Известия РАН. Серия биологическая, 2022, № 3, стр. 227-236
Развитие и функционирование сетчатой зоны коркового вещества надпочечников крыс, подвергавшихся пренатальному и постнатальному воздействию эндокринного дисраптора ДДТ
Н. В. Яглова 1, *, С. С. Обернихин 1, С. В. Назимова 1, Е. П. Тимохина 1, Д. А. Цомартова 1, В. В. Яглов 1
1 НИИ морфологии человека
117418 Москва, ул. Цюрупы, 3, Россия
* E-mail: yaglova@mail.ru
Поступила в редакцию 28.12.2020
После доработки 30.04.2021
Принята к публикации 25.11.2021
- EDN: WFCGYC
- DOI: 10.31857/S1026347022030179
Аннотация
Исследованы параметры постнатального развития и его транскрипционной регуляции, а также функционирования сетчатой зоны коркового вещества надпочечников крыс, подвергавшихся пренатальному и постнатальному воздействию эндокринного дисраптора дихлордифенилтрихлорэтана (ДДТ). Установлено, что развитие организма в условиях воздействия эндокринного дисраптора замедляет темпы развития и функционального становления сетчатой зоны. Установлены механизмы дисморфогенетического действия ДДТ, заключающиеся в изменении экспрессии транскрипционных факторов PRH, Oct4, лиганда Shh и активации канонического Wnt-сигналинга. Полученные данные также демонстрируют важную роль факторов плюрипотентности в обеспечении нормального рос
Сетчатая зона коркового вещества надпочечников играет ключевую роль в процессе полового созревания, поскольку его первый этап – адренархе начинается с активации синтеза половых стероидов именно в ней. Адренархе является многофакторным событием, однако регулирующие механизмы этого процесса представляют одну из самых малоизученных областей в функциональной дифференцировке надпочечников. Нарушение функционирования сетчатой зоны может негативно повлиять на половое созревание, а в дальнейшем и на репродуктивную функцию. Одной из ведущих причин нарушения развития желез внутренней секреции является действие антропогенных факторов, и в первую очередь, эндокринных дисрапторов (Xu et al., 2014; Bellanger et al., 2015; Oliveira et al., 2019; Papalou et al., 2019). В последние годы отмечается значительное увеличение случаев врожденных аномалий развития и нарушений функционирования мужской и женской репродуктивной системы, что обусловливает значительный интерес исследователей к этой проблеме (Ozen, Darcan, 2011; Gore et al., 2015). Эндокринные дисрапторы – химические соединения антропогенного происхождения, которые обладают способностью нарушать различные стадии синтеза гормонов и их взаимодействия с клетками-мишенями. В настоящее время самым распространенным эндокринным дисраптором является дихлордифенилтрихлорэтан (ДДТ) (World…, 2012). Являясь стойким загрязнителем с длительным периодом полураспада, он персистирует во всех экосистемах планеты и при попадании в организм депонируется в клетках за счет высокой липофильности и способности проникать через гистогематические барьеры. Как эндокринный дисраптор он обладает антиандрогенными свойствами, реализуемыми благодаря способности связываться с рецепторами андрогенов (Ouyang et al., 2005; Aneck-Hahn et al., 2007), а также нарушает йод-аккумулирующую функцию щитовидной железы (Yaglova, Yaglov, 2015). Многочисленные мониторинговые исследования населения различных стран и континентов показывают, что низкодозовое воздействие ДДТ, вызывает разнообразные структурные и функциональные нарушения репродуктивной системы мужчин и женщин, однако изменения в сетчатой зоне надпочечников и связанные с ними эндокринные заболевания и нарушения репродуктивного здоровья практически не изучены.
Цель работы – установить изменения в развитии и функционировании сетчатой зоны коркового вещества надпочечников крыс и выявить особенности регуляции этих процессов при развитии организма в условиях непрерывного пренатального и постнатального воздействия эндокринного дисраптора ДДТ.
МАТЕРИАЛЫ И МЕТОДЫ
Эксперимент выполнен на самцах крыс Вистар (n = 48) (филиал “Столбовая” Научного центра биомедицинских технологий). За животными, которые содержались в виварии, осуществляли уход по нормам и правилам обращения с лабораторными животными в соответствии с Международными рекомендациями по проведению медико-биологических исследований с использованием животных (1985 г.), правилами лабораторной практики в Российской Федерации (Приказ МЗ РФ от 19.06.2003 г. № 267) и законом “О защите животных от жестокого обращения” (гл. V, ст. 10, 4679-ГД от 01.12.1999 г.).
Крысы опытной группы (n = 24) были получены от самок, которые с первого дня ссаживания с самцами в течение всей беременности и периода лактации, длящегося 21 сутки, вместо воды получали раствор о,п-ДДТ (концентрация 20 мкг/л). С 22-х сут потомство самостоятельно потребляло аналогичный раствор ДДТ до 42-х сут постнатального развития, т.е. до достижения ими пубертатного периода (группа ДДТ Е0-Р42) и постпубертатного периода, а именно 70-х сут (группа ДДТ Е0-Р70), когда развитие надпочечников у крыс достигает максимума (Pignatelli et al., 2006). Потребляемые дозы ДДТ учитывали ежедневно. Самостоятельное потребление ДДТ крысами составило 2.90 ± 0.12 мкг/(кг · сут). Это кинетически обоснованная доза, соответствующая потреблению ДДТ человеком с продуктами питания в развитых странах (Yamazaki et al., 2010). Потребляемую дозу ДДТ рассчитывали с учетом требований к определению низких доз (Vandenberg et al., 2012) и нормативов содержания ДДТ в продуктах питания в Российской Федерации (Технический регламент Таможенного союза ТР ТС 021/2011, 2015). Крысы контрольной группы потребляли водопроводную воду. Отсутствие ДДТ и его метаболитов, а также родственных хлорорганических соединений в лабораторном корме и водопроводной воде было установлено методом газожидкостной хроматографии. Животных опытной и контрольной групп выводили из эксперимента передозировкой золетила.
Надпочечники фиксировали в жидкости Буэна. Изготавливали гистологические препараты экваториальных срезов надпочечников, которые окрашивали гематоксилином и эозином (“Биовитрум”, Россия). Препараты изучали методом световой микроскопии с использованием микроскопа Leica DM2500 (“Leica Microsystems, Gmbh, “Германия).
Морфометрическое исследование препаратов надпочечников проводили с помощью программы ImageScope (“Leica Microsystems”). Определяли общую площадь коркового вещества, а также площадь сетчатой зоны, вычисляли долю площади сетчатой зоны. В сетчатой зоне подсчитывали число кортикостероцитов в 1 мм2 среза и их размеры.
Пролиферативную активность кортикостероцитов коркового вещества надпочечников определяли методом иммуногистохимии в парафиновых срезах с помощью поликлональных антител к Ki-67 (“Cell Marque”, США). Число Ki-67-позитивных клеток выражали в процентах.
Экспрессию транскрипционных факторов Proline-rich homeodomen (PRH) и Oct4, а также лиганда Sonic Hedgehog (Shh) определяли иммуногистохимическим методом с использованием поликлональных антител (“Abcam”, США). Подсчитывали процент иммунопозитивных клеток. Иммуногистохимическое выявление β-катенина в кортикостероцитах сетчатой зоны надпочечников проводили с помощью моноклональных антител (“Cell Marque”). Подсчитывали по отдельности число клеток с мембранной, цитоплазматической и ядерной локализациями β-катенина и выражали в виде процентов от общего числа клеток. Активацию канонического Wnt/β-катенин-сигналинга оценивали по накоплению β-катенина в цитоплазме и транслокации его в ядро (Berthon et al., 2012; Kim et al., 2013). Для проявления иммунопероксидазной реакции использовали набор реактивов UltraVision LP detection system (“ThermoFisher Scientific”, США). Срезы докрашивали гематоксилином Майера.
Для изучения функциональной активности сетчатой зоны определяли концентрации надпочечниковых половых стероидов андростендиона и эстрона в сыворотке крови методом иммуноферментного анализа с помощью коммерческих наборов (“Cusabio”, Китай).
Полученные данные подвергали статистическому анализу с помощью программы Statistica 7.0 (“Statsoft Inc.”, США). Для описания количественных признаков проводили анализ соответствия вида распределения признака закону нормального распределения с использованием критериев Колмогорова–Смирнова, Лиллиефорса, Шапиро–Уилка. Для описания центральных тенденций и рассеяния количественных признаков, имеющих приближенно нормальное распределение, использовали среднее значение и стандартную ошибку среднего значения (М ± m). Сравнение независимых групп по количественному признаку проводили с помощью t-критерия Стьюдента с учетом значений критерия Левена о равенстве дисперсий, по качественному признаку – с помощью χ2. Статистически значимыми различия считались при р < 0.01.
РЕЗУЛЬТАТЫ ИССЛЕДОВАНИЯ
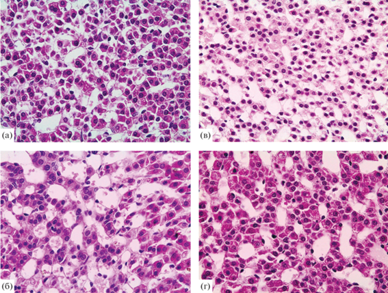
Морфологическая характеристика сетчатой зоны надпочечников крыс. При гистологическом исследовании надпочечников крыс пубертатного возраста сетчатая зона коркового вещества надпочечников была хорошо выражена и представляла собой сеть кортикостероцитов, разделенных синусоидными капиллярами. Ее доля составляла примерно менее половины площади коркового вещества. В наружной части сетчатой зоны клетки имели кубическую форму и округлые ядра. При переходе к внутренней части зоны, клетки становились меньше, приобретали полигональную форму. Их ядра уменьшались и становились гиперхромными (табл. 1, рис. 1а).
Таблица 1.
Морфологические характеристики сетчатой зоны коркового вещества надпочечников крыс, подвергавшихся пренатальному и постнатальному воздействию низких доз ДДТ, и контрольной группы в различных возрастных периодах (M ± m)
| Параметр | Контрольная группа | Подвергавшиеся пренатальному и постнатальному воздействию ДДТ |
|---|---|---|
| Пубертатный период: | ||
| Площадь сетчатой зоны, мм2 | 2.02 ± 0.09 | 1.75 ± 0.69* |
| Доля площади сетчатой зоны в корковом веществе, % | 41.36 ± 2.36 | 37.16 ± 1.32* |
| Количество клеток в 1мм2 сетчатой зоны | 6983.75 ± 197.15 | 5653.00 ± 192.85* |
| Площадь кортикостероцита сетчатой зоны, мкм2 | 66.70 ± 3.07 | 94.45 ± 4.72* |
| Площадь среза ядра кортикостероцита сетчатой зоны, мкм2 | 22.00 ± 0.51 | 24.51 ± 0.46* |
| Постпубертатный период: | ||
| Площадь сетчатой зоны, мм2 | 1.91 ± 0.26 | 2.39 ± 0.15*# |
| Доля площади сетчатой зоны в корковом веществе, % | 31.91 ± 0.56# | 36.58 ± 0.98* |
| Количество клеток в 1мм2 сетчатой зоны | 7585.00 ± 330.81 | 5982.00 ± 154.64* |
| Площадь кортикостероцита сетчатой зоны, мкм2 | 58.91 ± 1.42# | 70.77 ± 1.87*# |
| Площадь среза ядра кортикостероцита сетчатой зоны, мкм2 | 21.60 ± 0.29 | 22.93 ± 0.47*# |
Рис. 1.
Структура сетчатой зоны надпочечников крыс контрольной группы в пубертатном (а) и постпубертатном (в) периодах и крыс, подвергавшихся пре- и постнатальному воздействию низких доз ДДТ (б, г) в соответствующих возрастных периодах. Окраска гематоксилином и эозином. Ув. ×400.

У крыс, развивавшихся в условиях воздействия эндокринного дисраптора ДДТ, сетчатая зоны была менее развита, её площадь и количество клеток в единице площади среза было значительно меньше, чем у животных контрольной группы. Кортикостероциты были крупнее и имели ядра больших размеров, чем в контрольной группе (табл. 1, рис. 1б).
После достижения половой зрелости, а именно на 70-е сутки, когда надпочечник достигает своей наивысшей точки своего развития, сетчатая зона у крыс контрольной группы не претерпела существенных морфологических изменений. Ее доля незначительно снизилась и составила примерно треть площади коркового вещества. Размеры кортикостероцитов сетчатой зоны также незначительно уменьшились (табл. 1, рис. 1в).
У крыс, развивавшихся в условиях непрерывного воздействия ДДТ, в аналогичном возрасте сетчатая зона была развита сильнее и превышала как абсолютные, так и относительные размеры сетчатой зоны крыс контрольной группы. Кортикостероциты и их ядра имели большие размеры, по сравнению с контрольными животными, но их количество в единице площади среза сетчатой зоны было меньшим, как и в предыдущем сроке исследования. Однако за счет большего размера сетчатой зоны общее количество клеток в ней в экваториальном срезе надпочечников не отличалось от значений контрольной группы (табл. 1, рис. 1г).
Пролиферативная активность кортикостероцитов сетчатой зоны надпочечников. У крыс контрольной группы Ki-67-положительные клетки выявлялись в сетчатой зоне как в пубертатном, так и постпубертатном периодах. Но активность пролиферативных процессов после достижения половой зрелости была значительно меньшей, чем в периоде полового созревания (рис. 2).
Рис. 2.
Соотношение Ki-67-позитивных кортикостероцитов в сетчатой зоне коркового вещества надпочечников крыс контрольной группы в пубертатном (Р42) и постпубертатном (Р70) периодах и крыс, подвергавшихся пре- и постнатальному воздействию низких доз ДДТ (M ± m). * – статистически значимые отличия от значений контрольной группы, # – от соответствующих значений в пубертатном периоде (р < 0.01); для рис. 1–6.

У крыс, развивавшихся в условиях воздействия эндокринного дисраптора ДДТ, пролиферативная активность кортикостероцитов сетчатой зоны в пубертатном периоде была статистически значимо меньше значений контрольной группы, а после достижения половой зрелости также уменьшилась и не отличалась от контрольных значений (рис. 2).
Экспрессия транскрипционного фактора PRH в сетчатой зоне надпочечников. У крыс контрольной группы пубертатного возраста PRH-положительные кортикостероциты не были выявлены. После наступления половой зрелости обнаружено небольшое число PRH-экспрессирующих клеток в сетчатой зоне (рис. 3). У крыс, развивавшихся при воздействии эндокринного дисраптора ДДТ, в периоде полового созревания PRH-положительные кортикостероциты также не выявляли, а в постпубертатном периоде их процент был вдвое меньше значений контрольной группы (рис. 3).
Рис. 3.
Соотношение PRH-позитивных кортикостероцитов в сетчатой зоне коркового вещества надпочечников крыс контрольной группы в пубертатном (Р42) и постпубертатном (Р70) периодах и крыс, подвергавшихся пре- и постнатальному воздействию низких доз ДДТ (M ± m).

Экспрессия транскрипционного фактора Oct4 в сетчатой зоне надпочечников. У крыс контрольной группы численность Oct4-положительных кортикостероцитов уменьшалась после достижения животными половой зрелости (рис. 4). У крыс, развивавшихся при воздействии эндокринного дисраптора ДДТ, показатели экспрессии Oct4 отличались от контрольных в обеих возрастных периодах. В пубертатном возрасте процент Oct4-положительных клеток был меньше, чем в контрольной группе, а после достижения половой зрелости значительно увеличился, существенно превысив значения возрастного контроля (рис. 4).
Рис. 4.
Соотношение Oct4-позитивных кортикостероцитов в сетчатой зоне коркового вещества надпочечников крыс контрольной группы в пубертатном (Р42) и постпубертатном (Р70) периодах и крыс, подвергавшихся пре- и постнатальному воздействию низких доз ДДТ (M ± m).

Экспрессия Shh в сетчатой зоне надпочечников. Численность кортикостероцитов, экспрессирующих Shh, в сетчатой зоне крыс контрольной группы была больше, чем экспрессирующих транскрипционный фактор Oct4, но в отличие от Oct4, она не изменялась в процессе полового созревания (рис. 5). У крыс, развивавшихся при воздействии эндокринного дисраптора ДДТ, в пубертатном периоде процент Shh-положительных клеток соответствовал значениям контрольной группы, а после достижения половой зрелости уменьшился (рис. 5).
Рис. 5.
Соотношение Shh-позитивных кортикостероцитов в сетчатой зоне коркового вещества надпочечников крыс контрольной группы в пубертатном (Р42) и постпубертатном (Р70) периодах и крыс, подвергавшихся пре- и постнатальному воздействию низких доз ДДТ (M ± m).

Экспрессия β-катенина и активация канонического Wnt-сигналинга в кортикостероцитах сетчатой зоны надпочечников. У крыс контрольной группы пубертатного возраста экспрессия β-катенина обнаруживалась в каждом четвертом кортикостероците. Абсолютное большинство β-катенин-положительных клеток характеризовалось содержанием β-катенина в составе наружных цитоплазматических мембран. Цитоплазматическая и ядерная локализации β-катенина встречались значительно реже. После достижения половой зрелости доля β-катенин-экспрессирующих клеток значительно уменьшилась, причем в основном за счет уменьшения числа клеток с мембранной локализацией белка. Численность клеток с ядерным содержанием β-катенина, свидетельствующий об активации канонического Wnt-сигналинга, не изменялась с возрастом и составляла ~2% (рис. 6).
Рис. 6.
Соотношение кортикостероцитов с различной внутриклеточной локализацией β-катенина в сетчатой зоне коркового вещества надпочечников крыс контрольной группы в пубертатном (Р42) и постпубертатном (Р70) периодах и крыс, подвергавшихся пре- и постнатальному воздействию низких доз ДДТ (M ± m). 1–4 – всего, мембрана, цитоплазма и ядро соответственно.

У крыс, развивавшихся при воздействии эндокринного дисраптора ДДТ, в пубертатном периоде выявлен значительно больший процент β-катенин-положительных кортикостероцитов. Это было обусловлено увеличением числа клеток с мембранной и цитоплазматической локализацией белка. Процент клеток с ядерным расположением β-катенина был меньше контрольных значений. После достижения половой зрелости процент экспрессирующих β-катенин кортикостероцитов также уменьшился и отличался от значений контрольной группы соответствующего возраста только меньшим содержанием клеток с транслокацией β-катенина в ядро. Статистически значимых изменений в относительном содержании кортикостероцитов с ядерной локализацией β-катенина при переходе от полового созревания к половой зрелости не было обнаружено (рис. 6).
Продукция половых стероидов в сетчатой зоне. Определение концентрации половых стероидов андростендиона и эстрона в системном кровотоке выявило закономерное уменьшение их продукции после достижения половой зрелости у крыс контрольной группы (рис. 7). У крыс, развивавшихся при воздействии эндокринного дисраптора ДДТ, концентрация андростендиона также уменьшалась после достижения половой зрелости, но и в пубертатном и постпубертатном периодах она была ниже контрольных значений (рис. 7а). Концентрация эстрона не уменьшалась с возрастом и была статистически значимо меньшей и в периоде полового созревания и после его завершения (рис. 7б).
ОБСУЖДЕНИЕ РЕЗУЛЬТАТОВ
Гистологическое исследование показало, что у животных, развивавшихся при воздействии эндокринного дисраптора, и контрольной группы показатели постнатального развития сетчатой зоны отличались. Выявленные особенности структуры в сочетании с пониженной пролиферативной активностью клеток в пубертатном возрасте указывают на отставание в развитии сетчатой зоны. Известно, что у крыс в период адренархе сетчатая зона является основным продуцентом половых гормонов андростендиона и эстрона (Pignatelli et al., 2006). Обнаруженное снижение продукции этих гормонов у животных, развивавшихся в условиях воздействия эндокринного дисраптора, свидетельствует о пониженной функциональной активности клеток сетчатой зоны и подтверждает данные о замедлении ее развития, выявленные при гистологическом исследовании, что в свою очередь указывает и на изменение темпов полового созревания организма. Изучение экспрессии факторов, контролирующих морфогенетические процессы, показывает, что воздействие эндокринного дисраптора на развивающийся организм с начала пренатального этапа онтогенеза изменяет транскрипционную регуляцию процессов пролиферации и дифференцировки клеток. Известно, что в корковом веществе надпочечников существует сложная система обновления клеток, в которой адаптивное структурное ремоделирование достигается не только путем баланса между пролиферацией клеток и апоптозом (Yaglova et al., 2019a, 2019b).
Согласно теории центростремительной миграции, обновление кортикостероцитов всех зон происходит фактически из одного предшественника – камбиальных клеток, которые локализуются под капсулой или в промежуточной зоне, а затем мигрируют в направлении мозгового вещества, изменяя при этом свой фенотип (Bird, 2012). Вторым механизмом пополнения пула адренокортикальных клеток является клеточная пластичность – способность клеток принимать альтернативную функциональную идентичность в ответ на гормональные сигналы и сигналы клеточного микроокружения. Одной из форм пластичности является дедифференцировка, при которой дифференцированная клетка превращается в менее дифференцированную клетку в пределах одной и той же линии ткани (Tetteh et al., 2015). Такое преобразование дифференцированных клеток путем транс- или дедифференцировки обеспечивает альтернативу регенерации путем мобилизации стволовых клеток-предшественников. Эта функциональная избыточность поддерживает гомеостаз и обеспечивает оптимальную адаптацию к стрессу (Bielinska et al., 2006). Дифференцировка, обновление и функционирование адренокортикальных клеток стимулируются различными эндокринными/паракринными факторами, включая адренокортикотропин, ангиотензин II, инсулинсвязывающие факторы роста, лютеинизирующий гормон, активин и ингибин (Bielinska et al., 2006; Laufer et al., 2012). Следовательно, эндокринные дисрапторы могут влиять на морфогенетические процессы, нарушая их регуляцию. Oct4 – один из ключевых факторов, обеспечивающих поддержание эмбриональных клеток в плюрипотентном состоянии и способных вызывать дедифференцировку дифференцированных клеток во взрослом организме в ответ на вышеуказанные стимулы (Yu et al., 2007). Кроме того, показано, что зонирование и регенерация коры надпочечников контролируются сигнальными путями развития, такими как Shh и WNT/β-катенин-сигналинг (Halder et al., 1998; Kim et al., 2008; Ching et al., 2009). Обнаруженное нами в сетчатой зоне крыс контрольной группы небольшое количество Oct4- и Shh-позитивных клеток может свидетельствовать о наличии собственного пула клеток с менее высокой степенью дифференцировки или готовых к изменению дифференцировки для обеспечения физиологической регенерации зоны (Penny et al., 2017; Finco et al., 2018; Yaglova et al., 2020). Завершение процессов окончательного формирования сетчатой зоны к 70-м суткам, характеризуется, кроме того, появлением не выявляемого ранее транскрипционного фактора PRH, который обладает ингибирующим действием на процессы пролиферации кортикостероцитов и хромаффиноцитов в постнатальном развитии надпочечника (Yaglova et al., 2018; Yaglova et al., 2019a). Оценка экспрессии β‑катенина кортикостероцитами выявила значительные отличия, свидетельствующие об изменениях постнатального морфогенеза сетчатой зоны. β-катенин обнаруживался в кортикостероцитах в трех своих типичных субклеточных локализациях: в мембране, цитоплазме и ядре. Мембранный β-катенин, как известно, образует комплекс с Е‑кадгерином в составе плотных контактов, цитоплазматический образуется при активации Wnt-сигналинга и транслоцируется в ядро, активируя транскрипцию Wnt-зависимых (Brembeck et al., 2006; Yates et al., 2013). Усиленная экспрессия β-катенина и повышенное его содержание в наружных цитоплазматических мембранах в пубертатном периоде у крыс, развивавшихся при воздействии эндокринного дисраптора, может указывать на то, что сетчатая зона находится в более ранней стадии развития – формирования структуры, так как размеры зоны меньше, чем у контрольных животных, клетки характеризуются пониженной пролиферацией, а также усиленным формированием межклеточных контактов, что, в свою очередь, препятствует увеличению пролиферативной активности клеток (Shraiman et al., 2004; Ribatti, 2017). В норме такие характеристики сетчатой зоны должны наблюдаться ранее, до периода адренархе. Увеличение численности Oct4-экспрессирующих клеток после достижения половой зрелости также свидетельствует о задержке в формировании пула клеток, необходимых для формирования зон пролиферации. Активация экспрессии Oct4 в сетчатой зоне после достижения половой зрелости у подвергавшихся воздействию низких доз ДДТ крыс происходила на фоне снижения активности Shh пути, обеспечивающего поддержания низкодифференцированного статуса клеток, и меньшей экспрессии антипролиферативного фактора PRH, что создает условия и для дедифференцировки и для пролиферации (Goodings et al., 2015; Gaston et al., 2016; Simandi et al., 2016). Таким образом, воздействие эндокринного дисраптора вызывало нарушения в системе транскрипционной регуляции роста сетчатой зоны и приводило к изменению формирования ее структуры, при котором необходимая численность клеток достигалась за счет увеличения площади зоны, а не увеличения числа клеток в единице площади. То есть нарушение дисраптором экспрессии транскрипционных факторов приводило к изменению и темпов, и способа формирования структуры. Эти данные указывают не только на механизмы дисморфогенетического действия эндокринного дисраптора, но и свидетельствуют о роли факторов плюрипотентности в формировании источников пролиферации клеток сетчатой зоны коркового вещества надпочечников.
* * *
Воздействие низких доз эндокринного дисраптора ДДТ на развивающийся организм в течение пренатального и постнатального периодов онтогенеза приводит к изменению темпов морфогенеза и снижению функциональной активности сетчатой зоны коркового вещества надпочечников. Выявленные изменения включают нарушения транскрипционной регуляции морфогенетических процессов, обусловленные изменением активации канонического Wnt-сигналинга, а также экспрессии факторов PRH, Oct4, и Shh, обеспечивающих транскрипционный контроль процессов пролиферации, дифференцировки и плюрипотентности клеток. Полученные данные указывают на важную роль факторов плюрипотентности в обеспечении роста и физиологической регенерации сетчатой зоны, а также на механизмы дисрапторного действия ДДТ. Они заключаются не только в нарушении взаимодействия мужских половых гормонов с их рецепторами, но и изменении транскрипционного контроля развития структур, обеспечивающих продукцию этих гормонов в процессе полового созревания.
Финансирование. Работа выполнена по государственному заданию (рег. номер АААА-А17-117013050048-6).
Список литературы
Технический регламент Таможенного союза ТР ТС 021/2011 “о безопасности пищевой продукции”. СПб.: ГИОРД, 2015. 176 с.
Aneck-Hahn N.H., Schulenburg G.W., Bornman M.S., Farias P., de Jager C. Impaired semen quality associated with environmental DDT exposure in young men living in a malaria area in the Limpopo Province, South Africa // J. Androl. 2007. V. 28. P. 423–434.
Bellanger M., Demeneix B., Grandjean P., Zoeller R.T., Trasande L. Neurobehavioral deficits, diseases, and associated costs of exposure to endocrine-disrupting chemicals in the European Union // J. Clin. Endocrinol. Metab. 2015. V. 100. P. 1256–1266.
Berthon A., Martinez A., Bertherat J., Val P. Wnt/b-catenin signalling in adrenal physiology and tumour development // Mol. Cell. Endocrinology. 2012. V. 351. P. 87–95.
Bielinska M., Kiiveri S., Parviainen H., Mannisto S., Heikinheimo M., Wilson D.B. Gonadectomy-induced adrenocortical neoplasia in the domestic ferret (Mustela putorius furo) and laboratory mouse // Vet. Pathol. 2006. V. 43. № 2. P. 97–117.
Bird I.M. In the zone: understanding zona reticularis function and its transformation by adrenarche // J. Endocrinol. 2012. V. 214. № 2. P. 109–111.
Brembeck F., Rosario M., Birchmeier W. Balancing cell adhesion and Wnt signaling, the key role of b-catenin // Curr. Opin. Gen. Dev. 2006. V. 16. P. 51–59.
Ching S., Vilain E. Targeted disruption of Sonic hedgehog in the mouse adrenal leads to adrenocortical hypoplasia // Genesis. 2009. V. 47. № 9. P. 628–637.
Finco I., Lerario A., Hammer G. Sonic hedgehog and Wnt signaling promote adrenal gland regeneration in male mice // Endocrinology. 2018. V. 159. P. 579–596.
Gaston K., Tsitsilianos M.‑A., Wadey K., Jayaraman P.-S. Misregulation of the proline rich homeodomain (PRH/HHEX) protein in cancer cells and its consequences for tumour growth and invasion // Cell. Biosci. 2016. V. 6. P. 12.
Goodings C., Smith E., Mathias E., Elliott N., Cleveland S.M., Tripathi R.M., Layer J.H., Chen X., Guo Y., Shyr Y., Hamid R., Du Y., Dave U.P. Hhex is required at multiple stages of adult hematopoietic stem and progenitor cell differentiation // Stem Cells. 2015. V. 33. P. 2628–2641.
Gore A., Chapell V., Fenton S., Flaws J., Nadal A., Prins J., Toppari J., Zoeller J. EDC-2: the endocrine society’s second scientific statement on endocrine disrupting chemicals // Endocrine Rev. 2015. V. 36. № 6. P. E1–E150.
Halder S.K., Takemori H., Hatano O., Nonaka Y., Wada A., Okamoto M. Cloning of a membrane-spanning protein with epidermal growth factor-like repeat motifs from adrenal glomerulosa cells // Endocrinology. 1998. V. 139. № 7. P. 3316–3328.
Kim A.C., Reuter A.L., Zubair M., Else T., Serecky K., Bingham N.C., Lavery G.G., Parker K.L., Hammer G.D. Targeted disruption of beta-catenin in Sf1-expressing cells impairs development and maintenance of the adrenal cortex // Development. 2008. V. 135. № 15. P. 2593–2602.
Kim W., Kim M., Jho E.-H. Wnt/β-catenin signaling: from membrane to nucleus // Biochem. J. 2013. V. 450. P. 9–21.
Laufer E., Kesper D., Vortkamp A., King P. Sonic hedgehog signaling during adrenal development // Mol. Cell. Endocrinol. 2012. V. 351. № 1. P. 19–27.
Oliveira K.J., Chiamolera M.I., Giannocco G., Pazos-Moura C.C., Ortiga-Carvalho T.M. Thyroid function disruptors: from nature to chemicals // J. Mol. Endocrinol. 2019. V. 62. № 1. P. R1–R19.
Ouyang F., Perry M.J, Venners S.A., Chen C., Wang B., Yang F., Fang Z., Zang T., Wang L., Xu X., Wang X. Serum DDT, age at menarche, and abnormal menstrual cycle length // Occup. Environ. Med. 2005. V. 62. P. 878–884.
Ozen S., Darcan S. Effects of environmental endocrine disruptors on pubertal development // J. Clin. Res. Ped. Endo. 2011. V. 3. № 1. P. 1–6.
Papalou O., Kandaraki E.A., Papadakis G., Diamanti-Kandarakis E. Endocrine disrupting chemicals: an occult mediator of metabolic disease // Front. Endocrinol. (Lausanne). 2019. V. 10. Art. 112.
Penny M., Finco I., Hammer G. Cell signaling pathways in the adrenal cortex: links to stem/progenitor biology and neoplasia // Mol. Cell. Endocrinol. 2017. V. 445. P. 42–54.
Pignatelli D., Xiao F., Gouvtia A., Ferreira J., Vinson G. Adrenarche in the rat // J. Endocrinol. 2006. V. 191. № 1. P. 301–308.
Ribatti D. A revised concept: contact inhibition of growth. from cell biology to malignancy // Exp. Cell Res. 2017. V. 359. P. 17–19.
Shraiman B. Mechanical feedback as a possible regulator of tissue growth // Proc. Natl. Acad. Sci. 2004. V. 102. P. 3318–3323.
Simandi Z., Horvath A., Wright L., Cuaranta-Monroy I., De Luca I., Karolyi K., Sauer S., Deleuze J.-F., Gudas L., Cowley S., Nagy L. OCT4 Acts as an integrator of pluripotency and signal-induced differentiation // Mol. Cell. 2016. V. 63. P. 647–661.
Tetteh P.W., Farin H.F., Clevers H. Plasticity within stem cell hierarchies in mammalian epithelia // Trends Cell. Biol. 2015. V. 25. № 2. P. 100–108.
Vandenberg L., Colborn T., Hayes T., Heindel J., Jacobs Jr. D., Lee D., Shioda T., Soto A., vom Saal F., Welshons W., Zoeller R., Myers J. Hormones and endocrine-disrupting chemicals: low-dose effects and nonmonotonic dose responses // Endocrine Rev. 2012. V. 33. P. 378–455.
World Health Organization. State of the Science of Endocrine-Disrupting Chemicals. Geneva: Intern. Program. on Chem. Safety, 2012. 180 p.
Xu X.B., He Y., Song C., Ke H., Fan S.-J., Peng W.-J., Tan R., Kawata M., Matsuda K.-I., Pan B.-X., Kato N. Bisphenol A regulates the estrogen receptor _ signaling in developing hippocampus of male rats through estrogen receptor // Hippocampus. 2014. V. 24. № 12. P.1570–1580.
Yaglova N.V., Obernikhin S.S., Nazimova S.V., Yaglov V.V. Role of transcription factor Oct4 in postnatal development and function of the adrenal cortex // Bull. Exp. Biol. 2019. V. 167. № 4. P. 568–573.
Yaglova N.V., Obernikhin S.S., Nazimova S.V., Yaglov V.V., Kosmachevskaya O.V., Topunov A.F. Changes in transcriptional regulation of postnatal morphogenesis of the adrenal zona fasciculata caused by endocrine disruptor dichlorodiphenyltrichloroethane // Bull. Exp. Biol. 2020. V. 168, № 6. P. 797–801.
Yaglova N.V., Obernikhin S.S., Tsomartova D.A., Nazimova S.V., Yaglov V.V. Expression of transcription factor PRH/Hhex in adrenal chromaffin cells in the postnatal development and its role in the regulation of proliferative processes // Bull. Exp. Biol. Med. 2018. V. 165. № 4. P. 508–511.
Yaglova N.V., Tsomartova D.A., Obernikhin S.S., Nazimova S.V., Yaglov V.V. Regulation of proliferative processes in rat adrenal cortex by transcriptional factor PRH under conditions of developmental exposure to endocrine disruptor DDT // Bull. Exp. Biol. 2019. V. 167. № 3. P. 404–407.
Yaglova N.V., Yaglov V.V. Mechanisms of disruptive action of dichlorodiphenyltrichloroethane (DDT) on the function of thyroid follicular epitheliocytes // Bull. Exp. Biol. 2015. V. 160. № 2. P. 231–233.
Yamazaki H., Takano R., Shimizu M., Muruayama N., Kitajima M., Shono F. Human blood concentrations of dichlorodiphenyltrichloroethane (DDT) extrapolated from metabolism in rats and humans and physiologically based pharmacokinetic modeling // J. Health Sci. 2010. V. 56. № 5. P. 566–575.
Yates R., Katugampola H., Cavlan D., Cogger K., Meimaridou E., Hughes C., Metherell L., Guasti L., King P. Adrenocortical development, maintenance, and disease // Curr. Top. Dev. Biol. 2013. V. 106. P. 239–312.
Yu J., Vodyanik M.A., Smuga-Otto K., Antosiewicz-Bourget J., Frane J.L., Tian S., Nie J., Jonsdottir G.A., Ruotti V., Stewart R., Slukvin I.I., Thomson J.A. Induced pluripotent stem cell lines derived from human somatic cell // Science. 2007. V. 318. № 5858. P. 1917–1920.
Дополнительные материалы отсутствуют.
Инструменты
Известия РАН. Серия биологическая



