
Активность ФП и гомогенных ферментов по отношению к инулину топинамбура (“Реахим”, Россия), ксилану бука (Megazyme, Ирландия), МКЦ (ТУ 20.16.59-001-40693384-209 производства “Кристацелл”, Россия) и натриевой соли карбоксиметилцеллюлозы (КМЦ, Sigma, США) при их концентрации в реакционной смеси 5 г/л определяли по начальным скоростям образования восстанавливающих сахаров (ВС) из этих субстратов модифицированным методом Шомоди-Нельсона [22]. За единицу активности принимали такое количество фермента, которое катализирует образование 1 мкмоль ВС за 1 мин при 50°С, pH 5.0 [23].
Активность по отношению к п-нитрофенил-β-D-глюкопиранозиду (пНФГ) (0.9 мМ в реакционной смеси) определяли по скорости образования п-нитрофенола в качестве продукта при 50°С и рН 5.0, через 10 мин реакцию останавливали с помощью 1 М раствора Na2CO3. За единицу активности принимали количество фермента, необходимое для образования 1 мкмоль п-нитрофенола в минуту [24].
Пектинлиазную активность определяли методом, основанным на измерении начальной скорости накопления Δ-4,5-ненасыщенных продуктов деструкции цитрусового пектина [25]. За единицу активности принимали такое количество фермента, которое необходимо для образования 1 мкмоля продукта за 1 мин. Количество Δ-4,5-ненасыщенных продуктов рассчитывали, используя коэффициент молярного поглощения, равный 5500 М–1см–1.
Концентрацию белка определяли методом Лоури [26], используя бычий сывороточный альбумин в качестве стандарта, а также по оптической плотности при 280 нм на спектрофотометре Varian Cary 50 UV-Vis (Agilent Technologies, США).
Определение температурной стабильности ферментов
Изучение термостабильности ФП проводили измеряя остаточную активность по отношению к субстрату. Раствор ФП (1–5 мкг/мл) в 0.1 М Na-ацетатном буфере, рН 5.0 инкубировали при 60 и 65°С. Через определённые временные интервалы отбирали аликвоты фермента, быстро охлаждали и определяли активность как описано выше.
Получение диффузионного сока топинамбура (ДСТ) и определение вязкости растворов
Топинамбур (Липецкая область, Россия) промывали водой, очищали, отделяли кожицу. Резали клубни на стружку толщиной 3–5 мм. Экстракцию проводили горячей водой при 70–80°С в течение 10 мин. Процедуру экстракции повторяли дважды.
Для измерения вязкости ДСТ использовали капиллярный стеклянный вискозиметр ВПЖ-4 (“Экохим”, Россия). Вискозиметр термостатировали при 40°C или 55°C, вносили 6 мл ДСТ и инкубировали при заданной температуре в течение пяти мин. Определяли время истечения ДСТ при помощи секундомера.
Определение состава продуктов ферментолиза
За составом продуктов ферментолиза следили при помощи метода ВЭЖХ с использованием хроматографической системы высокого разрешения Agilent 1200 (Agilent Technologies, США) с бинарным насосом G1312B и автоматическим пробоотборником для микропланшетов G1377A. Детекцию вели с помощью электрохимического детектора ESA Coulochem III (ESA,США) в режиме пульсирующей амперометрии, использовали электрохимическую ячейку 5040 с золотым электродом. Разделение проводили на колонке Dionex Carbopac PA200 3 × 250 мм, оснащeнной префильтром Dionex CarboPac PA200 3 × 50 мм (Thermo Fisher Scientific, США). Скорость потока – 0.3 мл/мин, элюент A: NaOH 100 мМ, элюент B: NaOH 100 мМ + 500 мМ ацетат натрия. Программа элюции: А – 0–4 мин, 4–30 мин – линейный градиент до 60% В, 30–32 мин – градиент до 90% В, 32–34 мин – 90% В, 34–54 мин – элюент А. Объем вводимой пробы – 1 мкл с дополнительной промывкой иглы. Идентификацию и расчет концентрации сахаров проводили, сравнивая время удерживания и площадь пика со стандартами.
РЕЗУЛЬТАТЫ И ОБСУЖДЕНИЕ
Получение рекомбинантных штаммов серии P. verruculosum InuPel
Реципиентный ауксотрофный штамм P. verruculosum 537 (ΔniaD) был одновременно трансформирован тремя плазмидами pPel, pInu1-G338A и pSTA10, из которых pPel и pInu1-G338A являлись целевыми плазмидами c генами pela P. canescens и inu1 A. awamori, а pSTA10 обеспечивала возврат рекомбинантных штаммов к прототрофности и, соответственно, селекцию их на среде с 0.01 М NaNO3. Следует отметить, что в данном экcперименте был использован мутированный ген inu1, позволяющий вносить точечную замену G338A в белковую глобулу экзо-инулиназы A. awamori. По ранее полученным данным замена G338A увеличивала термостабильность экзо-инулиназы, соответственно повышая температуру плавления (Tm) на 3.5°С за счет увеличения жесткости α-спирали в белковой глобуле экзо-инулиназы (без изменения ее кинетических параметров [19]). Частота котрансформации составила в среднем 7–8 трансформантов на 1 мкг смеси ДНК, что соответствует стандартной частоте трансформации штамма P. verruculosum 537 при использовании CaCl2–ПЭГ методики [12].
В результате было получено 45 трансформантов, из которых проанализировали 15, обозначенных InuPel (1–15). Скрининг трансформантов осуществляли в качалочных колбах с использованием 100 мл среды СС. На 6 сутки культивирования были отобраны КЖ для проведения электрофоретического анализа и определения ферментативных активностей.
В табл. 2 приведены удельные ферментативные активности по отношению к инулину топинамбура и цитрусовому пектину, а также концентрации белка, измеренные в КЖ штаммов P. verruculosum InuPel (1–15) в сравнении с контрольным реципиентным штаммом P. verruculosum 537.
Таблица 2.
Удельные ферментативные активности в КЖ рекомбинантных штаммов серии InuPel и контрольного штамма-реципиента Table 2. Specific enzymatic activities in culture liquids of recombinant strains of the InuPel series and the control recipient strain
| Номер клона | Белок. мг/мл | Ферментативная активность. ед/мг | |
|---|---|---|---|
| Субстраты | |||
| цитрусовый пектин | инулин топинамбура | ||
| InuPel-1 | 6.0 ± 0.3 | – | 13.3 ± 0.7 |
| InuPel-2 | 7.1 ± 0.4 | 0.7 ± 0.3 | 0.20 ± 0.02 |
| InuPel-3 | 3.5 ± 0.2 | 2.9 ± 0.4 | 30.0 ± 0.7 |
| InuPel-4 | 7.8 ± 0.4 | – | 3.9 ± 0.2 |
| InuPel-5 | 4.5 ± 0.2 | 1.9 ± 0.3 | 11.0 ± 0.1 |
| InuPel-6 | 5.8 ± 0.3 | – | 41 ± 2 |
| InuPel-7 | 8.4 ± 0.4 | 5 ± 2 | 10.7 ± 0.5 |
| InuPel-8 | 2.3 ± 0.1 | 1.9 ± 0.1 | 8.1 ± 0.4 |
| InuPel-9 | 5.0 ± 0.2 | 2.6 ± 0.3 | 4.4 ± 0.2 |
| InuPel-10 | 2.7 ± 0.1 | 2.7 ± 0.4 | 28 ± 1 |
| InuPel-11 | 5.8 ± 0.3 | – | 6.5 ± 0.3 |
| InuPel-12 | 11.2 ± 0.6 | – | 0.23 ± 0.02 |
| InuPel-13 | 5.9 ± 0.3 | – | 0.21 ± 0.01 |
| InuPel-14 | 6.9 ± 0.3 | – | 0.13 ± 0.01 |
| InuPel-15 | 11.5 ± 0.6 | – | 7.6 ± 0.4 |
| Контроль, ФП-537 | 2.3 ± 0.1 | – | 0.24 ± 0.01 |
Из данных, приведенных в табл. 2, следует, что анализируемые трансформанты обладали различным набором целевых (инулиназной и пектинлиазной) активностей, критерием отбора клонов для дальнейшего исследования являлось наличие максимальной инулиназной и пектинлиазной активностей. Были отобраны 4 штамма: InuPel-3, InuPel-7, InuPel-9 и InuPel-10.
Активность сухих комплексных ФП InuPel-3, InuPel-7, InuPel-9 и InuPel-10
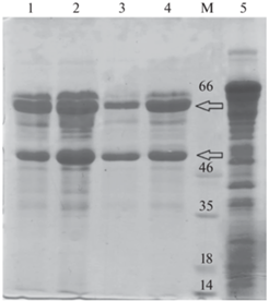
Сухие ФП InuPel-3, InuPel-7, InuPel-9 и InuPel-10 были получены после культивирования отобранных штаммов на ферментационных установках КФ-108. На ПААГ-электрофореграммах этих ФП (рис. 1) отчетливо видны полосы пектинлиазы (40 кДа) и экзо-инулиназы (56 кДа) – молекулярные массы этих ферментов были определены нами ранее в работах [12].
Рис. 1.
Электрофореграмма ферментных препаратов. 1 – ФП InuPel-3, 2 – ФП InuPel-7, 3 – ФП InuPel-9 и 4 – ФП InuPel-10, M – маркер молекулярной массы белков, 5 – ФП-537. Стрелками отмечены целевые рекомбинантные ферменты. Fig. 1. Electropherogram of enzyme preparations. 1 – EP InuPel-3, 2 – EP InuPel-7, 3 – EP InuPel-9 and 4 – EP InuPel-10, M – protein molecular weight marker, 5 – EP-537. Arrows indicate target recombinant enzymes.

Для дополнительного подтверждения гетерологичной экспрессии целевых ферментов был проведен масс-спектрометрический анализ, который определил соответствие структуры пептидов, полученных после трипсинолиза, искомым пептидам инулиназы A. awamori и пектинлиазы P. canescens.
В сухих ФП были определены удельные активности пектинлиазы и экзо-инулиназы, а также активности по отношению к стандартным полисахаридным субстратам: КМЦ, МКЦ и ксилану бука, а также пНФГ. Данные субстраты характеризуют активность основных компонентов целлюлазного комплекса: эндо- и экзо-деполимераз и ксиланазы, а также β-глюкозидазы (табл. 3).
Таблица 3.
Удельная активность комплексных и контрольного ферментных препаратов (ед/мг белка) и содержание в них целевых ферментов (%) Table 3. Specific activity of complex and control enzyme preparations (units/mg protein) and the content of target enzymes in them (%)
| ФП | Белок, мг/г | Субстраты | Ину. % | Пел. % | |||||
|---|---|---|---|---|---|---|---|---|---|
| КМЦ | ксилан | пНФГ | МКЦ | пектин | инулин | ||||
| InuPel-3 | 426 ± 21 | 6.9 ± 0.3 | 5.3 ± 0.3 | 2.6 ± 0.1 | 0.45 ± 0.04 | 1.51 ± 0.04 | 45 ± 5 | 55 | 24 |
| InuPel-7 | 453 ± 27 | 5.1 ± 0.3 | 7.0 ± 0.2 | 2.7 ± 0.2 | 0.54 ± 0.05 | 2.06 ± 0.05 | 40 ± 2 | 41 | 35 |
| InuPel-9 | 229 ± 9 | 2.9 ± 0.2 | 3.9 ± 0.3 | 3.4 ± 0.2 | 0.38 ± 0.05 | 2.49 ± 0.09 | 35 ± 2 | 48 | 30 |
| InuPel-10 | 349 ± 17 | 2.5 ± 0.2 | 2.8 ± 0.1 | 1.4 ± 0.1 | 0.55 ± 0.06 | 2.09 ± 0.07 | 50 ± 7 | 55 | 22 |
| К 537 | 490 ± 30 | 7.2 ± 0.8 | 9.8 ± 1.0 | 1.7 ± 0.1 | 2.5 ± 0.3 | – | 0.04 ± 0.01 | – | – |
ФП серии InuPel обладают разным соотношением удельных активностей инулиназы и пектинлиазы. Наибольшей (50 ед/мг) активностью по отношению к инулину топинамбура обладал ФП InuPel-10, активность по цитрусовому пектину была наиболее высокой в ФП InuPel-9 (2.49 ед/мг). Ранее нами было показано, что разница в соотношении гетерологичных активностей в рекомбинантных штаммах и, соответственно, в получаемых с их помощью ФП, объясняется количеством копий при встраивании гетерологичных генов в геном штамма-реципиента [27].
Следует отметить, что целлюлазные и ксиланазная активности в комплексных ферментных препаратах серии InuPel в целом снизились (более, чем в 2.5 раза), что характерно для ФП, имеющих в своем составе гетерологичные ферменты. Так, например, удельные активности по МКЦ, КМЦ и березовому ксилану в комплексных ФП, в состав которых входили гетерологичные пектинлиаза и полигалактуроназа, снизились в 2.1, 3.8 и 1.9 раз соответственно [12].
Термостабильность экзо-инулинаы и пектинлиазы в составе новых комплексных ферментных препаратов
Технологическая стадия гидролиза ДСТ экзо-инулиназой (ФП “Топилаза К”) на производстве при получении ФГС (ООО “ИстАгроДон”, Липецкая обл., г. Данков) проводится при температуре 60–65°С в течение 60 мин. Относительно высокая температура процесса обусловлена необходимостью максимально снизить возможность бактериальной контаминации ДСТ и продуктов гидролиза мезофильными микроорганизмами. Поэтому термостабильность ФП серии InuPel была изучена при 60°С.
На рис. 2 приведены зависимости остаточной активности экзо-инулиназы (рис. 2а) и пектинлиазы (рис. 2b) от времени инкубирования при 60°С.
Рис. 2.
Термостабильность ФП серии InuPel при Т = 60°С, определенная по различным субстратам: а – инулин топинамбура, b – цитрусовый пектин (условия: 0.1 М Na-ацетатный буфер, pH 5.0). Fig. 2. Thermal stability of the EP of the InuPel series at T = 60°C, determined on various substrates: a – Jerusalem artichoke inulin, b – citrus pectin (conditions: 0.1 M Na-acetate buffer, pH 5.0).

Все ФП серии InuPel сохраняют около 90% активности по отношению к инулину через час термостатирования при 60°С, что согласуется с ранее полученными данными (с учeтом того, что экзо-инулиназа имеет термостабилизирующую точечную мутацию G338A [19]).
В составе всех исследуемых ФП меньшую термостабильность, при 60°С проявляет пектинлиаза, период ее полуинактивации составляет не более 18 мин (что согласуется с полученными нами ранее данными [12]). Тем не менее, проведенный эксперимент показал, что комплексные ФП серии InuPel могут быть эффективно использованы в течение 20–60 мин. в технологической стадии ферментативного гидролиза ДСТ.
Испытание ФП серии InuPel на модельном ДСТ
Для испытания новых ФП серии InuPel в условиях, приближенных к технологическим, в лаборатории был смоделирован процесс экстракции ДСТ из клубней топинамбура сорта “Омский Белый”. Для этого стружку клубней топинамбура экстрагировали горячей водой. Содержание сухих веществ в экстракте было определено гравиметрическим методом и составило 167 мг/мл. Экстракт топинамбура был обработан ФП серии InuPel при дозировке 10 мг ФП на 1 г сухого вещества экстракта, а также двумя контрольными ФП: ФП 537 (представляющем собой высушенную КЖ штамма-реципиента P. verruculosum 537), и коммерческим ФП “Топилаза К” (высушенная КЖ штамма-продуцента немутированной экзо-инулиназы, полученного нами ранее [8]). Обработку ДСТ проводили при 60°С.
Зависимости концентрации ВС от времени воздействия ФП представлены на рис. 3.
Рис. 3.
Зависимость концентрации ВС от времени воздействия ферментными препаратами на ДСТ при 60°С. Fig. 3. Dependence of reducing sugars concentration on the time of exposure to diffusion juice of Jerusalem artichoke by enzyme preparations at 60°C.

Уже через 10 мин после начала воздействия ФП, обладающими гетерологичной активностью экзо-инулиназы, концентрация ВС выходит на плато. При этом наибольший выход ВС обеспечивал ФП InuPel-10 – около 120 мг/мл, что примерно на 10% больше, чем выход ВС при применении других ФП.
Содержание гетерологичных экзо-инулиназы и пектинлиазы в новых комплексных ФП, определенное денситометрическим методом, приведено в табл. 3.
Для ФП InuPel-3 и ФП InuPel-10 соотношение этих ферментов было примерно одинаково (55% экзо-инулиназы и 24–26% пектинлиазы), при этом содержание экзо-инулиназы в обоих ФП было по сравнению с другими ФП максимальным. По-видимому, в случае ФП InuPel-10 увеличение выхода ВС объясняется оптимальным соотношением собственных целлюлаз, что неоднократно наблюдалось для других комплексных ФП, полученных в системе экспрессии P. verruculosum [28, 29].
Для определения действия пектинлиазы в составе ФП серии InuPel была определена динамическая вязкость в необработанном ДСТ и ДСТ, обработанном новыми и контрольными ФП. Результаты измерения вязкости после 60 мин обработки каждым из ФП при 60°С представлены в табл. 4.
Таблица 4.
Динамическая вязкость необработанного ДСТ и ДСТ, обработанного ФП серии InuPel, ФП Топилаза К и ФП исходного штамма после 60 мин при 60°С Table 4. Dynamic viscosity of untreated DST and DST treated with FP of the InuPel series, FP Topilase K and FP of the original strain after 60 min at 60°C
| Ферментный препарат | Динамическая вязкость, Па с | % вязкости от исходной вязкости экстракта |
|---|---|---|
| Без ФП | 1.10 ± 0.05 | 100 |
| ФП InuPel-3 | 0.91 ± 0.05 | 83 ± 5 |
| ФП InuPel-7 | 0.91 ± 0.05 | 83 ± 5 |
| ФП InuPel-9 | 0.91 ± 0.05 | 83 ± 5 |
| ФП InuPel-10 | 0.91 ± 0.05 | 83 ± 5 |
| ФП 537 | 1.10 ± 0.05 | 100 |
| ФП Топилаза К | 1.04 ± 0.05 | 95 ± 5 |
ФП 537 (отрицательный контроль) не снижает вязкость ДСТ, что связано с отсутствием собственной пектинлиазы, а ФП “Топилаза К” (ФП экзо-инулиназы, применяемый на производстве ФГС) снижает вязкость ДСТ лишь на 5%. Несмотря на различное содержание пектинлиазы в новых комплексных ФП (табл. 3), снижение значения вязкости ДСТ после обработки ФП InuPel-3, ФП InuPel-7, ФП InuPel-9 и ФП InuPel-10 было максимальным (на 17% в сравнении с необработанным ДСТ), что свидетельствует о достаточности содержания пектинлиазы в новых ФП для расщепления пектиновой матрицы в ДСТ. Для дальнейшего исследования был отобран ФП InuPel-10, обеспечивавший максимальный выход ВС при обработке ДСТ.
Состав продуктов ферментолиза ДСТ
Для определения состава сахаров после обработки ДСТ контрольными ФП и ФП InuPel-10 был применен метод ВЭЖХ с электрохимическим детектированием. Результаты анализа приведены на рис. 4 и в табл. 5.
Рис. 4.
Хроматографические профили необработанного ДСТ и ДСТ, обработанного ФП InuPel-10 и ФП “Топилаза К” (Условия обработки: 60 мин, 60°С, pH 6.0). Fig. 4. Chromatographic profiles of untreated and treated with EP InuPel-10 and EP “Topilase K” diffusion juice of Jerusalem artichoke (Processing conditions: 60 min, 60°C, pH 6.0.

Таблица 5.
Концентрация сахаров в необработанном ДСТ и ДСТ после 60 минут обработки каждым из ФП при 60°С Table 5. Sugar concentration in untreated DST and DST after 60 minutes of treatment with each EP at 60°C
| Концентрация, мг/мл | Необработанный ДСТ | Обработка ФП InuPel-10 | Обработка ФП Топилаза К | Обработка ФП 537 |
|---|---|---|---|---|
| Глюкоза | 0.20 ± 0.01 | 19 ± 1 | 17 ± 0.9 | 0.20 ± 0.01 |
| Фруктоза | 6 ± 0.3 | 100 ± 5 | 79 ± 4 | 6 ± 0.3 |
| Сахароза | 14 ± 1 | 0.6 ± 0.03 | 24 ± 1 | 16 ± 1 |
Состав ДСТ представлен моно-сахарами (фруктозой и глюкозой), дисахарами (сахарозой и дифруктозой), а также инулином и олигофруктозой со степенью полимеризации до 27 (верхняя панель рис. 4 и табл. 5).
После 60 минутной обработки коммерческим ФП “Топилаза К” при 60°С на хроматограмме сохраняются пики высокомолекулярного инулина, а также наблюдается пик сахарозы (нижняя панель рис. 4 и табл. 5). Можно предположить, что неполный гидролиз инулина в ДСТ в данном случае связан с недостаточной термостабильностью ФП “Топилаза К” при 60°С. Другими словами, экзо-инулиназа в составе “Топилазы К” инактивируется раньше, чем проходит полный гидролиз инулина. Этим же объясняется и наличие пика сахарозы. Известно, что экзо-инулиназа A. awa-mori обладает значительной инвертазной активностью [30], что приводит к гидролизу сахарозы на фруктозу и глюкозу. В случае обработки ДСТ “Топилазой К” наблюдается остаточная сахароза, что может объясняться преждевременной инактивацией экзо-инулиназы.
При обработке ДСТ ФП InuPel-10, содержащим термостабильную форму экзо-инулиназы A. awa-mori, пиков инулина и сахарозы не наблюдается (средняя панель рис. 4 и табл. 5), что свидетельствует о наиболее полном гидролизе инулина ДСТ.
Немаловажным аспектом является экономическая эффективность нового комплексного ФП в сравнении с индивидуальными ФП пектинлиазы и экзо-инулиназы (“Топилаза К”), которые потенциально могут быть смешаны в эффективном соотношении 1 : 2. Однако использование комплексного ФП InuPel-10 в производстве ФГС позволит сократить расходы на ФП на 10–16%. Данный экономический эффект связан с тем, что производство ФП индивидуальной пектинлиазы (например, на заводе ООО “Агрофермент”, Тамбовская обл.) в меньшем необходимом объеме требует использования всей технологической линии, рассчитанной на более крупные объемы. В связи с этим, удельная стоимость ФП “Топилаза К” и ФП пектинлиазы будет выше стоимости ФП InuPel-10.
Таким образом, замена ФП “Топилаза К”, используемого при производстве фруктозо-глюкозных сиропов, на ФП InuPel-10 потенциально позволяет увеличить выход фруктозы и глюкозы, повысить эффективность процесса, а также снизить нагрузку на технологическое оборудование на стадии микрофильтрации за счeт снижения вязкости ДСТ.
Список литературы
White J.S. Straight talk about high-fructose corn syrup: What it is and what it ain’t. Am. J. Clin. Nutr., 2008, 88(6), 1716–1721. https://doi.org/10.3945/ajcn.2008.25825B
Старовойтова О.А., Старовойтов В.И., Манохина А.А. Особенности хранения топинамбура. Вестник ФГОУ ВПО МГАУ, 2018, 85(3), 7–12. https://doi.org/10.26897/1728-7936-2018-3-7-12
Шаззо Р.И., Тамазова С.Ю., Фатькина Е.В., Купин Г.А. Изменение химического состава топинамбура позднеспелого сорта Интерес в период роста растения. Хранение и переработка сельхозсырья, 2013, 12, 12–13.
Loo J., Coussement P., Leenheer L., Hoebreg H., Smits G. On the Presence of Inulin and Oligofructose as Natural Ingredients in the Western Diet. Crit. Rev. Food Sci., 1995, 35(6), 525–552. https://doi.org/10.1080/10408399509527714
Chi Z.M., Zhang T. Cao T.S., Liu X.Y., Cui W., Zhao C.H. Biotechnological potential of inulin for bioprocesses. Bioresour. Technol., 2011, 102(6), 4295–4303. https://doi.org/10.1016/j.biortech.2010.12.086
Rubel I.A., Iraporda C., Novosad R., Cabrera F.A., Genovese D.B., Manrique G.D. Inulin rich carbohydrates extraction from Jerusalem artichoke (Helianthus tuberosus L.) tubers and application of different drying methods. Food Res. Int., 2018, 103, 226–233. https://doi.org/10.1016/j.foodres.2017.10.041
Волков П.В., Синицына О.А., Федорова Е.А., Рожкова А.М., Сатрутдинов А.Д., Зоров И.Н., Окунев О.Н., Гусаков А.В., Синицын А.П. Выделение и свойства рекомбинантных инулиназ Aspergillus sp. Биохимия, 2012, 77(5), 611–621.
Синицын А.П., Рожкова А.М., Зоров И.Н., и др. Рекомбинантный штамм мицелиального гриба Penicillium verruculosum (варианты) и способ получения ферментного препарата и его использование (варианты). Патент РФ 2646136, приор. 02.12.2015, опубл. 01.03.2018.
Синицына О.А., Федоpова Е.А., Семенова М.В., Гусаков А.В., Соколова Л.М., Бубнова Т.М., Окунев О.Н., Чулкин А.М., Вавилова Е.А., Винецкий Ю.П.,Синицын А.П. Выделение и свойства внеклеточной пектинлиазы Peniсillium canescens. Биохимия, 2007, 72(5), 699–706.
Бушина Е.В., Рубцова Е.А., Рожкова А.М., Синицына О.А., Кошелев А.В., Матыс В. Ю., Немашкалов В.А., Синицын А.П., Создание продуцентов целлюлолитических и пектолитических ферментов на основе гриба Penicillium verruculosum. Прикладная биохимия и микробиология, 2015, 51(4), 402–411. https://doi.org/10.7868/S0555109915040042
Волчок А.А., Бушина Е.В., Рожкова А.М., Зоров И.Н., Щербаков С.С., Синицын А.П. Ферментные комплексы нового поколения для соковой промышленности. Биотехнология, 2013, 5, 78–89.
Бушина Е.В., Рожкова А.М., Зоров И.Н., Сатрутдинов А.Д., Беккаревич А.О., Кошелев А.В., Окунев О.Н., Синицын А.П. Создание комплексных ферментных препаратов пектиназ и целлюлаз для переработки свекловичного жома, Прикладная биохимия и микробиология, 2012, 48(5), 543–549.
Семенова М.В., Рожкова А.М., Осипов Д.О., Сатрутдинов А.Д., Синицына О.А., Рубцова Е.А., Кондратьева Е.Г., Синицын А.П. Подбор оптимального комплекса ферментов для гидролиза углеводов свекловичного жома. Прикладная биохимия и микробиология, 2019, 55(6), 586–593. https://doi.org/10.1134/S0555109919050118
Семенова М.В., Курышкина М.С., Синицын А.П. Синергетическое взаимодействие арабиназ разного типа действия при биоконверсии свекловичного жома и яблочных выжимок. Прикладная биохимия и микробиология, 2023, 59(5), 182–190. https://doi.org/10.31857/S0555109923020137
Volchok A.A., Rozhkova A.M., Zorov I.N., Scherbakov S.S., Sinitsyn A.P. Production of fruit wines using novel enzyme preparations. J. Int. Sci. Vigne Vin, 2015, 49, 205–215. https://doi.org/10.20870/oeno-one.2015.49.3.80
Волчок А.А., Рожкова А.М., Зоров И.Н., Щербаков С.С., Синицын А.П. Предобработка виноградной мезги ферментами нового поколения при изготовлении столовых вин. Виноделие и Виноградарство, 2014, 1, 36–39.
Синицын А.П., Синицына О.А., Рожкова А.М. Получение промышленно важных ферментов на основе экспрессионной системы гриба Penicillium verruculosum. Биотехнология, 2020, 36(6), 17–34. https://doi.org/10.21519/0234-2758-2020-36-6-17-34
Aleksenko A.Y., Makarova N.A., Nikolaev I.V., Clutterbuck A.J. Integrative and replicative transformation of Penicillium canescens with a heterologous nitrate-reductase gene. Curr. Genet., 1995, 28(5), 474–477. https://doi.org/10.1007/BF00310818
Dotsenko A.S., Denisenko Y.A., Zorov I.N., Wasserman L., Semenova M.V., Korolev A., Rozhkova A.M., Sinitsyn A.P. Single substitution in α-helix of active center enhanced thermostability of Aspergillus awamori exo-inulinase. J. Mol. Graf.Model., 2023, 119, 108381. https://doi.org/10.1016/j.jmgm.2022.108381
Sinitsyn A.P., Osipov D.O., Rozhkova A.M., Bushina E.V., Dotsenko G.S., Sinitsyna O.A., Kondrat’eva E.G., Zorov I.N., Okunev O.N., Nemashkalov V.A., Matys V.Y., Koshelev A.V. The production of highly effective enzyme complexes of cellulases and hemicellulases based on the Penicillium verruculosum strain for the hydrolysis of plant raw materials. Appl. Biochem. Microbiol., 2014, 50(8), 761–772. https://doi.org/10.1134/S0003683814080055
Gusakov A.V., Semenova M.V., Sinitsyn A.P. Mass spectrometry in the study of extracellular enzymes produced by filamentous fungi. J. Anal. Chem., 2010, 65(14), 1446–1461. https://doi.org/10.1134/S1061934810140030
Somogyi M. A new reagent for the determination of sugars. J. Biol. Chem.? 1952, 195, 19–23.
Синицын А.П., Гусаков А.В., Черноглазов В.М. Биоконверсия лигноцеллюлозных материалов. Учебное пособие. М: Изд-во МГУ, 1995, 224.
Cиницын А.П., Черноглазов В.М., Гусаков А.В. Методы исследования и свойства целлюлолитических ферментов. М.: ВИНИТИ, 1990, 25, 30–37.
Collmer A., Ried J.L., Mount M.S. Methods in Enzymol., 1988, 161, 329–335.
Досон Р., Эллиот Д., Эллиот У., Джонс К. Справочник биохимика. М: Мир, 1991, 544.
Чулкин А.М., Кислицин В.Ю., Зоров И.Н., Синицын А.П., Рожкова А.М. Определение копийности целевых генов карбогидраз в рекомбинантных штаммах гриба Penicillium verrucuosum. Биотехнология, 2019, 35(5), 51–57. https://doi.org/10.21519/0234-2758-2019-35-5-51-57
Karp S.G., Osipov D.O., Semenova M.V., Rozhkova A.M., Zorov I.N., Sinitsyna O.A., Soccol C.R., Sinitsyn A.P. Effect of novel Penicillium verruculosum enzyme preparations on the saccahrification of acid- and alkali-pretreated agro-industrial residues. Agronomy, 2020, 10, 1348.https://doi.org/10.3390/agronomy10091348
Семёнова М.В., Гусаков А.В., Телицин В.Д., Матыс В.Ю., Бубнова Т.В., Немашкалов В.А., Рожкова А.М., Синицын А.П. Новый ферментный препарат, содержащий полисахаридмонооксигеназу и β-глюкозидазу – синергетические добавки к целлюлазам. Прикладная биохимия и микробиология, 2022, 58(4), 366–373.https://doi.org/10.31857/S0555109922040146
Синицына О.А., Рубцова Е.А., Осипов Д.О., Кондратьева Е.Г., Семенова М.В., Королев А.И., Ярошенко Е.В., Рожкова А.М., Немашкалов В.А., Синицын А.П. Сравнительный анализ свойств рекомбинантных эндоинулиназы, экзоинулиназы, сахаразы и α-галактозидазы С. Биотехнология, 2022, 38(2), 14–25. https://doi.org/10.56304/S0234275822020077
Дополнительные материалы отсутствуют.


