Журнал высшей нервной деятельности им. И.П. Павлова, 2023, T. 73, № 6, стр. 833-844
Влияние хлоралгидрата на морфологические особенности неокортекса и функциональное состояние старых самцов крыс
Н. С. Щербак 1, *, Г. Ю. Юкина 1, А. Г. Гурбо 1, Е. Г. Сухорукова 1, А. Г. Саргсян 1, В. В. Томсон 1
1 ФГБОУ ВО “Первый Санкт-Петербургский государственный медицинский университет имени академика
И.П. Павлова” МЗ РФ
Санкт-Петербург, Россия
* E-mail: shcherbakns@yandex.ru
Поступила в редакцию 13.04.2023
После доработки 25.07.2023
Принята к публикации 31.08.2023
- EDN: BMQETJ
- DOI: 10.31857/S0044467723060084
Аннотация
Во избежание получения искаженных результатов на этапе доклинического изучения новых фармацевтических субстанций и терапевтических стратегий необходимо учитывать особенности и возможное влияние возраста животного и примененного наркоза на исход эксперимента. Мы исследовали влияние хлоралгидрата на морфологические особенности нейронов и реакцию микроглии неокортекса и функциональное состояние старых самцов крыс Вистар (24 мес.). Различия оценивали у контрольных крыс и в группе с применением хлоралгидрата в дозе, необходимой для достижения наркоза (400 мг/кг веса животного), спустя 48 ч после его введения. После применения хлоралгидрата выжившие животные (летальность 37.5%) демонстрировали достоверное нарастание признаков неврологического дефицита в виде двигательных и поведенческих нарушений по сравнению с крысами контрольной группы. В лобно-теменной области неокортекса выживших животных уровень экспрессии белка Iba-1 был достоверно выше, чем в контроле, отмечались нейроны и микроглиоциты с выраженными морфологическими изменениями, хотя их число достоверно не отличалось от такового в контрольной группе. Полученные результаты позволяют предположить, что неблагоприятный эффект в ранний период после анестезии хлоралгидратом у старых крыс, проявляющийся в виде ухудшения функционального состояния и летальности, может реализовываться за счет активации микроглии лобно-теменной области неокортекса. Вопрос в том, в какой степени активация микроглии в конкретных структурах мозга ассоциирована с формированием неврологических нарушений, нуждается в дальнейшем изучении. Полученные результаты необходимо учитывать при фундаментальных и доклинических исследованиях, в которых в качестве объекта исследования участвуют старые крысы и хлоралгидрат используется в качестве анестетика.
ВВЕДЕНИЕ
Острое нарушение мозгового кровообращения (ОНМК) у взрослого населения различных возрастных групп является ведущей причиной инвалидизации и смертности во всем мире (Donkor, 2018). Успешность внедрения новых способов нейропротекции, основанных на фармакологических и нефармакологических подходах, для профилактики ОНМК и ограничения степени ишемически-реперфузионного повреждения головного мозга обусловлена рядом факторов, в том числе качеством проведения поисковых фундаментальных и доклинических исследований с участием животных. При экстраполяции результатов экспериментальных исследований в клиническую практику необходимо учитывать не только границы “терапевтического окна”, дозировку препарата, комбинирование тромболитической и нейропротективной терапии, сопутствующую патологию, но и анатомо-физиологические особенности различных возрастных периодов и их соответствие у модельных животных и человека. Кроме того, существенное влияние на результаты эксперимента может оказывать примененный наркоз, поскольку моделирование ишемического повреждения головного мозга у животных осуществляется преимущественно посредством хирургических манипуляций.
Применение общей анестезии в экспериментальных исследованиях у грызунов различного возраста сопровождается разнонаправленными эффектами на структурную перестройку отдельных областей головного мозга и поведенческие реакции (Юкина и др. 2017; Bianchi et al., 2008; Stratmann et al., 2010; Callaway et al., 2012; Wu et al., 2019; Shcherbak et al., 2021). Во многом противоречивость полученных результатов может объясняться, во-первых, использованной дозой, механизмом действия и видом анестетика, во-вторых, возрастом животных, участвующих в эксперименте, в-третьих, анализируемой областью головного мозга и критериями оценки функционального состояния животного, а также самим модельным хирургическим вмешательством.
Точных временных дат в определении начала физиологического старения организма и наступления старости не существует. Согласно свободно-радикальной теории старения существует корреляция между максимальной продолжительностью жизни вида и скоростью метаболизма индивидуума, при этом картина старения мало чем отличается у различных видов, существенно отличающихся по максимальной продолжительности жизни (Сусликов и др., 2013). Поэтому проведение экспериментов на старых животных с последующей экстраполяцией результатов в клиническую практику является оправданным. Несмотря на существующие исследования когнитивной дисфункции, которая очень часто сопровождает ранний и отдаленный послеоперационные периоды и носит стойкий характер у пациентов пожилого и старческого возраста, механизмы ее формирования остаются малоизученными. Предполагается, что в основе когнитивных нарушений, как наиболее значимой проблемы пациентов пожилого возраста, находится нейровоспаление. Кроме того, исследователи придерживаются мнения о том, что именно нейровоспаление находится в основе развития когнитивной дисфункции после применения общих анестетиков, что, в свою очередь, отягощает постоперационную когнитивную дисфункцию у пожилых пациентов (Moller et al., 1998).
На протяжении продолжительного времени и достаточно широко в эксперименте на лабораторных грызунах в качестве наркоза используют хлоралгидрат (Vachon et al., 2000). При этом необходимо учитывать, что хлоралгидрат, как и другие анестетики, может обладать эффектом прекондиционирующего агента (Liu et al., 2015). Следует отметить, что при проведении экспериментов с возрастными животными нельзя игнорировать особенности метаболизма любого анестетика, поскольку в процессе старения происходит ряд существенных изменений в структуре и функциях печени, поджелудочной железы и почек, которые ответственны за метаболизм и выведение лекарственных препаратов. Сегодня влияние хлоралгидрата на морфологическую перестройку гиппокампа изучено достаточно хорошо (Щербак и др., 2019; Shcherbak et al., 2021), при этом другие области, в частности неокортекс у возрастных и старых лабораторных грызунов, остаются незаслуженно неизученными, что не позволяет расширить представления о механизмах формирования когнитивных нарушений у пожилых пациентов с преимущественным поражением лобных или лобно-височных долей мозга. В настоящем исследовании мы изучили влияние хлоралгидрата на функциональное состояние и морфологические изменения нейронов и микроглии неокортекса у старых самцов крыс. Были проведены эксперименты с участием животных линии Вистар в возрасте 24 мес. Обнаружено, что применение хлоралгидрата в дозе, необходимой для достижения наркоза, приводит к активации микроглии неокортекса и ухудшению функционального состояния. Полученные данные согласуются с результатами, полученными нами ранее для областей гиппокампа старых крыс (Щербак и др., 2019, 2022; Shcherbak et al., 2021), и позволяют предположить, что в основе механизмов ухудшения функционального состояния и наличия летальности животных после применения хлоралгидрата может находиться процесс активации микроглии различных областей головного мозга. При этом определение структуры мозга, активация микроглии в которой в большей мере ответственна за формирование неврологических нарушений, – процесс довольно сложный и нуждается в дальнейшем изучении.
МЕТОДИКА
Экспериментальные животные. Работа проведена на старых (24 мес.) самцах крыс Вистар (N = 8 – экспериментальная группа “ChH” и N = 8 – экспериментальная группа “CONTROL”). Животные перед началом эксперимента были осмотрены на предмет отсутствия подкожного опухолевого роста или воспалительных процессов. Все эксперименты выполняли в соответствии с принципами Европейской конвенции, Страсбург, 1986 г., и Хельсинкской декларации Всемирной медицинской ассоциации о гуманном обращении с животными, 1996 г., и с требованиями документа: Постановление Главного государственного санитарного врача Российской Федерации от 29.08.2014 № 51 “Санитарно-эпидемиологические требования к устройству, оборудованию и содержанию экспериментально-биологических клиник (вивариев)”, и были одобрены Биоэтической комиссией (протокол № 18–5, 2018 г.).
Дизайн исследования. Животным группы “ChH” вводили внутрибрюшинно хлоралгидрат (Sigma-Aldrich, США) в дозе, необходимой для достижения наркоза (400 мг/кг веса животного), разведенный в 0.9%-м растворе натрия хлорида (ОАО НПК “ЭСКОМ”, Россия) из расчета 10 мл/кг веса животного. Животным группы “CONTROL” внутрибрюшинно вводили 0.9%-й раствор натрия хлорида в объеме 10 мл/кг веса животного. Спустя 48 ч оценивали летальность, функциональное состояние животных, далее животных повторно наркотизировали, декапитировали, извлекали головной мозг и фиксировали его в цинк-этанол-формальдегиде не менее 24 ч.
Летальность оценивали как отношение количества невыживших животных к общему числу животных в группе.
Оценка функционального состояния. Изменение неврологических функций оценивали по шкале от 0 до 18 (нормальный балл – 0; максимальный дефицит – 18) оценки тяжести неврологических нарушений mNSS (Modified Neurological Severity Score) для крыс (табл. 1, Chen et al., 2001). Тяжесть расстройства в 1 балл присуждается при невозможности выполнения теста или за отсутствие тестируемого рефлекса; таким образом, чем выше балл, тем тяжелее состояние. Наличие функциональных расстройств, соответствующих 13–18 баллам, расценивается как выраженное повреждение; 7–12 баллов – повреждение средней тяжести; 1–6 – легкое повреждение (Chen et al., 2001).
Таблица 1.
Шкала оценки тяжести неврологических нарушений mNSS (Modified Neurological Severity Score, Chen et al., 2001) Table 1. Scale for assessing the severity of neurological disorders mNSS (Modified Neurological Severity Score, Chen et al., 2001)
| Тест | Баллы |
|---|---|
| Двигательные тесты | |
| Поднятие крысы за хвост | 3 |
| Сгибание передней конечности | 1 |
| Сгибание задней конечности | 1 |
| Отклонение головы более чем на 10° относительно вертикальной оси в течение 30 секунд | 1 |
| Ходьба крысы на полу (normal = 0; maximum = 3) | 3 |
| Обычная ходьба | 0 |
| Неспособность идти прямо | 1 |
| Хождение по кругу в сторону поражения | 2 |
| Падение на паретическую сторону | 3 |
| Сенсорные тесты | |
| Тест размещения (зрительный и тактильный тесты) | 1 |
| Проприоцептивный тест (придавливание лапы к краю стола) | 1 |
| Оценка равновесия Beam тест(normal = 0; maximum = 6) | 6 |
| Сохранение равновесия и стабильное положение тела на перекладине (балке) | 0 |
| Захватывание края перекладины (балки) | 1 |
| Захватывание перекладины (балки) и падение одной паретичной конечности вдоль перекладины (балки) | 2 |
| Захватывание перекладины (балки) с одновременным падением двух паретичных конечностей или кружение на перекладине (балке) более 60 секунд | 3 |
| Попытка сохранить равновесие на перекладине (балке) более 40 секунд, но падение | 4 |
| Попытка сохранить равновесие на перекладине (балке) более 20 секунд, но падение | 5 |
| Падение без попытки сохранить равновесие на перекладине (балке) или вращение на перекладине (балке) менее 20 секунд | 6 |
| Отсутствие рефлексов или патологические движения | 4 |
| Ушной рефлекс (встряхивание головы при прикосновении к слуховому проходу) | 1 |
| Роговичный рефлекс (моргание глаз при легком прикосновении к роговице ватой) | 1 |
| Рефлекс испуга (двигательная реакция на короткий шум от щелчка зажима для бумаги) | 1 |
| Судороги, миоклонус, миодистония | 1 |
| Максимум баллов | 18 |
Гистологическое исследование головного мозга. Для морфологического анализа неокортекса фронтальные сегменты головного мозга, приготовленные с использованием матрицы для мелких грызунов (WPI, США) обезвоживали и заливали в парафиновые блоки по стандартной гистологической методике. Далее с использованием микротома (Accu-Cut SRT 200, Sakura, Япония) готовили серийные срезы толщиной 5 мкм, соответствующие –3.0 ± 0.4 мм относительно брегмы (Paxinos, Watson 1998). Делали пять или шесть срезов на исследуемую область мозга для каждого животного. Для обзорного анализа гистологические препараты окрашивали гематоксилином Майера и эозином (“БиоВитрум”, Россия), для выявления в нейронах субстанций Ниссля применяли крезиловый фиолетовый (“БиоВитрум”, Россия).
Иммуногистохимический метод, который был подробно описан ранее, использовали для выявления микроглии (Щербак и др., 2020). Вкратце. Первичные поликлональные козьи антитела к антигену Iba-1 (1 : 2000, ab107159; AbCam, Великобритания) использовали в качестве маркера микроглиоцитов. Для связывания первичных антител применяли набор реагентов R.T.U. VECTASTAIN Universal Quick Kit Catalog № РК-7800 (USA). Визуализацию продукта реакции проводили при помощи хромогена DAB+ (Diagnostic BioSystems, Netherlands). Препараты докрашивали гематоксилином Джилла (Bio-Optica, Италия).
Для получения сопоставимых результатов от всех животных образцы обрабатывали параллельно и в одинаковых условиях.
Анализ гистологических препаратов. При помощи световой микроскопии и программного обеспечения ImageScope M (компания СМА (“Системы для Микроскопии и Анализа”), Москва, Россия) анализировали лобно-теменную область неокортекса обоих полушарий головного мозга (рис. 1). На срезе головного мозга от каждого животного в полях зрения (0.32 × 0.24 мм) подсчитывали количество морфологически неизмененных нейронов и Iba-1-позитивных ядросодержащих микроглиоцитов в анализируемой области неокортекса. Учитывали только те нейроны, в срезе которых отмечалось одно или более ядрышек. Полученный показатель пересчитывали на 1 мм2 коры головного мозга.
Рис. 1.
Схематичное изображение фронтального среза головного мозга крысы, относительно брегмы –3.0 ± 0.4 мм; 1 – неокортекс; 2 – анализируемая область неокортекса (по G. Paxinos, Ch. Watson, 1998). Fig. 1. Schematic representation of the frontal section of the rat brain, relative to the bregma –3.0 ± 0.4 mm; 1 – the neocortex; 2 – the analyzed area of the neocortex (according to G. Paxinos, Ch. Watson, 1998).

Анализ экспрессии белка Iba-1 в микроглиоцитах проводили на основании измерения оптической плотности продукта реакции, которую осуществляли на морфометрической установке, состоящей из светового микроскопа Axio Scope A1 (Carl Zeiss, Германия), цифровой камеры Baumer CX05e (Baumer Optronic, Германия), компьютера IBM PC c программным обеспечением “ВидеоТесТ-Морфология” (ВидеоТест, Россия). Результаты анализа выражали в относительных единицах (отн. ед.) оптической плотности. В анализируемой области неокортекса проводили измерение оптической плотности продукта иммуногистохимической реакции в цитоплазме всех ядросодержащих микроглиоцитов. При каждом измерении вычитали оптическую плотность фона (Shcherbak et al., 2021).
Статистический анализ результатов проводили с помощью пакета программ “SPSS” (версия 26.0; США). Все массивы данных были проверены на нормальность с помощью критерия Колмогорова–Смирнова. Сравнение количества неизмененных нейронов, микроглиоцитов и уровня иммунореактивности к Iba-1 в коре неокортекса между экспериментальными группами оценивали с помощью t-критерия Стьюдента с последующим использованием критерия равенства дисперсий Ливиня. Данные по количеству неизмененных нейронов, микроглиоцитов и уровня иммунореактивности к Iba-1 в коре неокортекса представлены как среднее значение ± ± стандартная ошибка среднего (M ± SEM). Различия по сравнению летальности между группами проводили с использованием точного критерия Фишера. Результаты функционального состояния животных были оценены непараметрическим методом с помощью U-критерия Манна–Уитни и представлены в виде медианы, минимального и максимального значений (Me; min, max). Различия учитывали как достоверные при уровне значимости р < 0.05.
РЕЗУЛЬТАТЫ ИССЛЕДОВАНИЙ
Все животные до начала эксперимента характеризовались наличием прореженного шерстного покрова и пониженной активностью в клетке, что обусловлено возрастными регуляторно-метаболическими сдвигами, которые присущи физиологическому старению организма.
В группе “CONTROL” через 48 ч после введения физиологического раствора летальность составила 12.5% (1 из 8 животных), неврологические функции выживших крыс, оцененные по шкале mNSS, изменялись от 1 до 2 баллов (Ме 1; min 1, max 2). Спустя 48 ч после применения хлоралгидрата в дозе, необходимой для достижения анестезии, в группе “ChH” летальность составила 37.5% (3 из 8 животных) и достоверно не отличалась от таковой в группе “CONTROL” (р > 0.05, точный критерий Фишера). У выживших животных группы “ChH” отмечались признаки неврологических нарушений, оцененные по шкале mNSS от 2 до 6 (Ме 3; min 2, max 6), которые были значимо более выражены, чем в группе “CONTROL” (р < 0.05, критерий Манна–Уитни).
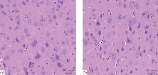
При морфологическом исследовании лобно-теменной области неокортекса образцов головного мозга крыс групп “ChH” и “CONTROL” отмечалось характерное цитоархитектоническое строение с наличием 6 слоев клеток и отсутствием четких границ между ними. В изученной области неокортекса у животных группы “CONTROL” наблюдались единичные нейроны с морфологическими изменениями в виде гиперхромности, сморщивания клетки, отсутствия ядра. Выявлялся незначительный периваскулярный и перицеллюлярный отек (рис. 2 (а)). У животных группы “ChH” в аналогичной области неокортекса в левой и правой гемисферах отмечался умеренный периваскулярный и перицеллюлярный отек, встречалось большее число морфологически измененных нейронов, наблюдалось наличие хроматолиза, гиперхроматоза, кариолизиса, при этом выраженных очагов поражения обнаружено не было (рис. 2 (б)). Количество морфологически неизмененных нейронов в лобно-теменной области неокортекса у крыс группы “ChH” несколько уменьшалось, но незначительно при сравнении с аналогичным показателем в группе “CONTROL” (р > > 0.05, t-критерий Стьюдента; табл. 2).
Рис. 2.
Лобно-теменная область неокортекса крысы, 5-й слой. (а) – “CONTROL”. (б) — “ChH”. Обозначения: звездочка — морфологически измененный нейрон, короткая стрелка – перицеллюлярный отек, длинная стрелка — периваскулярный отек. Окраска гематоксилином и эозином. Ок. ×10, об. ×20. Fig. 2. Fronto-parietal region of the rat neocortex, layer 5. (a) – “CONTROL”. (б) – “ChH”. Notation: asterisk – morphologically changed neuron, short arrow – pericellular edema, long arrow – perivascular edema. Stained with hematoxylin and eosin. Ок. ×10, оb. ×20.

Таблица 2.
Количество морфологически неизмененных нейронов и Iba-1-позитивных микроглиоцитов в неокортексе у старых самцов крыс Вистар до и после анестезии хлоралгидратом (${{\bar {X}}}\,\,{\text{ + }}\,\,{{{\text{S}}}_{{{{\bar {X}}}}}}$ на 1 мм2 на срезе) Table 2. The number of morphologically unchanged neurons and Iba-1-positive microgliocytes in the neocortex of old male Wistar rats before and after anesthesia with chloral hydrate (on 1 mm2 on a section)
| Экспериментальная группа | Количество клеток | |
|---|---|---|
| морфологически неизмененные нейроны | Iba-1-позитивные микроглиоциты | |
| CONTROL | 322.6 ± 24.2 | 87.5 ± 9.2 |
| ChH | 305.3 ± 25.6 | 101.9 ± 12.6 |
При анализе препаратов головного мозга крыс группы “CONTROL”, на которых иммуногистохимическим методом были выявлены Iba-1-позитивные клетки микроглии, во всех слоях неокортекса отмечались типичные клетки со звездчатой формой клеточного тела и разветвленными отростками (рис. 3 (а)). Во всех слоях неокортекса крыс группы “ChH” через 48 ч после применения хлоралгидрата большая часть Iba-1-позитивных клеток микроглии характеризовалась увеличением площади клеточного тела, утолщением отростков и усложнением характера ветвления, при этом количество клеток по сравнению с показателем в группе “CONTROL” увеличивалось незначительно (р > 0.05, t-критерий Стьюдента; табл. 2, рис. 3 (б)). Уровень иммунореактивности к Iba-1 в структурах неокортекса животных группы “CONTROL” составил 0.33 ± 0.04 отн. ед. Применение хлоралгидрата в группе “ChH” приводило через 48 ч к увеличению уровня иммунореактивности к Iba-1 в микроглиоцитах неокортекса до 0.40 ± 0.02 отн. ед., что было на 21% выше и достоверно отличалось от аналогичного показателя в группе “CONTROL” (р < 0.05, t-критерий Стьюдента).
Рис. 3.
Лобно-теменная область неокортекса крысы, 5-й слой. (а) – “CONTROL”. (б) – “ChH”. Иммуногистохимическая реакция на маркер микроглии белок Iba-1 с подкрашиванием гематоксилином Джилла. Ок. ×10, об. ×20. Fig. 3. Fronto-parietal region of the rat neocortex, layer 5. (а) – “CONTROL”. (б) – “ChH”. Immunohistochemical reaction for microglial marker protein Iba-1 stained with Gill’s hematoxylin. Ок. ×10, оb. ×20.

ОБСУЖДЕНИЕ РЕЗУЛЬТАТОВ
Данные, полученные в настоящей работе, свидетельствуют о негативном влиянии хлоралгидрата, использованного для анестезии у 24-месячных крыс Вистар. Функциональное состояние животных оценивали по шкале mNSS, которая включает в себя двигательные (состояние мышц и аномальные движения), сенсорные (визуальные, тактильные и проприоцептивные), рефлекторные и балансовые тесты (Chen et al., 2001). В клинической практике для оценки когнитивного статуса у пациентов с поражением лобных долей головного мозга чаще используют тест “Батарея лобной дисфункции” (Frontal Assessment Batter — FAB), который позволяет выявлять нарушения мышления, анализа, беглости речи, динамического праксиса, хватательных рефлексов (Dubois et al., 2000). В клинической практике, а также при оценке функциональных нарушений в эксперименте, стандартных или идеальных тестов и шкал не существует, есть множество различных оценочных тестов, которые чувствительны к выявлению нарушений, от глобальных до специфических (Schaar et al., 2010). Известно, что применение хлоралгидрата в дозе 300–500 мг/кг для достижения анестезии у крыс сопровождается существенным понижением артериального давления, при этом степень понижения зависит от введенной дозы и возраста животного (Щербак и др., 2019). Следовательно, потенциальный вклад в летальность и функциональную дисфункцию выживших животных после анестезии хлоралгидратом в условиях отсутствия модельного хирургического вмешательства может вносить как токсический эффект анестетика на нервную ткань головного мозга, так и его влияние на сердечно-сосудистую систему с развитием ишемического повреждения головного мозга, а также сочетанное действие этих воздействий.
Для морфологической оценки влияния хлоралгидрата были выбраны такие структуры головного мозга, как соматосенсорная и моторная кора лобно-теменной области неокортекса, которые играют важную роль в формировании тактильной чувствительности и моторной функции. Кроме того, эти области неокортекса являются широко используемой моделью для изучения патогенеза и поиска способов нейропротекции при формировании глобальной ишемии головного мозга у крыс для последующей экстраполяции полученных результатов в клиническую практику (Щербак и др., 2020; Farkas et al., 2007). Имеющиеся некоторые разногласия по поводу существования гомологии между областями префронтальной коры приматов и грызунов ограничивают использование этой части коры для изучения нейропротективных воздействий (Wise, 2008). Ранее в проведенных нами исследованиях также было показано, что применение хлоралгидрата у старых крыс не приводит к существенному дефициту морфологически неизмененных нейронов в пирамидном слое СА1, СА2, СА3 и СА4 областей гиппокампа, однако сопровождается значимым снижением числа ядрышек в нейронах и уменьшением ширины слоя (Щербак и др., 2022; Shcherbak et al., 2021). Отсутствие значимого уменьшения количества морфологически неповрежденных нейронов в неокортексе, как в области уязвимой к воздействию ишемией, может объясняться не только незначительным и непродолжительным периодом снижения АД, не приводящим к повреждающему действию, но и временным этапом патологического процесса. В представленном исследовании мы анализировали изменение неокортекса и функционального состояния крыс через 48 ч после применения хлоралгидрата. Выбор временной точки для анализа был обусловлен тем, что гибель нейронов развивается через 48 ч после ишемического повреждения головного мозга, и это явление известно как феномен “отсроченной гибели нейронов” (Kirino, 1982). В исследовании на старых песчанках было показано, что данный процесс у старых особей происходит медленнее, чем у взрослых (Lee et al., 2010). Можно предположить, что в конечной точке эксперимента нам не удалось зафиксировать гибель нейронов, что, возможно, обусловлено возрастом животных. Поэтому в дальнейших исследованиях целесообразно анализировать морфологические изменения в нескольких временных точках эксперимента.
Механизмы негативного воздействия анестетиков на клетки нервной ткани сложны, до конца не изучены и во многом определяются механизмом действия и видом самого анестетика. В экспериментальных исследованиях было показано, что анестезия потенциально может способствовать развитию когнитивной дисфункции, влияя на ускорение текущих нейродегенеративных процессов, индуцируя апоптоз, способствуя увеличению образования β-амилоидного белка (Dong et al., 2009; Zhen et al., 2009). В нашем исследовании отсутствие значимой гибели нейронов неокортекса после анестезии хлоралгидратом при наличии летальности и неврологической дисфункции у старых животных может объясняться гипотезой, согласно которой чувствительность к анестезии обусловлена возрастом нейрона, а не возрастом организма (Hofacer et al., 2013). Так, в исследовании на новорожденных, молодых и взрослых мышах было показано, что нейротоксичность анестетиков может распространяться во взрослом возрасте на области мозга с продолжающимся нейрогенезом, такие как зубчатая извилина и обонятельная луковица (Hofacer et al., 2013). Нейрогенез неокортекса крысы достигает максимума в середине – конце гестационного периода и отсутствует во взрослом возрасте (Bayer et al., 1993). Исходя из этого можно предположить, что в головном мозге существует дифференциальная региональная уязвимость к нейроапоптозу, индуцируемому анестетиками. Вероятно, что в процессах формирования неврологических нарушений у выживших крыс могут быть в большей мере ответственны другие структуры головного мозга, также нельзя исключать функциональную роль измененного состояния и свойств нейронов и глии неокортекса при воздействии анестетиком.
Изучение влияния анестезии хлоралгидратом на микроглию неокортекса у старых самцов крыс Вистар нами проведено впервые. В качестве молекулярного маркера микроглии для оценки ее активации использовали кальций-связывающий белок Iba-1 (ionized calcium-binding adapter molecule-1), который экспрессируется во всех микроглиоцитах головного мозга и был успешно применен в наших предыдущих исследованиях (Юкина и др., 2019; Щербак и др., 2022; Shcherbak et al., 2021). Известно, что микроглия в ответ на поступающие сигналы различной природы трансформируется из покоящегося состояния в активированное, которое характеризуется изменением количества микроглиоцитов, видоизменением формы и размеров клеточного тела и отростков с усложнением типа их ветвления, изменением интенсивности экспрессии внутриклеточных белков (Paolicelli et al., 2022). Обнаруженные нами морфологические изменения микроглиоцитов и увеличение уровня белка Iba-1 в них после применения хлоралгидрата свидетельствует о том, что произошла активация микроглии. Известно, что физиологические свойства воспалительных реакций в организме двойственны: с одной стороны, это формирование защитных функций, с другой – чрезмерная активация может приводить к неблагоприятным исходам. Роль нейровоспаления в развитии послеоперационной когнитивной дисфункции при старении показана в клинических и экспериментальных исследованиях (Ancelin et al., 2001; Barrientos et al., 2012; Hovens et al., 2015). Предполагается, что физиологическое старение сопровождается активацией микроглии до определенного порога, а воздействие анестетиком способствует переходу в гиперактивное состояние по сравнению со взрослым организмом, и именно это состояние и приводит к выраженным неврологическим нарушениям (Hellwig et al., 2016). При этом влияние анестезии хлоралгидратом на микроглию неокортекса у старых лабораторных грызунов с наличием или отсутствием модельного хирургического вмешательства ранее не изучалось. Нашей научной группой было показано, что хлоралгидрат у возрастных крыс Вистар без модельного хирургического вмешательства приводит к морфофункциональным изменениям нейронов в наиболее уязвимых полях гиппокампа с одновременной активацией микроглии во всех полях (Щербак и др., 2022; Shcherbak et al., 2021). Известно, что активация микроглии в различных ее проявлениях предшествует и сопровождает период гибели нейронов неокортекса у крыс после глобальной ишемии (Щербак и др., 2020; Gehrmann et al., 1992). Объяснением увеличения уровня белка Iba-1 в цитоплазме микроглиоцитов неокортекса после воздействия хлоралгидратом может служить их предполагаемое последующее участие в процессах миграции и фагоцитоза. В недавно проведенном исследовании на мышах впервые было показано, что микроглия активно участвует во множественных процессах общей анестезии посредством передачи сигналов, опосредованных микроглиальным рецептором P2Y12R, и расширяет свои неиммунные функции в головном мозге. Кроме того, анализ секвенирования РНК одиночных клеток показал, что анестезия заметно влияет на уровни транскрипции генов, связанных с хемотаксисом и миграцией микроглии (Cao et al., 2023). Возможные механизмы воздействия хлоралгидрата на микроглию неокортекса могут быть обусловлены как прямым влиянием на клетки микроглии, так и опосредованно – через нарушения микроциркуляции, вызванные снижением артериального давления, или факторы, секретируемые нейронами или другими клетками. Вероятно, что определить вклад каждого механизма в активацию микроглии неокортекса у старых самцов крыс Вистар после анестезии хлоралгидратом очень сложно или практически невозможно. Кроме того, необходимо учитывать существование компенсаторных изменений областей головного мозга с разной уязвимостью к ишемическому воздействию. Также нельзя не учитывать механизмы взаимозависимого функционирования нейронов в коннектоме, включающем топографически связанные области неокортекса, гиппокампа и других структур головного мозга (Силькис, 2022). Последующие экспериментальные исследования, позволяющие определить возможные механизмы, по-видимому, будут предполагать использование моделей крыс с нокаутом, а также методов метаболомного и транскриптомного анализов.
ЗАКЛЮЧЕНИЕ
Однократное применение хлоралгидрата в дозе 400 мг/кг у старых самцов крыс Вистар при отсутствии модельного хирургического вмешательства через 48 ч приводит к увеличению неврологического дефицита и усилению активации микроглии в лобно-теменной области неокортекса. При проведении фундаментальных и доклинических исследований с участием самцов Вистар в возрасте 24 мес. и использовании хлоралгидрата в качестве анестетика необходимо обращать внимание на эту особенность, чтобы избежать получения искаженных результатов.
Список литературы
Силькис И.Г. Механизмы функционирования коннектома, включающего неокортекс, гиппокамп, базальные ганглии, мозжечок и таламус. Журн. высш. нервн. деят. им. И.П. Павлова. 2022. 72 (1): 36–54.
Сусликов В.Л., Толмачева Н.В., Александров Е.В. Анализ причинно-следственных связей феномена долгожительства. Вестн. Чувашского унив. 2013. 3: 531–539.
Щербак Н.С., Кузьменко Н.В., Плисс М.Г. Влияние хлоралгидрата на показатели гемодинамики и поведенческие реакции у старых крыс. Рос. физиол. журн. им. И.М. Сеченова. 2019. 105 (7): 913–922. https://doi.org/10.1134/S0869813919070094
Щербак Н.С., Юкина Г.Ю., Гурбо А.Г., Сухорукова Е.Г., Саргсян А.Г., Томсон В.В., Галагудза М.М. Морфофункциональное состояние микроглии и нейронов гиппокампа у возрастных крыс после анестезии хлоралгидратом. Регионарное кровообращение и микроциркуляция. 2022. 21 (3): 64–71. https://doi.org/10.24884/1682-6655-2022-21-3-64-71
Щербак Н.С., Юкина Г.Ю., Сухорукова Е.Г., Томсон В.В. Влияние ишемического посткондиционирования на реакцию микроглии неокортекса при глобальной ишемии головного мозга у крыс. Регионарное кровообращение и микроциркуляция. 2020. 19 (2): 59–66. https://doi.org/10.24884/1682-6655-2020-19-2-59-66
Юкина Г.Ю., Белозерцева И.В., Полушин Ю.С., Томсон В.В., Полушин А.Ю., Янишевский С.Н., Кривов В.О. Структурно-функциональная перестройка нейронов гиппокампа после операции под анестезией севофлураном (экспериментальное исследование). Вестник анестезиологии и реаниматологии. 2017. 14 (6): 65–72. https://doi.org/10.21292/2078-5658-2017-14-6-65-72
Юкина Г.Ю., Сухорукова Е.Г., Белозерцева И.В., Полушин Ю.С., Томсон В.В., Полушин А.Ю. Реакция нейронов и микроглии коры мозжечка на анестезию севофлураном. Цитология. 2019. 61 (7): 548–555. https://doi.org/10.1134/S0041377119070101
Ancelin M.L., de Roquefeuil G., Ledésert B., Bonnel F., Cheminal J.C., Ritchie K. Exposure to anaesthetic agents, cognitive functioning and depressive symptomatology in the elderly. Br J Psychiatry. 2001. 178: 360–366. https://doi.org/10.1192/bjp.178.4.360
Barrientos R.M., Hein A.M., Frank M.G., Watkins L.R., Maier S.F. Intracisternal interleukin-1 receptor antagonist prevents postoperative cognitive decline and neuroinflammatory response in aged rats. J Neurosci. 2012. 32 (42): 14641–14648. https://doi.org/10.1523/JNEUROSCI.2173-12.2012
Bayer S.A., Altman J., Russo R.J., Zhang X. Timetables of neurogenesis in the human brain based on experimentally determined patterns in the rat. Neurotoxicology. 1993. 14 (1): 83–144.
Bianchi S.L., Tran T., Liu C., Lin S., Li Y., Keller J.M., Eckenhoff R.G., Eckenhoff M.F. Brain and behavior changes in 12-month-old Tg2576 and nontransgenic mice exposed to anesthetics. Neurobiol Aging. 2008. 29 (7): 1002–1010. https://doi.org/10.1016/j.neurobiolaging.2007.-02.009
Callaway J.K., Jones N.C., Royse A.G., Royse C.F. Sevoflurane anesthesia does not impair acquisition learning or memory in the Morris water maze in young adult and aged rats. Anesthesiology. 2012. 117: 1091–1101. https://doi.org/10.1097/ALN.0b013e31826cb228
Cao K., Qiu L., Lu X., Wu W., Hu Y., Cui Z., Jiang C., Luo Y., Shao Y., Xi W., Zeng L.H., Xu H., Ma H., Zhang Z., Peng J., Duan S., Gao Z. Microglia modulate general anesthesia through P2Y12 receptor. Curr Biol. 2023. 33 (11): 2187–2200. e6. https://doi.org/10.1016/j.cub.2023.04.047
Chen J., Sanberg P.R., Li Y., Wang L., Lu M., Willing A.E., Sanchez-Ramos J., Chopp M. Intravenous administration of human umbilical cord blood reduces behavioral deficits after stroke in rats. Stroke. 2001. 32 (11): 2682–2688. https://doi.org/10.1161/hs1101.098367
Donkor E.S. “Stroke in the 21st century: A snapshot of the burden, epidemiology, and quality of life,” Stroke. Res. Treat. 2018. 3: 1–10. https://doi.org/10.1155/2018/3238165
Dong Y., Zhang G., Zhang B., Moir R.D., Xia W., Marcantonio E.R., Culley D.J., Crosby G., Tanzi R.E., Xie Z. The common inhalational anesthetic sevoflurane induces apoptosis and increases beta-amyloid protein levels. Arch Neurol. 2009. 66 (5): 620–631. https://doi.org/10.1001/archneurol.2009.48
Dubois B., Slachevsky A., Litvan I., Pillon B. The FAB: a Frontal Assessment Battery at bedside. Neurology. 2000. 55 (11): 1621–6. https://doi.org/10.1212/wnl.55.11.1621
Farkas E., Luiten P.G.M., Bari F. Permanent, bilateral common carotid artery occlusion in the rat: A model for chronic cerebral hypoperfusion-related neurodegenerative diseases. Brain research reviews. 2007. 54: 162–180. https://doi.org/10.1016/j.brainresrev.2007.01.003
Gehrmann J., Bonnekoh P., Miyazawa T., Hossmann K.A., Kreutzberg G.W. Immunocytochemical study of an early microglial activation in ischemia. J Cereb Blood Flow Metab. 1992. 12 (2): 257–69. https://doi.org/10.1038/jcbfm.1992.36
Hellwig S., Brioschi S., Dieni S., Frings L., Masuch A., Blank T., Biber K. Altered microglia morphology and higher resilience to stress-induced depression-like behavior in CX3CR1-deficient mice. Brain Behav Immun. 2016. 55: 126–137. https://doi.org/10.1016/j.bbi.2015.11.008
Hofacer R.D., Deng M., Ward C.G., Joseph B., Hughes E.A., Jiang C., Danzer S.C., Loepke A.W. Cell age-specific vulnerability of neurons to anesthetic toxicity. Ann Neurol. 2013. 73 (6): 695–704. https://doi.org/10.1002/ana.23892
Hovens I.B., van Leeuwen B.L., Nyakas C., Heineman E., van der Zee E.A., Schoemaker R.G. Postoperative cognitive dysfunction and microglial activation in associated brain regions in old rats. Neurobiol Learn Mem. 2015. 118: 74–79. https://doi.org/10.1016/j.nlm.2014.11.009
Kirino T. Delayed neuronal death in the gerbil hippocampus following ischemia. Brain Res. 1982. 239: 57–69. https://doi.org/10.1016/0006-8993(82)90833-2
Lee C.H., Yoo K.Y., Choi J.H., Park O.K., Hwang I.K., Kim S.K., Kang I.J., Kim Y.M., Won M.H. Neuronal damage is much delayed and microgliosis is more severe in the aged hippocampus induced by transient cerebral ischemia compared to the adult hippocampus. J. Neurol Sci. 2010. 294 (1–2): 1–6. https://doi.org/10.1016/j.jns.2010.04.014
Liu J.H., Feng D., Zhang Y.F., Shang Y., Wu Y., Li X.F., Pei L. Chloral Hydrate Preconditioning Protects Against Ischemic Stroke via Upregulating Annexin A1. CNS Neurosci Ther. 2015. 21 (9): 718–726. https://doi.org/10.1111/cns.12435
Moller J.T., Cluitmans P., Rasmussen L.S., Houx P., Rasmussen H., Canet J., Rabbitt P., Jolles J., Larsen K., Hanning C.D., Langeron O., Johnson T., Lauven P.M., Kristensen P.A., Biedler A., van Beem H., Fraidakis O., Silverstein J.H., Beneken J.E., Gravenstein J.S. Long-term postoperative cognitive dysfunction in the elderly ISPOCD1 study. ISPOCD investigators. International Study of Post-Operative Cognitive Dysfunction. Lancet. 1998. 251: 857–861. https://doi.org/10.1016/s0140-6736(97)07382-0
Paolicelli R.C., Sierra A., Stevens B., Tremblay M.E., Aguzzi A., Ajami B., Amit I., Audinat E., Bechmann I., Bennett M., Bennett F., Bessis A., Biber K., Bilbo S., Blurton-Jones M., Boddeke E., Brites D., Brône B., Brown G.C., Butovsky O., Carson M.J., Castellano B., Colonna M., Cowley S.A., Cunningham C., Davalos D., De Jager P.L., de Strooper B., Denes A., Eggen B.J.L., Eyo U., Galea E., Garel S., Ginhoux F., Glass C.K., Gokce O., Gomez-Nicola D., González B., Gordon S., Graeber M.B., Greenhalgh A.D., Gressens P., Greter M., Gutmann D.H., Haass C., Heneka M.T., Heppner F.L., Hong S., Hume D.A., Jung S., Kettenmann H., Kipnis J., Koyama R., Lemke G., Lynch M., Majewska A., Malcangio M., Malm T., Mancuso R., Masuda T., Matteoli M., McColl B.W., Miron V.E., Molofsky A.V., Monje M., Mracsko E., Nadjar A., Neher J.J., Neniskyte U., Neumann H., Noda M., Peng B., Peri F., Perry V.H., Popovich P.G., Pridans C., Priller J., Prinz M., Ragozzino D., Ransohoff R.M., Salter M.W., Schaefer A., Schafer D.P., Schwartz M., Simons M., Smith C.J., Streit W.J., Tay T.L., Tsai L.H., Verkhratsky A., von Bernhardi R., Wake H., Wittamer V., Wolf S.A., Wu L.J., Wyss-Coray T. Microglia states and nomenclature: A field at its crossroads. Neuron. 2022. 110 (21): 3458–3483. https://doi.org/10.1016/j.neuron.2022.10.020
Paxinos G., Watson Ch. The rat brain in stereotaxic coordinates. New York: Academic Press, 1998.
Schaar K.L., Brenneman M.M., Savitz S.I. Functional assessments in the rodent stroke model. Exp Transl Stroke Med. 2010. 2 (1): 13. https://doi.org/10.1186/2040-7378-2-13
Shcherbak N.S., Yukina G.Yu., Gurbo A.G., Sukhorukova E.G., Sargsian A.G., Barantsevich E.R., Thomson V.V., Galagudza M.M. Reaction of Microglia and Neurons of the Hippocampal CA1 Field to Chloral Hydrate in Old Rats. Advances in Gerontology. 2021. 11 (4): 341–345. https://doi.org/10.1134/S2079057021040123
Stratmann G., Sall J.W., Bell J.S., Alvi R.S., May L.d., Ku B., Dowlatshahi M., Dai R., Bickler P.E., Russell I., Lee M.T., Hrubos M.W., Chiu C. Isoflurane does not affect brain cell death, hippocampal neurogenesis, or long-term neurocognitive outcome in aged rats. Anesthesiology. 2010. 112 (2): 305–15. https://doi.org/10.1097/ALN.0b013e3181ca33a1
Vachon P., Faubert S., Blais D., Comtois A., Bienvenu J.G. A pathophysiological study of abdominal organs following intraperitoneal injections of chloral hydrate in rats: comparison between two anaesthesia protocols. Lab Anim. 2000. 34 (1): 84–90. https://doi.org/10.1258/002367700780578082
Wise S.P. Forward frontal fields: phylogeny and fundamental function. Trends Neurosci. 2008. 31 (12): 599–608. https://doi.org/10.1016/j.tins.2008.08.008
Wu L., Zhao H., Weng H., Ma D. Lasting effects of general anesthetics on the brain in the young and elderly: “mixed picture” of neurotoxicity, neuroprotection and cognitive impairment. J Anesth. 2019. 33 (2): 321–335. https://doi.org/10.1007/s00540-019-02623-7
Zhen Y., Dong Y., Wu X., Xu Z., Lu Y., Zhang Y., Norton D., Tian M., Li S., Xie Z. Nitrous oxide plus isoflurane induces apoptosis and increases beta-amyloid protein levels. Anesthesiology. 2009. 111 (4): 741–752. https://doi.org/10.1097/ALN.0b013e3181b27fd4
Дополнительные материалы отсутствуют.
Инструменты
Журнал высшей нервной деятельности им. И.П. Павлова


