Сенсорные системы, 2023, T. 37, № 4, стр. 363-368
Трудности кохлеарной имплантации при пороках развития внутреннего уха
Н. Т. Тунян 1, *, Е. В. Бычкова 2
1 Санкт-Петербургский государственный университет, кафедра Оториноларингологии и офтальмологии
199106 Санкт-Петербург, 21-я линия В.О., д. 8а, Россия
2 Санкт-Петербургский детский городской сурдологический центр
194356 Санкт-Петербург, ул. Есенина, д. 26 корп. 4, Россия
* E-mail: nairanit@mail.ru
Поступила в редакцию 07.06.2023
После доработки 27.07.2023
Принята к публикации 18.09.2023
- EDN: QJZMAM
- DOI: 10.31857/S0235009223040091
Аннотация
По данным различных авторов, у 20% детей с сенсоневральной тугоухостью или глухотой по результатам компьютерной томографии определяются аномалии строения височных костей. Кохлеарная имплантация при наличии кохлеовестибулярных аномалий сопряжена с рядом трудностей. К ним относятся особенности выполнения кохлеостомии и размещения электрода внутри улитки, риск повреждения лицевого нерва из-за его аномального расположения и его аберрантная стимуляция в послеоперационном периоде, интраоперационная ликворея, что может привести к развитию бактериального менингита в послеоперационном периоде, а также опасность проникновения электрода во внутренний слуховой проход. В данной работе представлен наш способ выполнения кохлеарной имплантации при аномалии развития внутреннего уха – общей полости. Способ расширяет возможности кохлеарной имплантации для восстановления слухового восприятия у пациентов с данной патологией.
ВВЕДЕНИЕ
Кохлеарная имплантация (КИ) является одним из самых эффективных методов реабилитации пациентов с сенсоневральной глухотой. По данным различных авторов, у 20% детей с сенсоневральной тугоухостью или глухотой по результатам компьютерной томографии определяются аномалии строения височных костей (Jackler et al., 1987; 1989; Papsin, 2005). Такие аномалии могут сопровождаться нарушениями слуховой функции в различной степени, разными уровнями прогрессирования заболевания с наличием или отсутствием аномалий развития других органов и систем (Park еt al., 2000). Слухоречевая реабилитация у детей с аномалиями развития внутреннего уха, в частности улитки, после кохлеарной имплантации также может иметь ряд сложностей и более низкую эффективность в отношении качества восприятия речи и других звуков, длительности курса и другое.
Считается, что аномалии улитки являются результатом торможения эмбриогенеза, анормального ее развития во время отдельных этапов внутриутробного периода или генетических дефектов (Sennaroglu et al., 2002; Tucci et al., 1995). Также известно, что может происходить инактивация одного или нескольких генов, которые являются ответственными за нормальное развитие внутреннего уха (Morsli еt al., 1999).
Наиболее признанными классификациями кохлеовестибулярных аномалий в мировой оториноларингологии и отонейрохирургии считаются классификации, предложенные Р. Джеклером (США) и Л. Сеннароглу (Турция). Первая классификация (по Р. Джеклеру) основана на данных, полученных при КТ обследованиях височных костей (Jackler et al., 1987; 1989). Вторая – представляет кохлеарные мальформации, которые автором Л.Сеннароглу разделены по степени выраженности на шесть категорий в зависимости от времени нарушения нормального хода эмбрионального развития (Sennaroglu et al., 2002). Эта классификация аномалий развития улитки включает неполное разделение I и II типов. В данной работе мы опираемся на классификацию по Р. Джеклеру (табл. 1).
Таблица 1.
Классификация аномалий развития внутреннего уха по Р. Джеклеру
| Категория А | Аплазия или мальформации улитки |
| Аплазия лабиринта (аномалия Michel) Аплазия улитки, нормальное или деформированное преддверие и система полукружных каналов Гипоплазия улитки, нормальное или деформированное преддверие и система полукружных каналов Неполная улитка, нормальное или деформированное преддверие и система полукружных каналов (аномалия Mondini) Общая полость: улитка и преддверие представлены единым пространством без внутренней архитектуры, нормальная или деформированная система полукружных каналов При всех аномалиях возможно наличие расширенного водопровода преддверия |
|
| Категория В | Нормальная улитка |
| Дисплазия преддверия и латерального полукружного канала, нормальные передний и задний
полукружные каналы Расширенный водопровод преддверия, нормальное или расширенное преддверие, нормальная система полукружных каналов |
В свете выполнения кохлеарной имплантации больший интерес в данной классификации представляет категория А: аплазия и мальформации улитки. В первых двух случаях аплазий проведение кохлеарной имплантации невозможно. Единственным способом помочь пациенту с такой патологией может стволомозговая имплантация.
При компьютерной томографии в гипоплазии улитки различают три ее типа. Улитка, как правило, сохраняет внутреннюю архитектонику, но при этом уменьшена в своем размере: I тип – почкообразная; II тип – мешкообразная; III тип – улитка с 1.5 завитками. Третий тип гипоплазии очень часто путают с аномалией Мондини.
В неполном разделении улитки различают также три типа: I тип – отсутствует модиолус и межлестничные перегородки; II тип – определяется наличием только базальной части модиолуса (аномалия Мондини): III тип – отсутствует модиолус, присутствует межлестничная перегородка (описан в случае Х-сцепленной глухоты).
В общей полости, как правило, улитка и преддверие представлены единой полостью, имеющей овальную или круглую форму.
Кохлеарная имплантация при наличии кохлеовестибулярных аномалий сопряжена с рядом трудностей. К ним относятся особенности выполнения кохлеостомии и размещения электрода внутри улитки, риск повреждения лицевого нерва из-за его аномального расположения, интраоперационная ликворея, что может привести к развитию бактериального менингита в послеоперационном периоде, а также опасность проникновения электрода во внутренний слуховой проход.
Трудности могут возникнуть и в послеоперационном периоде во время реабилитации. По данным некоторых исследователей, у 80% (8 из 10) пациентов с пороками развития улитки была отмечена индуцируемая стимуляция лицевого нерва (Papsin, 2005; Rah et al., 2016). Наличие аномалий улитки является фактором риска аберрантной стимуляции лицевого нерва, препятствующим программированию оптимальных уровней стимуляции, по сравнению с детьми с нормальной улиткой (Aljazeeri et al., 2021). Аномальный ход лицевого нерва, проходящий вблизи овального окна или по промонториуму, часто сопровождает те или иные пороки внутреннего уха и влияет на установку электродной решетки. Кроме того, у детей с аномалией развития внутреннего уха описаны случаи стимуляции лицевого нерва в результате эксплуатации кохлеарного импланта (Кузовков и др., 2022). Эти аномалии осложняют условия проведения кохлеарной имплантации в целях восстановления слухового восприятия у пациентов. Для преодоления этой проблемы нами был предложен оригинальный способ наложения кохлеостомы и введения электродной решетки, который был успешно применен в клинической практике.
МЕТОДИЧЕСКИЕ УСЛОВИЯ
Общая клиническая практика. Из 845 проведенных нами кохлеарных имплантаций почти 800 операций было выполнено детям. При этом у 27 детей были выявлены различные пороки развития внутреннего уха. У 21 из них в порок развития внутреннего уха была вовлечена улитка: у 14 детей выявлено неполное разделение улитки II типа (аномалия Mondini), у одного ребенка – неполное разделение улитки III типа, у четырех детей – гипоплазия улитки, у двоих – общая полость. В двух случаях в послеоперационном периоде наблюдался преходящий парез лицевого нерва, который восстановился после проведения соответствующей терапии. В четырех случаях – интраоперационная ликворея, которая была устранена после непосредственного введения всей активной части электрода в улитку путем тампонирования окна улитки или кохлеостомы фрагментами мышечно-фасциальных лоскутов.
Наиболее интересным случаем в контексте данной работы был клинический случай с пороком внутреннего уха – общей полостью, где впервые был применен предлагаемый нами оригинальный способ наложения кохлеостомы и введения электродной решетки.
Клинический случай. В клинику обратились родители пациентки Т. с жалобами на отсутствие у трехлетнего ребенка реакции на звуки и речи. Ребенок (IV беременность без осложнений, наследственность не отягощена) родился в срок, его вес при рождении составлял 2980 г.
В ходе обследования был установлен диагноз: хроническая двусторонняя сенсоневральная тугоухость IV степени, врожденной этиологии; вторичное расстройство рецептивной и экспрессивной речи. Кроме того, наблюдались: последствия перинатального поражения ЦНС; синдром двигательных нарушений; атонически-астатический синдром; темповая задержка психомоторного развития.
Со слов мамы девочка поздно стала держать голову (в 6 мес), сидеть (в 9–10 мес), ходить (около двух лет). С шести месяцев находилась на “Д” учете у ЛОР, невролога, сурдолога и педиатра. В возрасте 1.4 года была бинаурально слухопротезирована сверхмощными слуховыми аппаратами, которые не оказали положительного эффекта на слуховое восприятие. По данным аудиологического обследования коротколатентные слуховые вызванные потенциалы определялись справа при стимуляции в 90 дБ, слева – V пик не регистрировался при максимальной стимуляции в 100 дБ. Отоакустическая эмиссия не была зарегистрирована с обеих сторон.
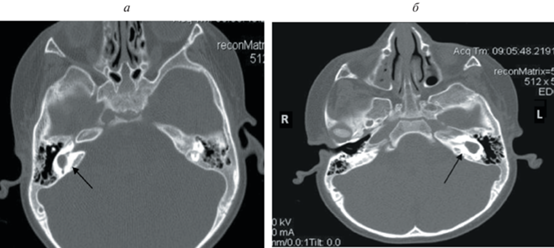
Компьютерная томография височных костей (рис. 1, а, б) выявила рудиментарно измененные улитки с обеих сторон, полукружные каналы дифференцировались неотчетливо и сливались с расширенным преддверием – внутренне ухо с обеих сторон было представлено единой полостью неправильной формы размерами справа 10.3 × 7.2 мм, слева – 12.6 × 6.9 мм.
Рис. 1.
Компьютерная томография ребенка Т. Аномалия внутреннего уха – общая полость (а – справа, б – слева).

Цепи слуховых косточек не были нарушены. Внутренний слуховой проход диаметром справа 1.4–2.7 мм, слева – 3.3 мм.
В связи с выявленными на КТ изменениями височных костей было принято решение о проведении дополнительного МРТ головного мозга и внутреннего уха (рис. 2).
По его результатам с двух сторон были выявлены МР-признаки рудиментарных улиток с частично сформированными полукружными каналами, с наличием асимметрии внутренних слуховых проходов. С двух сторон отмечалось и наличие вестибуло-кохлеарных нервов, отходящих от ствола мозга. Однако на уровне пирамиды височных костей тканевая структура прослеживалась четче справа, чем слева. Учитывая эти результаты МРТ, было принято решение о проведении правосторонней кохлеарной имплантации (правое ухо).
ПОДХОД К ПРОВЕДЕНИЮ КОХЛЕАРНОЙ ИМПЛАНТАЦИИ И ЕГО РЕЗУЛЬТАТЫ
Под общим эндотрахеальным наркозом после инфильтрации мягких тканей физиологическим раствором с добавлением адреналина был выполнен S-образный разрез в заушной области. Сформированы и отслоены кожные и мышечно-надкостничные лоскуты. Борами выполнена мастоидэктомия. Короткий отросток наковальни был обнаружен в типичном месте aditus ad antrum. На этом же уровне на медиальной стенке барабанной полости определялся бугор общей полости внутреннего уха (рис. 3, а).
Рис. 3.
Схематичное изображение этапов введения электродной решетки после наложения кохлеостомы (а – формирование кохлеостомы; б, в, г – этапы постепенного введения электродной решетки).

Было принято решение вскрыть полость там же, не прибегая к задней тимпанотомии, чтобы избежать риска травмирования лицевого нерва, так как его аномальное расположение не было исключено.
Борами было подготовлено ложе для имплантата и отверстия для его крепления. Алмазным бором (1.2 мм) вскрыта общая полость, выполнена кохлеостома. Форма кохлеостомы была овальной, а не традиционно круглой. Такой вид наложения кохлеостомы был обозначен нами способом “почтового ящика” (“post box”). В момент вскрытия общей полости и на дальнейших этапах операции ликворея не наблюдалась. Затем был установлен имплантат с прямой электродной решеткой CI24RE (ST) (Cochlear, Австралия). При этом электрод вводился в полость петлевым способом: удерживая свободный конец, петлю постепенно проталкивали в полость (рис. 3, б, в). После достижения максимального ведения, свободный конец был отпущен в полость улитки (г).
В результате удалось ввести 19 электродов из 22. Проведение интраоперационного тестирования имплантированного устройства – телеметрия нервного ответа (NRT) показала, что положительный ответ получен на 16 каналах электрода из 22. Послеоперационная трансорбитальная рентгенография улиток выявила, что активный электрод имплантата находится в общей полости (рис. 4). Таким образом, операция кохлеарной имплантации была успешно выполнена.
После операции ребенок совместно с сурдологом и сурдопедагогом прошел курс слухоречевой реабилитации. Результаты отдаленного наблюдения показали, что слухопротезирование пациента оказалось эффективным. В процессе коррекционно-педагогической работы у девочки сформировалось адекватное слухоречевое поведение, позволяющее ей активно использовать развивающиеся слуховые ощущения для восприятия, понимания и воспроизведения устной речи. В настоящее время она успешно учится в общеобразовательной школе.
ЗАКЛЮЧЕНИЕ
Учитывая анатомические особенности внутреннего уха ребенка, интерес данного случая заключается в предлагаемом способе выполнения кохлеарной имплантации, а именно в способе наложения кохлеостомы (“post box”) и в способе введения электродной решетки. Важно отметить, что при подобных пороках развития внутреннего уха следует применять кохлеарные импланты с прямой электродной решеткой. По нашему мнению, благодаря этим условиям, были получены вышеуказанные интраоперационные результаты и удалось избежать возможных осложнений, таких как ликворея, повреждение лицевого нерва и его аберрантной стимуляция в послеоперационном периоде. Также была достигнута и основная цель – успешная слухоречевая реабилитация.
Список литературы
Кузовков В.Е., Лиленко А.С., Сугарова С.Б., Тамасчишина В.А., Каляпин Д.Д., Луппов Д.С. Факторы риска стимуляции лицевого нерва у пользователях кохлеарных имплантов: наш опыт. Российская оториноларингология. 2022. 5 (120). С. 116–121. https://doi.org/10.18692/1810-4800-2022-5-116-121
Aljazeeri I.A., Khurayzi T., Al-Amro M., Alzhrani F., Alsanosi A. Evaluation of computed tomography parameters in patients with facial nerve stimulation post-cochlear implantation. Eur Arch Otorhinolaryngology. 2021. V. 278 (10). P. 3789–3794. https://doi.org/10.1007/s00405-020-06486-7
Jackler R.K., A. De La Cruz. The large vestibular aqueduct syndrome. Laryngoscope. 1989. V. 99 (10). P. 1238–1243.
Jackler R.K., Luxford W.M., House W.F. Congenital malformations of the inner ear: a classification based on embryogenesis. Laryngoscope. 1987. V. 97 (1). P. 1–14.
Morsli H., Tuorto F., Choo D. et al. Otxl and Otx2 activities are required for the normal development of the mouse inner ear. Development. 1999. P. 2335–2343. https://pubmed.ncbi.nlm.nih.gov/10225993/
Papsin B.C. Cochlear implantation in children with anomalous cochleovestibular anatomy. Laryngoscope. 2005. V. 115 (1 Pt. 2 Suppl 106). P. 1–26. https://doi.org/10.1097/00005537-200501001-00001
Park A., Kou B., Hotaling A. Clinical course of pediatric congenital inner ear malformations. Laryngoscope. 2000. P. 1715–1719.
Rah Y.C., Yoon Y.S., Chang M.Y., Lee J.Y., Suh M.W., Lee J.H. Facial nerve stimulation in the narrow bony cochlear nerve canal after cochlear implantation. Laryngoscope. 2016. V. 126 (6). P. 1433–1439. https://doi.org/10.1002/ lary.25655
Sennaroglu L., Saatci I. A new classification for cochleovestibular malformations. Laryngoscope. 2002. V. 112 (12). P. 2230–2241.
Tucci D., Telian S., Zimmerman-Philips S. Cochlear implantation in patients with cochlear malformations. Arch Otolaryngol Head Neck Surg. 1995. P. 833–838.
Дополнительные материалы отсутствуют.
Инструменты
Сенсорные системы




