Доклады Российской академии наук. Науки о жизни, 2023, T. 513, № 1, стр. 555-563
Морфофункциональные и молекулярные изменения в плаценте и периферической крови при преэклампсии и гестационном сахарном диабете
К. А. Артемьева 1, *, Ю. В. Степанова 2, И. И. Степанова 1, М. В. Шамаракова 3, Н. Б. Тихонова 1, Н. В. Низяева 1, С. Г. Цахилова 2, член-корреспондент РАН Л. М. Михалева 1
1 Научно-исследовательский институт морфологии человека имени академика А.П. Авцына Федерального государственного бюджетного научного учреждения “Российский научный центр хирургии имени академика Б.В. Петровского”
Москва, Россия
2 ФГБОУ ВО “Московский государственный медико-стоматологический университет им. А.И. Евдокимова” Минздрава РФ
Москва, Россия
3 Государственное бюджетное учреждение здравоохранения города Москвы “Городская клиническая больница имени С.С. Юдина Департамента здравоохранения города Москвы”
ГБУЗ “ГКБ им. С.С. Юдина ДЗМ”
Москва, Россия
* E-mail: artemjeva_ksenia@mail.ru
Поступила в редакцию 11.07.2023
После доработки 05.09.2023
Принята к публикации 08.09.2023
- EDN: GPFMGI
- DOI: 10.31857/S2686738923600553
Аннотация
Гестационный сахарный диабет (ГСД) и преэклампсия (ПЭ) являются частыми осложнениями беременности со сходными факторами риска. Хотя ГСД связан с ПЭ, точный механизм, лежащий в основе ассоциации этих заболеваний, неясен.
Цель работы: исследовать морфофункциональные и молекулярные изменения в плаценте и периферической крови при ПЭ и ГСД. В исследовании мы оценили местные и системные изменения продукции ряда плацентарных белков, маркеров воспаления и метаболических нарушений. Отметили изменение экспрессии ворсинами плацентарного лактогена, трофобластического β1-гликопротеина, плацентарного альфа-1-микроглобулина и протеиназы 3 в группах осложненных беременностей. В настоящем исследовании показано сходство патогенетических механизмов, лежащих в основе ПЭ и ГСД.
ВВЕДЕНИЕ
Гестационный сахарный диабет (ГСД) и преэклампсия (ПЭ) являются частыми осложнениями беременности со сходными факторами риска (ожирение, возраст более 35 лет, многоплодная беременность и др.) [1]. ГСД считают нарушение толерантности к глюкозе, впервые выявленное во время беременности. Он ассоциируется с акушерскими и неонатальными осложнениями и признается фактором риска развития кардиометаболических заболеваний у матери и потомства в будущем. Исследования показали также, что заболеваемость ПЭ значительно увеличивается при ГСД [2].
ПЭ характеризуется появлением de novo гипертензии (систолическое или диастолическое артериальное давление ≥140 или ≥90 мм рт.ст. соответственно), диагностированной после 20 нед беременности с протеинурией, и/или с дисфункцией, по крайней мере, одного органа (почки, печень, нервная система и т.д.) и является основной причиной материнской и фетальной заболеваемости и смертности [3]. ГСД, осложненный ПЭ, еще больше увеличивает перинатальные нежелательные явления, будущий риск развития у матери артериальной гипертонии, сердечно-сосудистых заболеваний и сахарного диабета [3–5].
Как при ГСД, так и при ПЭ патофизиологические процессы включают окислительный стресс, усиление воспалительного ответа и эндотелиальную дисфункцию, что приводит к неадекватной перфузии и гипоксии плаценты [6]
Хотя ГСД связан с ПЭ, точный механизм, лежащий в основе ассоциации этих заболеваний, неясен. Патофизиологический процесс ПЭ включает в себя раннюю недостаточную инвазию трофобласта, приводящую к неполному ремоделированию спиральных артерий, что вызывает плацентарную ишемию и окислительный стресс. Гипергликемия может вызывать воспаление и аутофагию клеток трофобласта, ингибировать его миграцию и инвазию.
Нейтрофилы при ГСД и ПЭ чрезмерно активируются и высвобождают избыточное количество нейтрофильных внеклеточных ловушек (NET), включающих нити ДНК и сериновые протеазы (катепсин G, нейтрофильная эластаза (НЭ) и протеиназа 3 (Пр 3)) в местах воспаления. Недавние исследования показали, что эти протеазы способны активировать провоспалительные цитокины, включая интерлейкин (ИЛ)-1 бета и TNF-альфа. Чрезмерное образование NET препятствует кровообращению в ворсинчатом пространстве, что приводит к плацентарной ишемии [1, 7].
Местные плацентарные регуляторные факторы особенно важны для диалога между фетальным и материнским компартментом непосредственно на фетоплацентарной границе, а также для контроля роста, дифференцировки и функций самой плаценты. Кроме того, плацентарные гормоны могут также влиять на отдаленные мишени в материнском организме, выполняя такие функции, как адаптация материнского кровообращения к беременности, обеспечение гемотрофии плода или развитие и функция молочной железы [8]. Плацентарный лактоген (ПЛ) представляет собой пептидный гормон, секретируемый на протяжении всей беременности. Он играет важную роль в регуляции секреции инсулина в β-клетках поджелудочной железы. Нарушение регуляции секреции ПЛ может способствовать плацентарной дисфункции и диабетической ретинопатии, а также задержке роста плода или макросомии и повлиять на метаболический статус во взрослом возрасте [8].
Трофобластический β1-гликопротеин (ТБГ) является одним из наиболее информативных маркеров формирования и функционирования фетоплацентарной системы. Продемонстрировано, что ТБГ вносит свой вклад в формирование иммунной толерантности в период беременности, повышая уровень Treg, и стимулируя продукцию ИЛ-10 этой субпопуляцией Т-лимфоцитов, одновременно угнетая продукцию ИЛ-17A субпопуляцией Th17 [9].
Плацентарный альфа-1-микроглобулин (ПАМГ, белок, связывающий инсулиноподобный фактор роста –1, IGFBP 1) влияет на метаболизм и рост клеток. ПАМГ играет важную локальную роль во время беременности вследствие участия в имплантации и росте плода. Повышенные концентрации ПАМГ были обнаружены при ПЭ, причем как децидуа, так и печень, вероятно, участвовали в его продукции [10].
Адипокины (гормоны жировой ткани) отвечают за регуляцию некоторых физиологических функций. Один из важных адипокинов является адипонектин. Секреция адипонектина стимулируется инсулином. Адипонектин участвует в регуляции уровня глюкозы и расщепления жирных кислот. Полагают, что адипонектин выполняет защитную функцию против гипергликемии, инсулинорезистентности и атеросклероза.
Адипонектин оказывает непосредственное влияние на функцию плаценты, модулируя транспорт питательных веществ плоду сложным взаимодействием между передачей сигналов инсулина, реакцией на них и профилем цитокинов. [11]. Отсутствие совершенных маркеров для прогнозирования возникновения ПЭ у женщин с ГСД диктует необходимость углубленно изучать патофизиологию ГСД и ПЭ. В настоящее время ни одно исследование достоверно не выявляет плацентарную дисфункцию на поздних сроках беременности.
Цель работы: исследовать морфофункциональные и молекулярные изменения в плаценте и периферической крови при ПЭ и ГСД.
МАТЕРИАЛЫ И МЕТОДЫ
В исследовании приняли участие беременные, страдающие ГСД (n = 35), ПЭ (n = 35), ПЭ в сочетании с ГСД (n = 30) и женщины с неосложненной физиологической беременностью (ФБ) (n = 30) соответствующих сроков гестации.
Все пациентки дали добровольное информированное согласие на участие в исследовании.
Критерии включения в группу ПЭ:
1. Одноплодная беременность;
2. Возраст беременной от 18 до 40 лет;
3. Наличие критериев ПЭ (артериальная гипертензия (артериальное давление ≥140/90 мм рт. ст.), протеинурия (≥0.3 г/л в суточной моче), отеки, проявления полиорганной недостаточности);
4. Родоразрешение путем операции кесарева сечения.
Критерии включения в группу ФБ:
1. Физиологическая беременность, наступившая в естественном цикле;
2. Оперативное родоразрешение по акушерским показаниям;
3. Содержание белка в моче <100 мкг/мл;
4. Отсутствие признаков артериальной гипертензии;
5. Концентрация глюкозы венозной плазмы <5.1 ммоль/л натощак
Критериями включения в группу ГСД послужили:
выявление глюкозы венозной плазмы натощак ≥5.1, но <7.0 ммоль/л на любом сроке беременности, в т. ч. после проведенного перорального глюкозотолерантного теста через 1 ч ≥10.0 ммоль/л, через 2 ч ≥8.5, но <11.1 ммоль/л. [12].
В группу ПЭ+ГСД вошли беременные, сочетающие признаки групп ПЭ и ГСД.
Гистологическое исследование
Фрагменты ткани плаценты пациенток были взяты из краевой, парацентральной и центральной зон плацентарного диска. Полученные кусочки размерами 1.5 × 1.5 × 1 см фиксировали в 10%-ном растворе формалина, рН = 7.4 (Biovitrum, Россия) в течение 24 ч, затем заливали в парафин. Далее из них изготавливали срезы толщиной 4 мкм. Исследовали не менее 10 фрагментов.
Иммуногистохимическое (ИГХ) исследование выполняли на парафиновых срезах плаценты. В качестве первичных антител (АТ) были использованы мышиные моноклональные АТ к ПАМГ, ТБГ, ПЛ, Пр 3, полученные в лаборатории патологии репродукции ФГБНУ НИИМЧ им. акад. А.П. Авцына РНЦХ им. Б.В. Петровского, как описано Н.А. Старосветской и соавт. [13]. Применяли универсальную двухкомпонентную систему детекции PrimeVision (ООО “ПраймБиоМед”, Россия). По окончании инкубации срезы докрашивали гематоксилином Майера. Для отрицательного контроля протокол ИГХ-исследования проводили без использования первичных АТ. Интенсивность ИГХ окрашивания оценивали в единицах оптической плотности (ЕОП) с применением светового микроскопа Leica DM 2500 с цифровой фотокамерой при помощи графического планшета и программы ImageScopeM (Leica Microsystems GmbH, Германия) при увеличении ×400 с анализом 20 полей зрения в каждом препарате, вычитая оптическую плотность фона пустого стекла и отрицательного контроля.
Иммуноферментный анализ (ИФА)
ИФА для ПЛ, ТБГ человека и ПАМГ, человека проводили в соответствии с инструкциями производителя (ООО “Диатех-ЭМ”). Концентрацию адипонектина и Пр 3 выявляли методом количественного ИФА по принципу “сэндвич” на 96-луночных полистирольных пластинах (Maxibinding, SPL Life Sciences Co. Ltd., Сеул, Корея) на основе мышиных моноклональных антител (МАТ) (клон PN17/PN17 (адипонектин) и клоны PR49/PR45 (Пр 3), полученных в лаборатории патологии репродукции ФГБНУ НИИМЧ РНЦХ, Москва, Россия).
Статистическую обработку полученных результатов проводили с помощью программы Sigma Stat 3.5 (Systat Software, Inc.). Нормальность распределения анализируемых параметров в выборках оценивали с помощью критерия Колмогорова–Смирнова. Для оценки различий в группах применялся метод парных сравнений Манна–Уитни. Результаты представляли в виде медианы (Me) и квартилей Q1 и Q3. Различия считали значимыми при p < 0.05, при p < 0.1 отмечали тенденцию к развитию изменений.
РЕЗУЛЬТАТЫ И ИХ ОБСУЖДЕНИЕ
Результаты ИФА (табл. 1) показали увеличение концентрации ПАМГ и ПЛ в плазме крови женщин всех исследуемых групп в сравнении с группой ФБ. Показатели ТБГ значимо не различались во всех группах. Уровень адипонектина был наименьшим в группе ФБ и не различался между группами исследования. Содержание Пр3 в группе ФБ было наибольшим в противовес локальному обнаружению Пр3 в ворсинах.
Таблица 1.
Уровень плацентарных белков, протеиназы 3 и адипонектина в плазме крови
| ПАМГ нг/мл | ТБГ мкг/мл | ПЛ, мг/л | Протеиназа 3 нг/мл | Адипонектин мкг/мл | |
|---|---|---|---|---|---|
| Физиологическая беременность 1 | 29.35 (24.65;34.4) |
246.3 (136.93;630.68) |
0.9 (0.15;1.3) |
21.45 (15.08;51) |
10.99 (6.52;16.03) |
| ГСД 2 | 40.4 (19.5;52.8) |
252.4 (85.3; 415.4) |
1.09 (0.93;2.4) |
10.6 (5.57;21.8) |
5.7 (5.23;7.39) |
| ПЭ 3 | 58.9* (53.7;127.7) |
266.5 (226.45; 431.3) |
1.6 (0.8;2) |
12.9 (6.1;36.8) |
6.11 (4.75;7.42) |
| ГСД+ПЭ 4 | 53.6 (36.6;84.08) |
216.1 (171.05;317.25) |
1.79 (0.8;2.28) |
7.85 (4.43;18.8) |
6.24 (4.02;7.15) |
| Значимость различий | p1–2 = 0.469 | p1–2 = 0.419 | p1–2 = 0.056 | p1–2 = 0.011 | p1–2 = 0.019 |
| p1–3 < 0.001 | p1–3 = 0.982 | p1–3 = 0.046 | p1–3 = 0.02 | p1–3 = 0.027 | |
| p1–4 = 0.002 | p1–4 = 0.693 | p1–4 = 0.026 | p1–4 = 0.015 | p1–4 = 0.007 | |
| p2–4 = 0.032 | p2–4 = 0.842 | p2–4 = 0.602 | p2–4 = 0.602 | p2–4 = 0.552 | |
| p3–4 = 0.177 | p3–4 = 0.190 | p3–4 = 0.819 | p3–4 = 0.360 | p3–4 = 0.643 |
В результате ИГХ-исследования (табл. 2, рис. 1–4) выявили усиление окрашивания ворсин АТ к ПЛ в группах беременностей, осложненных как отдельно ГД и ПЭ, так и их сочетанием. Отмечалось снижение окрашивания ворсин АТ к ПАМГ в группах с ГСД и ПЭ+ГСД относительно группы с ФБ (рис. 1). Наиболее интенсивное окрашивание АТ к ТБГ было отмечено в группах ПЭ и ПЭ+ГСД (рис. 2). Отмечали неравномерность окрашивания ворсин АТ к ПЛ, а также слущивание клеток трофобласта в межворсинчатое пространство (рис. 3). АТ к Пр3 интенсивно окрасили ворсины плацент всех исследуемых групп в сравнении с ФБ (рис. 4).
Таблица 2.
Интенсивность ИГХ-окрашивания плаценты, ЕОП
| ПАМГ | ТБГ | ПЛ | Протеиназа 3 | |
|---|---|---|---|---|
| Физиологическая беременность 1 | 60.46 (53.95;63.8) |
56.82 (31.49;85.00) |
35.05 (31.89;40.32) |
31.88 (28.66;38.02) |
| ГСД 2 | 46.84 (38.17;63.07) |
47.99 (42.96;70.79) |
82.46 (60.50;93.76) |
60.94 (50.75;73.80) |
| ПЭ 3 | 75.49 (66.28;85.61) |
71.76 (62.39;78.89) |
70.10 (64.63;76.22) |
61.67 (58.0;70.43) |
| ГСД+ПЭ 4 | 40.88 (32.52;58.06) |
84.11 (80.91;93.04) |
70.20 (65.53;77.31) |
64.42 (49.95; 73.11) |
| Значимость различий | p1–2 = 0.014 | p1–2 = 0.894 | p1–2<0.001 | p1–2<0.001 |
| p1–3<0.001 | p1–3 = 0.374 | p1–3<0.001 | p1–3<0.001 | |
| p1–4 = 0.017 | p1–4 = 0.017 | p1–4<0.001 | p1–4 = 0.009 | |
| p2–4 = 0.519 | p2–4<0.001 | p2–4 = 0.081 | p2–4 = 0.894 | |
| p3–4 = 0.009 | p3–4 = 0.004 | p3–4 = 0.963 | p3–4 = 0.736 |
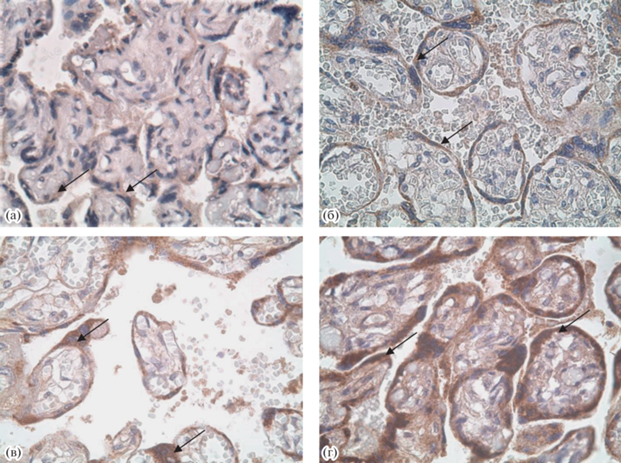
Рис. 1.
Иммуногистохимическое окрашивание плаценты антителами к ПАМГ (положительное окрашивание децидуальных клеток отмечено стрелками). Ув. 400. (а) физиологическая беременность, (б) беременность, осложненная ГСД, (в) беременность, осложненная ПЭ, (г) беременность, осложненная ПЭ и ГСД.

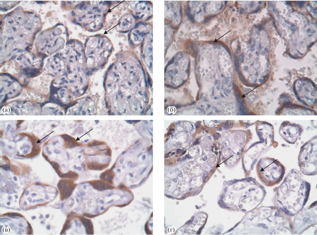
Рис. 2.
Иммуногистохимическое окрашивание плаценты антителами к ТБГ (положительное окрашивание синцитиотрофобласта ворсин плаценты отмечено стрелками). Ув. 400. (а) физиологическая беременность, (б) беременность, осложненная ГСД, (в) беременность, осложненная ПЭ, (г) беременность, осложненная ПЭ и ГСД.

Рис. 3.
Иммуногистохимическое окрашивание плаценты антителами к плацентарному лактогену (положительное окрашивание синцитиотрофобласта ворсин плаценты отмечено стрелками). Ув. 400. (а) физиологическая беременность, (б) беременность, осложненная ГСД, (в) беременность, осложненная ПЭ, (г) беременность, осложненная ПЭ и ГСД.

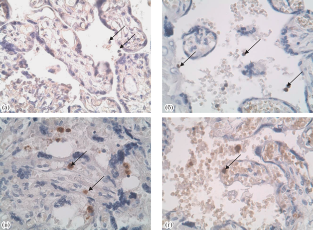
Рис. 4.
Иммуногистохимическое окрашивание плаценты антителами к протеиназе 3 (положительное окрашивание нейтрофилов в ворсинах плаценты отмечено стрелками). Ув. 400. (а) физиологическая беременность, (б) – беременность, осложненная ГСД, (с) беременность, осложненная ПЭ, (д) беременность, осложненная ПЭ и ГСД.

Следует отметить, что трудности, связанные с диагностикой ПЭ у женщин с протеинурией, присутствующей до беременности, являются серьезными препятствиями для исследований в группе ПЭ и сахарного диабета (СД) [2]. Результаты исследований оценки экспрессии ПАМГ в децидуальных клетках при ПЭ противоречивы. Экспрессия ПАМГ была повышена в плаценте при ПЭ, а сверхэкспрессия ингибировала пролиферацию, инвазию, миграцию культуры клеток HTR-8/SVneo [14]. В то же время выявлено, что ПАМГ децидуальной пластинки стимулирует миграцию клеток вневорсинчатого трофобласта (ВВТ) путем связывания с интегрином α5β1, независимо от IGF в системе мать–плод [8]. Материнская гиперинсулинемия может вызвать подавление секреции ПАМГ из децидуальных клеток, что приводит к снижению миграции ВВТ и плацентарной дисфункции. В нашем исследовании локальная экспрессия ПАМГ у женщин с ГСД и ПЭ+ГСД в плаценте была снижена, но концентрация его увеличена в плазме крови у женщин всех групп с осложненной беременностью, что является подтверждением гипотезы о роли ПАМГ в стимуляции миграции ВВТ, а снижение экспрессии ПАМГ наблюдается при аномальной инвазии трофобласта при ПЭ [14].
ТБГ модулирует адгезию и миграцию ВВТ путем связывания с интегрином α5β1 [9]. Наиболее интенсивное окрашивание АТ к ТБГ было обнаружено в группах ПЭ и ПЭ+ГСД. Очевидно, его локальное повышение в плаценте является компенсаторным при развитии ПЭ. Кроме того, ТБГ посредством активации TGF-β1 способствует установлению иммунологической толерантности.
ПЛ играет доминирующую роль в стимулировании пролиферации β-клеток и выработке инсулина во время беременности и может регулироваться адипонектином [15]. Следует учитывать, что при протеолитическом расщеплении ПЛ образуется вазоингибин. Плацентарный вазоингибин может выполнять функции контроля роста кровеносных сосудов в плаценте, но также способствовать и ее патологии при ПЭ [16]. Наши результаты показали увеличение концентрации ПЛ в плазме крови и усиление окрашивания ворсин плаценты у женщин всех исследуемых групп осложненной беременности в сравнении с группой ФБ, что подтверждает его важную патогенетическую роль в развитии как ПЭ, так и ГСД.
Адипонектин регулирует пролиферацию, дифференцировку и инвазию трофобласта, а также ангиогенез в децидуальной оболочке, посредством секреции ИЛ-1β, ИЛ-6, TNF-α и PGE2 [17, 18]. Уровень адипонектина в сыворотке крови матери снижается от первого триместра к третьему во время неосложненной беременности. Отмечено, что адипонектин защищает организм от гипертонии, подавляя действие ангиотензина II в РААС, эндотелиальной дисфункции, воспаления и протеинурии [18]. Кроме того, снижение экспрессии адипонектина коррелирует с инсулинорезистентностью, а также ассоциировано с ожирением [1]. В нашем исследовании все группы осложненной беременности характеризовались уровнем сывороточного адипонектина повышенным относительно группы ФБ. Следовательно, дисрегуляция плацентарной экспрессии и циркулирующего уровня адипонектина может вызвать аномальную плацентацию и ПЭ.
Известно, что при воспалении, вызванном сепсисом, нейтрофилы способствуют сосудистой дисфункции. Пр3 и НЭ, в изобилии содержащиеся в них, высвобождаются при дегрануляции [18]. Роль Пр3 в эндотелиальной дисфункции в значительной степени не ясна. Вероятно, Пр3, подобно НЭ, ведет к дисфункции сосудистого барьера и повышенной эндотелиальной проницаемости [2, 7, 19]. При развитии ПЭ и ГСД Пр3, вероятно, служит подобным патогенетическим механизмом, что проявляется в локальном (плацентарном) ее повышении и системном снижении при осложненной беременности. В этой работе мы не исследовали корреляцию между интенсивностью ИГХ-окрашивания и уровнем белков в ИФА, т.к. она не всегда бывает абсолютной, в связи с локальной де- или компенсаторной выработкой тех или иных веществ плацентой. Следует учесть и тот факт, что ряд белков имеет не только плацентарное¸ но и экстраплацентарное происхождение и может синтезироваться в небольших дозах в печени, легких, а также в клетках децидуальной трансформации [20].
Интересно отметить, что ожирение меньше влияет на течение ПЭ у женщин с ГСД по сравнению с женщинами без ГСД [1, 7]. Показано, что ПЭ в сочетании с ГСД течет более благоприятно по сравнению с изолированной ПЭ как клинически, так и с учетом лабораторных критериев. Можно предположить, что начальные стадии нарушения углеводного обмена “сдерживают” патологический каскад ПЭ, стимулируя ангиогенез [21]. В нашем исследовании группа ПЭ в сочетании с ГСД также не показала значимого утяжеления состояния пациенток, что подтверждает эту гипотезу.
ЗАКЛЮЧЕНИЕ
В результате исследования нами было отмечено сходство патогенетических механизмов ПЭ и ГСД. В настоящей работе мы оценили местные и системные изменения продукции ряда плацентарных белков, маркеров воспаления и метаболических нарушений. Отметили усиление окрашивания ворсин антителами к плацентарному лактогену и протеиназе 3 во всех группах, снижение окрашивания ворсин антителами к плацентарному альфа-1-микроглобулину в группах, осложненных ГСД, а также интенсивное окрашивание антителами к трофобластическому β1-гликопротеину в группах пациенток, осложненных ПЭ. Выявили увеличение концентрации плацентарного альфа-1-микроглобулина, плацентарного лактогена и адипонектина в плазме крови всех групп. Дальнейшее изучение и выявление факторов, связанных с ПЭ у женщин с ГСД, важно для улучшения исходов беременности, оптимизация лечения и ведения ГСД может снизить тяжесть течения и частоту ПЭ, что важно для улучшения исходов беременности.
Список литературы
Yang Y., Wu N. Gestational Diabetes Mellitus and Preeclampsia: Correlation and Influencing Factors // Front Cardiovasc Med. 2022. V. 9. P. 831297.
Weissgerber T.L., Mudd L.M. Preeclampsia and diabetes // Curr Diab Rep. 2015. V. 15. № 3. P. 9.
Brown M.A., Magee L.A., Kenny L.C., et al. Hypertensive disorders of pregnancy: ISSHP classification, diagnosis, and management recommendations for international practice // Hypertension. 2018. V. 72. P. 24–43.
Kul S., Guvenc T.S., Baycan O.F., et al. Combined past preeclampsia and gestational diabetes is associated with a very high frequency of coronary microvascular dysfunction // Microvasc Res. 2021. V. 134. P. 104104.
Vounzoulaki E., Khunti K., Abner S.C., et al. Progression to type 2 diabetes in women with a known history of gestational diabetes: systematic review and meta-analysis // BMJ. 2020. V. 369. P. m1361.
Phoswa W.N., Khaliq O.P. The role of oxidative stress in hypertensive disorders of pregnancy (preeclampsia, gestational hypertension) and metabolic disorder of pregnancy (gestational diabetes mellitus) // Oxid Med Cell Longev. 2021. V. 2021. P. 5581570.
Rattila S., Kleefeldt F., Ballesteros A., et al. Pro-angiogenic effects of pregnancy-specific glycoproteins in endothelial and extravillous trophoblast cells // Reproduction. 2020. V. 160. № 5. P. 737–750.
Sibiak R., Jankowski M., Gutaj P., et al. Placental Lactogen as a Marker of Maternal Obesity, Diabetes, and Fetal Growth Abnormalities: Current Knowledge and Clinical Perspectives // J Clin Med. 2020. V. 9. № 4. P. 1142.
Заморина С.А., Раев М.Б. Иммунорегуляторный потенциал трофобластического β-гликопротеина: перезагрузка // Медицинская иммунология. 2015. Т. 17. № S. С. 27.
Mokkala K., Juhila J., Houttu N., et al. Early pregnancy serum IGFBP-1 relates to lipid profile in overweight and obese women // Heliyon. 2020. V. 6. № 8. P. 04788.
Abraham T., Romani A.M.P. The Relationship between Obesity and Pre-Eclampsia: Incidental Risks and Identification of Potential Biomarkers for Pre-Eclampsia // Cells. 2022. V. 11. № 9. P. 1548.
Клинические рекомендации. Гестационный сахарный диабет. Диагностика, лечение, акушерская тактика, послеродовое наблюдение. М. 2020 г. / Gestational diabetes mellitus. (Clinical recommendations). [In Russ.] M. 2020.
Старосветская Н.А., Назимова С.В., Степанова И.И. и др. Получение комплекса моноклональных антител для иммуногистохимических исследований в области физиологии и патологии репродукции // Клиническая и экспериментальная морфология. 2012. № 2. С. 22–27.
Li X., Li C., Wang Y., et al. IGFBP1 inhibits the invasion, migration, and apoptosis of HTR-8/SVneo trophoblast cells in preeclampsia // Hypertens Pregnancy. 2022. V. 41. № 1. P. 53–63.
Qiao L., Saget S., Lu C., et al. Adiponectin Promotes Maternal β-Cell Expansion Through Placental Lactogen Expression // Diabetes. 2021. V. 70. № 1. P. 132–142.
Markl-Hahn H., Neugebauer L., Lenke L., et al. Human Placental Tissue Contains A Placental Lactogen-Derived Vasoinhibin // J Endocr Soc. 2022. V. 6. № 4. P. bvac029.
Adu-Gyamfi E.A., Fondjo L.A., Owiredu W.K.B.A., et al. The role of adiponectin in placentation and preeclampsia// Cell Biochem Funct. 2020. V. 38. № 1. P. 106–117.
Meyer-Hoffert U. Neutrophil-derived serine proteases modulate innate immune responses // Front. Biosci. (Landmark Ed). 2009. V. 14. № 9. P. 3409–3418.
Patterson E.K., Gillio-Meina C., Martin C.M., et al. Proteinase 3 contributes to endothelial dysfunction in an experimental model of sepsis // Exp Biol Med (Maywood). 2021. V. 246. № 21. P. 2338–2345.
Smits L., Bockstal M.V., Frezin J. Deciduosis of the appendix: a rare cause of acute abdomen during pregnancy (a case report) // Pan Afr Med J. 2020. V. 37. P. 316.
Беттихер О.А., Зазерская И.Е., Попова П.В., и др. Характеристика преэклампсии у беременных с гестационным диабетом // Журнал акушерства и женских болезней. 2019. Т. 68. № 5. С. 19–36.
Дополнительные материалы отсутствуют.
Инструменты
Доклады Российской академии наук. Науки о жизни


